Epithelioid hemangioma of the acromion causing shoulder pain: a case report.

IF 1.7 Q2 ORTHOPEDICS
Clinics in Shoulder and Elbow Pub Date : 2024-12-01 Epub Date: 2024-05-08 DOI:10.5397/cise.2023.00941
Whanyong Jung, Suil Jung, Seung-Yong Sung
{"title":"Epithelioid hemangioma of the acromion causing shoulder pain: a case report.","authors":"Whanyong Jung, Suil Jung, Seung-Yong Sung","doi":"10.5397/cise.2023.00941","DOIUrl":null,"url":null,"abstract":"<p><p>Epithelioid hemangioma of bone is a rare benign vascular tumor. Because of the locally destructive clinical presentation and the presence of atypical histologic features with increased mitotic activity and necrosis, it is often misdiagnosed as low-grade malignant epithelioid hemangioendothelioma or high-grade malignant epithelioid angiosarcoma. Correct diagnosis through imaging studies and histopathological examination is mandatory to determine the appropriate course of treatment, as the prognosis differs from that of other malignant hemangioma tumors. A 69-year-old male who presented with intractable shoulder pain caused by epithelioid hemangioma in the acromion of the scapula was treated with tumor curettage. This paper reports a good result with a review of the relevant literature.</p>","PeriodicalId":33981,"journal":{"name":"Clinics in Shoulder and Elbow","volume":" ","pages":"519-523"},"PeriodicalIF":1.7000,"publicationDate":"2024-12-01","publicationTypes":"Journal Article","fieldsOfStudy":null,"isOpenAccess":false,"openAccessPdf":"https://www.ncbi.nlm.nih.gov/pmc/articles/PMC11615465/pdf/","citationCount":"0","resultStr":null,"platform":"Semanticscholar","paperid":null,"PeriodicalName":"Clinics in Shoulder and Elbow","FirstCategoryId":"1085","ListUrlMain":"https://doi.org/10.5397/cise.2023.00941","RegionNum":0,"RegionCategory":null,"ArticlePicture":[],"TitleCN":null,"AbstractTextCN":null,"PMCID":null,"EPubDate":"2024/5/8 0:00:00","PubModel":"Epub","JCR":"Q2","JCRName":"ORTHOPEDICS","Score":null,"Total":0}
引用次数: 0

Abstract

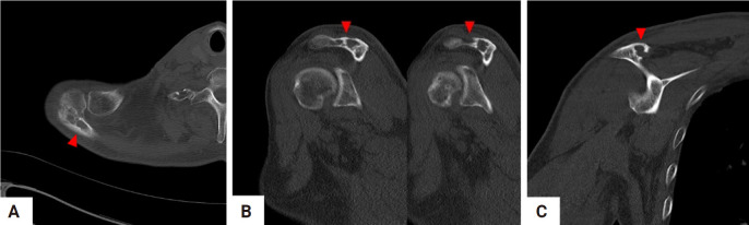
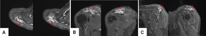
Epithelioid hemangioma of bone is a rare benign vascular tumor. Because of the locally destructive clinical presentation and the presence of atypical histologic features with increased mitotic activity and necrosis, it is often misdiagnosed as low-grade malignant epithelioid hemangioendothelioma or high-grade malignant epithelioid angiosarcoma. Correct diagnosis through imaging studies and histopathological examination is mandatory to determine the appropriate course of treatment, as the prognosis differs from that of other malignant hemangioma tumors. A 69-year-old male who presented with intractable shoulder pain caused by epithelioid hemangioma in the acromion of the scapula was treated with tumor curettage. This paper reports a good result with a review of the relevant literature.

Abstract Image

Abstract Image

Abstract Image

肩峰上皮样血管瘤导致肩痛:病例报告。
骨上皮样血管瘤是一种罕见的良性血管肿瘤。由于其临床表现具有局部破坏性,且组织学特征不典型,有丝分裂活动和坏死增加,因此常被误诊为低度恶性上皮样血管瘤或高度恶性上皮样血管肉瘤。由于预后不同于其他恶性血管瘤,因此必须通过影像学检查和组织病理学检查进行正确诊断,以确定适当的治疗方案。一名 69 岁的男性患者因肩胛骨肩峰处的上皮样血管瘤引起顽固性肩痛,接受了肿瘤刮除治疗。本文报告了这一良好的治疗效果,并对相关文献进行了综述。
本文章由计算机程序翻译,如有差异,请以英文原文为准。
求助全文
约1分钟内获得全文 求助全文
来源期刊
CiteScore
0.30
自引率
0.00%
发文量
55
审稿时长
15 weeks
×
引用
GB/T 7714-2015
复制
MLA
复制
APA
复制
导出至
BibTeX EndNote RefMan NoteFirst NoteExpress
×
提示
您的信息不完整,为了账户安全,请先补充。
现在去补充
×
提示
您因"违规操作"
具体请查看互助需知
我知道了
×
提示
确定
请完成安全验证×
copy
已复制链接
快去分享给好友吧!
我知道了
右上角分享
点击右上角分享
0
联系我们:info@booksci.cn Book学术提供免费学术资源搜索服务,方便国内外学者检索中英文文献。致力于提供最便捷和优质的服务体验。 Copyright © 2023 布克学术 All rights reserved.
京ICP备2023020795号-1
ghs 京公网安备 11010802042870号
Book学术文献互助
Book学术文献互助群
群 号:604180095
Book学术官方微信