Excessively Delayed Radiation Changes After Proton Beam Therapy for Brain Tumors: Report of Two Cases.

Jeongmin Han, Seong Wook Lee, Na Young Han, Ho-Shin Gwak
{"title":"Excessively Delayed Radiation Changes After Proton Beam Therapy for Brain Tumors: Report of Two Cases.","authors":"Jeongmin Han, Seong Wook Lee, Na Young Han, Ho-Shin Gwak","doi":"10.14791/btrt.2024.0017","DOIUrl":null,"url":null,"abstract":"<p><p>Delayed cerebral necrosis is a well-known complication of radiation therapy (RT). Because of its irreversible nature, it should be avoided if possible, but avoidance occurs at the expense of potentially compromised tumor control, despite the use of the modern advanced technique of conformal RT that minimizes radiation to normal brain tissue. Risk factors for radiation-induced cerebral necrosis include a higher dose per fraction, larger treatment volume, higher cumulative dose, and shorter time interval (for re-irradiation). The same principle can be applied to proton beam therapy (PBT) to avoid delayed cerebral necrosis. However, conversion of PBT radiation energy into conventional RT is still short of clinical support, compared to conventional RT. Herein, we describe two patients with excessively delayed cerebral necrosis after PBT, in whom follow-up MRI showed no RT-induced changes prior to 3 years after treatment. One patient developed radiation necrosis at 4 years after PBT to the resection cavity of an astroblastoma, and the other developed brainstem necrosis that became symptomatic 6 months after its first appearance on the 3-year follow-up brain MRI. We also discuss possible differences between radiation changes after PBT versus conventional RT.</p>","PeriodicalId":72453,"journal":{"name":"Brain tumor research and treatment","volume":"12 2","pages":"141-147"},"PeriodicalIF":0.0000,"publicationDate":"2024-04-01","publicationTypes":"Journal Article","fieldsOfStudy":null,"isOpenAccess":false,"openAccessPdf":"https://www.ncbi.nlm.nih.gov/pmc/articles/PMC11096628/pdf/","citationCount":"0","resultStr":null,"platform":"Semanticscholar","paperid":null,"PeriodicalName":"Brain tumor research and treatment","FirstCategoryId":"1085","ListUrlMain":"https://doi.org/10.14791/btrt.2024.0017","RegionNum":0,"RegionCategory":null,"ArticlePicture":[],"TitleCN":null,"AbstractTextCN":null,"PMCID":null,"EPubDate":"","PubModel":"","JCR":"","JCRName":"","Score":null,"Total":0}
引用次数: 0

Abstract

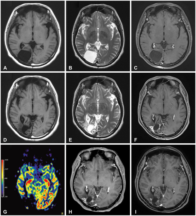
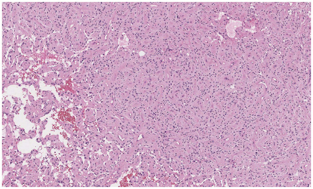
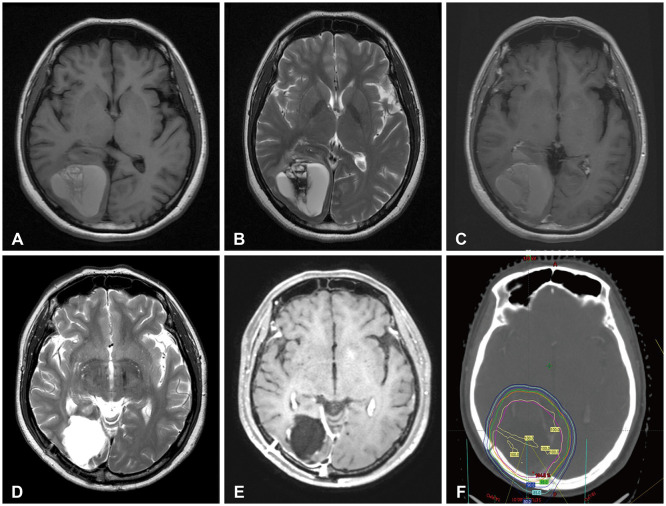
Delayed cerebral necrosis is a well-known complication of radiation therapy (RT). Because of its irreversible nature, it should be avoided if possible, but avoidance occurs at the expense of potentially compromised tumor control, despite the use of the modern advanced technique of conformal RT that minimizes radiation to normal brain tissue. Risk factors for radiation-induced cerebral necrosis include a higher dose per fraction, larger treatment volume, higher cumulative dose, and shorter time interval (for re-irradiation). The same principle can be applied to proton beam therapy (PBT) to avoid delayed cerebral necrosis. However, conversion of PBT radiation energy into conventional RT is still short of clinical support, compared to conventional RT. Herein, we describe two patients with excessively delayed cerebral necrosis after PBT, in whom follow-up MRI showed no RT-induced changes prior to 3 years after treatment. One patient developed radiation necrosis at 4 years after PBT to the resection cavity of an astroblastoma, and the other developed brainstem necrosis that became symptomatic 6 months after its first appearance on the 3-year follow-up brain MRI. We also discuss possible differences between radiation changes after PBT versus conventional RT.

Abstract Image

Abstract Image

Abstract Image

质子束治疗脑肿瘤后过度延迟的辐射变化:两个病例的报告
延迟性脑坏死是众所周知的放射治疗(RT)并发症。由于其不可逆的性质,应尽可能避免,但避免的代价是肿瘤控制可能受到影响,尽管现代先进的适形放疗技术能最大限度地减少对正常脑组织的辐射。辐射诱发脑坏死的风险因素包括每分剂量较高、治疗体积较大、累积剂量较高以及时间间隔(再次照射)较短。质子束疗法(PBT)也可采用同样的原则,以避免延迟性脑坏死。然而,与传统 RT 相比,将 PBT 辐射能量转化为传统 RT 仍缺乏临床支持。在此,我们描述了两名在 PBT 治疗后出现过度延迟脑坏死的患者,他们的随访 MRI 显示在治疗后 3 年前没有出现 RT 引起的变化。其中一名患者在星形母细胞瘤切除腔进行 PBT 治疗 4 年后出现放射坏死,另一名患者在脑干坏死首次出现在 3 年随访的脑部 MRI 上 6 个月后出现症状。我们还讨论了 PBT 与传统 RT 后辐射变化之间可能存在的差异。
本文章由计算机程序翻译,如有差异,请以英文原文为准。
求助全文
约1分钟内获得全文 求助全文
来源期刊
自引率
0.00%
发文量
0
×
引用
GB/T 7714-2015
复制
MLA
复制
APA
复制
导出至
BibTeX EndNote RefMan NoteFirst NoteExpress
×
提示
您的信息不完整,为了账户安全,请先补充。
现在去补充
×
提示
您因"违规操作"
具体请查看互助需知
我知道了
×
提示
确定
请完成安全验证×
copy
已复制链接
快去分享给好友吧!
我知道了
右上角分享
点击右上角分享
0
联系我们:info@booksci.cn Book学术提供免费学术资源搜索服务,方便国内外学者检索中英文文献。致力于提供最便捷和优质的服务体验。 Copyright © 2023 布克学术 All rights reserved.
京ICP备2023020795号-1
ghs 京公网安备 11010802042870号
Book学术文献互助
Book学术文献互助群
群 号:604180095
Book学术官方微信