Atypical meningiomas compared to other WHO Grade 2 meningiomas: Histological features and prognosis.

IF 1.3 4区 医学 Q4 CLINICAL NEUROLOGY
Abdulrazag Ajlan, Saif Almeshari, Sarah Basindwah, Majed Aljohani, Yazed Alharbi, Fahad Aldhowaihy, Hisham Alkhaldi, Ashwag Alqurashi
{"title":"Atypical meningiomas compared to other WHO Grade 2 meningiomas: Histological features and prognosis.","authors":"Abdulrazag Ajlan, Saif Almeshari, Sarah Basindwah, Majed Aljohani, Yazed Alharbi, Fahad Aldhowaihy, Hisham Alkhaldi, Ashwag Alqurashi","doi":"10.17712/nsj.2024.2.20230091","DOIUrl":null,"url":null,"abstract":"<p><strong>Objectives: </strong>To study each atypical feature in atypical meningioma versus other grade 2 meningiomas and its possible relation to recurrence.</p><p><strong>Methods: </strong>This is a retrospective study of patients with WHO grade 2 meningioma operated in our institution between 01/2008 and 12/2020. The rate of recurrence, reoperation and readmission were recorded during the follow-up period. A statistical analysis was done to determine the significance of each pathological feature in regard to recurrence.</p><p><strong>Results: </strong>A total of 74 patients were included as WHO grade 2 meningioma with 60 (81%) patients having an AM and 14 (19%) patients with chordoid or clear cell meningioma. The mean age was 51 years±14. The most common location was meningioma abutting the frontal lobe (convexity). Major atypical features were more noted in the AM, however, there was no significant difference between AM and other types of meningioma. Increased Nuclear cytoplasmic ratio and cellularity were found significantly more in AM. The recurrence rate was 16.2%. No specific pathology feature (major or minor) nor the type of Grade 2 meningioma was significantly related to recurrence.</p><p><strong>Conclusion: </strong>The types of WHO grade 2 meningiomas have similar prognosis and recurrence rates. There is no significant difference between the atypical features in indicating a more aggressive nature or risk of recurrence in grade 2 meningiomas.</p>","PeriodicalId":19284,"journal":{"name":"Neurosciences","volume":"29 2","pages":"96-102"},"PeriodicalIF":1.3000,"publicationDate":"2024-05-01","publicationTypes":"Journal Article","fieldsOfStudy":null,"isOpenAccess":false,"openAccessPdf":"https://www.ncbi.nlm.nih.gov/pmc/articles/PMC11305365/pdf/","citationCount":"0","resultStr":null,"platform":"Semanticscholar","paperid":null,"PeriodicalName":"Neurosciences","FirstCategoryId":"3","ListUrlMain":"https://doi.org/10.17712/nsj.2024.2.20230091","RegionNum":4,"RegionCategory":"医学","ArticlePicture":[],"TitleCN":null,"AbstractTextCN":null,"PMCID":null,"EPubDate":"","PubModel":"","JCR":"Q4","JCRName":"CLINICAL NEUROLOGY","Score":null,"Total":0}
引用次数: 0

Abstract

Objectives: To study each atypical feature in atypical meningioma versus other grade 2 meningiomas and its possible relation to recurrence.

Methods: This is a retrospective study of patients with WHO grade 2 meningioma operated in our institution between 01/2008 and 12/2020. The rate of recurrence, reoperation and readmission were recorded during the follow-up period. A statistical analysis was done to determine the significance of each pathological feature in regard to recurrence.

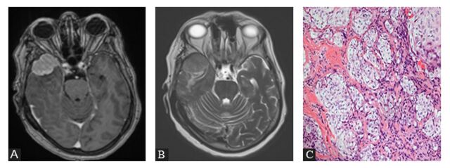
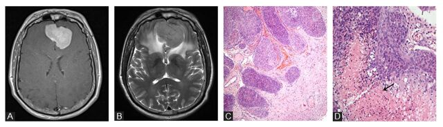
Results: A total of 74 patients were included as WHO grade 2 meningioma with 60 (81%) patients having an AM and 14 (19%) patients with chordoid or clear cell meningioma. The mean age was 51 years±14. The most common location was meningioma abutting the frontal lobe (convexity). Major atypical features were more noted in the AM, however, there was no significant difference between AM and other types of meningioma. Increased Nuclear cytoplasmic ratio and cellularity were found significantly more in AM. The recurrence rate was 16.2%. No specific pathology feature (major or minor) nor the type of Grade 2 meningioma was significantly related to recurrence.

Conclusion: The types of WHO grade 2 meningiomas have similar prognosis and recurrence rates. There is no significant difference between the atypical features in indicating a more aggressive nature or risk of recurrence in grade 2 meningiomas.

Abstract Image

Abstract Image

Abstract Image

非典型脑膜瘤与其他世卫组织 2 级脑膜瘤的比较:组织学特征和预后。
目的:研究非典型脑膜瘤与其他2级脑膜瘤的非典型特征及其与复发的关系:研究非典型脑膜瘤与其他2级脑膜瘤的非典型特征及其与复发的可能关系:这是一项回顾性研究,研究对象为2008年1月1日至2020年12月12日期间在我院接受手术的WHO 2级脑膜瘤患者。随访期间记录了复发率、再次手术率和再次入院率。通过统计分析,确定了每种病理特征在复发方面的重要性:共有74名患者属于WHO 2级脑膜瘤,其中60人(81%)患有AM,14人(19%)患有脉络膜或透明细胞脑膜瘤。平均年龄为 51 岁±14 岁。最常见的位置是脑膜瘤毗邻额叶(凸面)。AM的主要非典型特征更明显,但AM与其他类型的脑膜瘤无明显差异。AM的核细胞质比率和细胞度明显增加。复发率为 16.2%。2级脑膜瘤的具体病理特征(主要或次要)或类型与复发均无明显关系:结论:WHO 2级脑膜瘤的预后和复发率相似。结论:WHO 2 级脑膜瘤的预后和复发率相似,非典型特征在表明 2 级脑膜瘤更具侵袭性或复发风险方面没有明显差异。
本文章由计算机程序翻译,如有差异,请以英文原文为准。
求助全文
约1分钟内获得全文 求助全文
来源期刊
Neurosciences
Neurosciences 医学-临床神经学
CiteScore
1.40
自引率
0.00%
发文量
54
审稿时长
4.5 months
期刊介绍: Neurosciences is an open access, peer-reviewed, quarterly publication. Authors are invited to submit for publication articles reporting original work related to the nervous system, e.g., neurology, neurophysiology, neuroradiology, neurosurgery, neurorehabilitation, neurooncology, neuropsychiatry, and neurogenetics, etc. Basic research withclear clinical implications will also be considered. Review articles of current interest and high standard are welcomed for consideration. Prospective workshould not be backdated. There are also sections for Case Reports, Brief Communication, Correspondence, and medical news items. To promote continuous education, training, and learning, we include Clinical Images and MCQ’s. Highlights of international and regional meetings of interest, and specialized supplements will also be considered. All submissions must conform to the Uniform Requirements.
×
引用
GB/T 7714-2015
复制
MLA
复制
APA
复制
导出至
BibTeX EndNote RefMan NoteFirst NoteExpress
×
提示
您的信息不完整,为了账户安全,请先补充。
现在去补充
×
提示
您因"违规操作"
具体请查看互助需知
我知道了
×
提示
确定
请完成安全验证×
copy
已复制链接
快去分享给好友吧!
我知道了
右上角分享
点击右上角分享
0
联系我们:info@booksci.cn Book学术提供免费学术资源搜索服务,方便国内外学者检索中英文文献。致力于提供最便捷和优质的服务体验。 Copyright © 2023 布克学术 All rights reserved.
京ICP备2023020795号-1
ghs 京公网安备 11010802042870号
Book学术文献互助
Book学术文献互助群
群 号:604180095
Book学术官方微信