Assessment of heart-substructures auto-contouring accuracy for application in heart-sparing radiotherapy for lung cancer.

IF 2.1
BJR open Pub Date : 2024-05-08 eCollection Date: 2024-01-01 DOI:10.1093/bjro/tzae006
Tom Marchant, Gareth Price, Alan McWilliam, Edward Henderson, Dónal McSweeney, Marcel van Herk, Kathryn Banfill, Matthias Schmitt, Jennifer King, Claire Barker, Corinne Faivre-Finn
{"title":"Assessment of heart-substructures auto-contouring accuracy for application in heart-sparing radiotherapy for lung cancer.","authors":"Tom Marchant, Gareth Price, Alan McWilliam, Edward Henderson, Dónal McSweeney, Marcel van Herk, Kathryn Banfill, Matthias Schmitt, Jennifer King, Claire Barker, Corinne Faivre-Finn","doi":"10.1093/bjro/tzae006","DOIUrl":null,"url":null,"abstract":"<p><strong>Objectives: </strong>We validated an auto-contouring algorithm for heart substructures in lung cancer patients, aiming to establish its accuracy and reliability for radiotherapy (RT) planning. We focus on contouring an amalgamated set of subregions in the base of the heart considered to be a new organ at risk, the cardiac avoidance area (CAA), to enable maximum dose limit implementation in lung RT planning.</p><p><strong>Methods: </strong>The study validates a deep-learning model specifically adapted for auto-contouring the CAA (which includes the right atrium, aortic valve root, and proximal segments of the left and right coronary arteries). Geometric, dosimetric, quantitative, and qualitative validation measures are reported. Comparison with manual contours, including assessment of interobserver variability, and robustness testing over 198 cases are also conducted.</p><p><strong>Results: </strong>Geometric validation shows that auto-contouring performance lies within the expected range of manual observer variability despite being slightly poorer than the average of manual observers (mean surface distance for CAA of 1.6 vs 1.2 mm, dice similarity coefficient of 0.86 vs 0.88). Dosimetric validation demonstrates consistency between plans optimized using auto-contours and manual contours. Robustness testing confirms acceptable contours in all cases, with 80% rated as \"Good\" and the remaining 20% as \"Useful.\"</p><p><strong>Conclusions: </strong>The auto-contouring algorithm for heart substructures in lung cancer patients demonstrates acceptable and comparable performance to human observers.</p><p><strong>Advances in knowledge: </strong>Accurate and reliable auto-contouring results for the CAA facilitate the implementation of a maximum dose limit to this region in lung RT planning, which has now been introduced in the routine setting at our institution.</p>","PeriodicalId":72419,"journal":{"name":"BJR open","volume":"6 1","pages":"tzae006"},"PeriodicalIF":2.1000,"publicationDate":"2024-05-08","publicationTypes":"Journal Article","fieldsOfStudy":null,"isOpenAccess":false,"openAccessPdf":"https://www.ncbi.nlm.nih.gov/pmc/articles/PMC11087931/pdf/","citationCount":"0","resultStr":null,"platform":"Semanticscholar","paperid":null,"PeriodicalName":"BJR open","FirstCategoryId":"1085","ListUrlMain":"https://doi.org/10.1093/bjro/tzae006","RegionNum":0,"RegionCategory":null,"ArticlePicture":[],"TitleCN":null,"AbstractTextCN":null,"PMCID":null,"EPubDate":"2024/1/1 0:00:00","PubModel":"eCollection","JCR":"","JCRName":"","Score":null,"Total":0}
引用次数: 0

Abstract

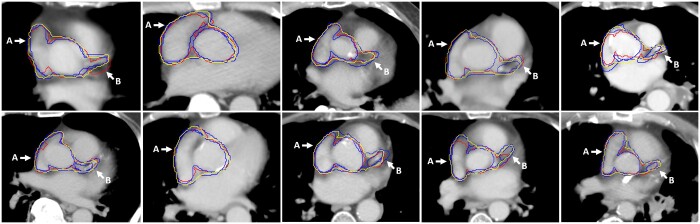
Objectives: We validated an auto-contouring algorithm for heart substructures in lung cancer patients, aiming to establish its accuracy and reliability for radiotherapy (RT) planning. We focus on contouring an amalgamated set of subregions in the base of the heart considered to be a new organ at risk, the cardiac avoidance area (CAA), to enable maximum dose limit implementation in lung RT planning.

Methods: The study validates a deep-learning model specifically adapted for auto-contouring the CAA (which includes the right atrium, aortic valve root, and proximal segments of the left and right coronary arteries). Geometric, dosimetric, quantitative, and qualitative validation measures are reported. Comparison with manual contours, including assessment of interobserver variability, and robustness testing over 198 cases are also conducted.

Results: Geometric validation shows that auto-contouring performance lies within the expected range of manual observer variability despite being slightly poorer than the average of manual observers (mean surface distance for CAA of 1.6 vs 1.2 mm, dice similarity coefficient of 0.86 vs 0.88). Dosimetric validation demonstrates consistency between plans optimized using auto-contours and manual contours. Robustness testing confirms acceptable contours in all cases, with 80% rated as "Good" and the remaining 20% as "Useful."

Conclusions: The auto-contouring algorithm for heart substructures in lung cancer patients demonstrates acceptable and comparable performance to human observers.

Advances in knowledge: Accurate and reliable auto-contouring results for the CAA facilitate the implementation of a maximum dose limit to this region in lung RT planning, which has now been introduced in the routine setting at our institution.

Abstract Image

Abstract Image

Abstract Image

评估应用于肺癌保心放疗的心脏亚结构自动轮廓扫描的准确性。
目的:我们验证了肺癌患者心脏亚结构的自动轮廓绘制算法,旨在确定其在放疗(RT)计划中的准确性和可靠性。我们重点研究了心脏底部被认为是新的高危器官--心脏避开区(CAA)--的一组子区域的轮廓,以便在肺癌放疗计划中实现最大剂量限制:该研究验证了一个深度学习模型,该模型专门适用于自动勾画CAA(包括右心房、主动脉瓣根部和左右冠状动脉近段)。报告了几何、剂量、定量和定性验证措施。此外,还对 198 个病例与手动轮廓进行了比较,包括评估观察者之间的变异性和稳健性测试:几何验证结果表明,尽管自动轮廓绘制比人工观察者的平均水平稍差(CAA 的平均表面距离为 1.6 毫米对 1.2 毫米,骰子相似系数为 0.86 对 0.88),但自动轮廓绘制的性能在人工观察者变异性的预期范围之内。剂量测定验证表明,使用自动轮廓优化的计划与手动轮廓优化的计划具有一致性。稳健性测试证实所有情况下的轮廓都是可接受的,其中 80% 被评为 "好",其余 20% 被评为 "有用":针对肺癌患者心脏亚结构的自动轮廓绘制算法表现出了可接受的、与人类观察者相当的性能:准确可靠的 CAA 自动轮廓分析结果有助于在肺部 RT 计划中对该区域实施最大剂量限制,目前我们机构已将其纳入常规设置。
本文章由计算机程序翻译,如有差异,请以英文原文为准。
求助全文
约1分钟内获得全文 求助全文
来源期刊
自引率
0.00%
发文量
0
审稿时长
18 weeks
×
引用
GB/T 7714-2015
复制
MLA
复制
APA
复制
导出至
BibTeX EndNote RefMan NoteFirst NoteExpress
×
提示
您的信息不完整,为了账户安全,请先补充。
现在去补充
×
提示
您因"违规操作"
具体请查看互助需知
我知道了
×
提示
确定
请完成安全验证×
copy
已复制链接
快去分享给好友吧!
我知道了
右上角分享
点击右上角分享
0
联系我们:info@booksci.cn Book学术提供免费学术资源搜索服务,方便国内外学者检索中英文文献。致力于提供最便捷和优质的服务体验。 Copyright © 2023 布克学术 All rights reserved.
京ICP备2023020795号-1
ghs 京公网安备 11010802042870号
Book学术文献互助
Book学术文献互助群
群 号:604180095
Book学术官方微信