Primary cutaneous mucinous carcinoma in a periorbital lesion: two case reports and literature review.

Q2 Medicine
Archives of Craniofacial Surgery Pub Date : 2024-04-01 Epub Date: 2024-04-20 DOI:10.7181/acfs.2024.00031
Jun Woo Kim, Sung Eun Kim
{"title":"Primary cutaneous mucinous carcinoma in a periorbital lesion: two case reports and literature review.","authors":"Jun Woo Kim, Sung Eun Kim","doi":"10.7181/acfs.2024.00031","DOIUrl":null,"url":null,"abstract":"<p><p>Primary cutaneous mucinous carcinoma (PCMC) is a rare malignancy of the sweat glands that most commonly affects the periorbital area. It is characterized by slow growth over a prolonged period, and its morphology can be easily confused with a benign tumor, such as an epidermal cyst. Consequently, many patients experience recurrence after undergoing multiple resections. However, there are few reports concerning the surgical management of PCMC. We present two cases of PCMC originating in the periorbital area. The first case involved a 76-year-old man with a mass measuring 3.0× 1.5 cm that had been increasing in size. The second case was a 61-year-old man with two masses, each measuring 1.0× 1.0 cm, that were also growing. Both patients underwent wide excision with a 5-mm safety margin, which was determined based on the widest view of the cross-section of the mass on the magnetic resonance imaging. Subsequently, based on the intraoperative frozen biopsy results, both patients underwent additional excision with a 5-mm safety margin in only one direction. This report shows that, when determining the surgical margin of PCMC in periorbital area, employing imaging modalities and intraoperative frozen biopsies can be helpful for narrowing the surgical margin.</p>","PeriodicalId":52238,"journal":{"name":"Archives of Craniofacial Surgery","volume":"25 2","pages":"90-94"},"PeriodicalIF":0.0000,"publicationDate":"2024-04-01","publicationTypes":"Journal Article","fieldsOfStudy":null,"isOpenAccess":false,"openAccessPdf":"https://www.ncbi.nlm.nih.gov/pmc/articles/PMC11098763/pdf/","citationCount":"0","resultStr":null,"platform":"Semanticscholar","paperid":null,"PeriodicalName":"Archives of Craniofacial Surgery","FirstCategoryId":"1085","ListUrlMain":"https://doi.org/10.7181/acfs.2024.00031","RegionNum":0,"RegionCategory":null,"ArticlePicture":[],"TitleCN":null,"AbstractTextCN":null,"PMCID":null,"EPubDate":"2024/4/20 0:00:00","PubModel":"Epub","JCR":"Q2","JCRName":"Medicine","Score":null,"Total":0}
引用次数: 0

Abstract

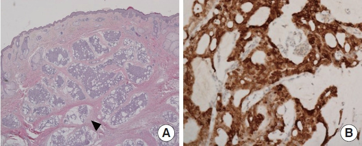
Primary cutaneous mucinous carcinoma (PCMC) is a rare malignancy of the sweat glands that most commonly affects the periorbital area. It is characterized by slow growth over a prolonged period, and its morphology can be easily confused with a benign tumor, such as an epidermal cyst. Consequently, many patients experience recurrence after undergoing multiple resections. However, there are few reports concerning the surgical management of PCMC. We present two cases of PCMC originating in the periorbital area. The first case involved a 76-year-old man with a mass measuring 3.0× 1.5 cm that had been increasing in size. The second case was a 61-year-old man with two masses, each measuring 1.0× 1.0 cm, that were also growing. Both patients underwent wide excision with a 5-mm safety margin, which was determined based on the widest view of the cross-section of the mass on the magnetic resonance imaging. Subsequently, based on the intraoperative frozen biopsy results, both patients underwent additional excision with a 5-mm safety margin in only one direction. This report shows that, when determining the surgical margin of PCMC in periorbital area, employing imaging modalities and intraoperative frozen biopsies can be helpful for narrowing the surgical margin.

Abstract Image

Abstract Image

Abstract Image

眶周病变中的原发性皮肤黏液癌:两例病例报告和文献综述。
原发性皮肤黏液癌(PCMC)是一种罕见的汗腺恶性肿瘤,最常见于眶周部位。它的特点是长期缓慢生长,其形态很容易与表皮囊肿等良性肿瘤相混淆。因此,许多患者在接受多次切除手术后仍会复发。然而,有关 PCMC 手术治疗的报道却很少。我们介绍了两例起源于眶周的 PCMC。第一例患者是一名 76 岁的男性,肿块大小为 3.0×1.5 厘米,且不断增大。第二例患者是一名 61 岁的男性,身上有两个肿块,每个大小为 1.0× 1.0 厘米,也在不断增大。根据磁共振成像中肿块横截面最宽的视角,确定了 5 毫米的安全边缘。随后,根据术中冰冻活检结果,两名患者都接受了仅在一个方向留有 5 毫米安全边际的额外切除术。本报告表明,在确定眶周 PCMC 的手术切缘时,采用成像模式和术中冷冻活检有助于缩小手术切缘。
本文章由计算机程序翻译,如有差异,请以英文原文为准。
求助全文
约1分钟内获得全文 求助全文
来源期刊
Archives of Craniofacial Surgery
Archives of Craniofacial Surgery Medicine-Otorhinolaryngology
CiteScore
2.90
自引率
0.00%
发文量
44
×
引用
GB/T 7714-2015
复制
MLA
复制
APA
复制
导出至
BibTeX EndNote RefMan NoteFirst NoteExpress
×
提示
您的信息不完整,为了账户安全,请先补充。
现在去补充
×
提示
您因"违规操作"
具体请查看互助需知
我知道了
×
提示
确定
请完成安全验证×
copy
已复制链接
快去分享给好友吧!
我知道了
右上角分享
点击右上角分享
0
联系我们:info@booksci.cn Book学术提供免费学术资源搜索服务,方便国内外学者检索中英文文献。致力于提供最便捷和优质的服务体验。 Copyright © 2023 布克学术 All rights reserved.
京ICP备2023020795号-1
ghs 京公网安备 11010802042870号
Book学术文献互助
Book学术文献互助群
群 号:604180095
Book学术官方微信