Prolonged remission with ibrutinib maintenance therapy following radiation in a patient with relapsed primary CNS lymphoma.

Q1 Medicine
CNS Oncology Pub Date : 2024-06-06 Epub Date: 2024-05-09 DOI:10.1080/20450907.2024.2345579
Steven Du, Dan Beverly Fu, Daniela A Bota, Xiao-Tang Kong
{"title":"Prolonged remission with ibrutinib maintenance therapy following radiation in a patient with relapsed primary CNS lymphoma.","authors":"Steven Du, Dan Beverly Fu, Daniela A Bota, Xiao-Tang Kong","doi":"10.1080/20450907.2024.2345579","DOIUrl":null,"url":null,"abstract":"<p><p><b>Background:</b> Treatment for refractory or relapsed primary CNS lymphoma (r/r PCNSL) is challenging. Salvage whole-brain radiation therapy (WBRT) is an option but has a short duration of disease control, so additional treatment modalities are warranted. <b>Case:</b> A 75-year-old female with r/r PCNSL who had multiple progressions after multiple lines of treatment underwent salvage WBRT. The patient received ibrutinib, a Bruton's tyrosine kinase inhibitor, as maintenance therapy for 18 months following WBRT with the intention of increasing survival duration after salvage WBRT. She survived 81 months from diagnosis, including 57 months after completion of WBRT. <b>Conclusion:</b> This case presentation describes the experience of using ibrutinib as maintenance therapy in treating r/r PCNSL after salvage WBRT.</p>","PeriodicalId":10469,"journal":{"name":"CNS Oncology","volume":" ","pages":"2345579"},"PeriodicalIF":0.0000,"publicationDate":"2024-06-06","publicationTypes":"Journal Article","fieldsOfStudy":null,"isOpenAccess":false,"openAccessPdf":"https://www.ncbi.nlm.nih.gov/pmc/articles/PMC11137789/pdf/","citationCount":"0","resultStr":null,"platform":"Semanticscholar","paperid":null,"PeriodicalName":"CNS Oncology","FirstCategoryId":"1085","ListUrlMain":"https://doi.org/10.1080/20450907.2024.2345579","RegionNum":0,"RegionCategory":null,"ArticlePicture":[],"TitleCN":null,"AbstractTextCN":null,"PMCID":null,"EPubDate":"2024/5/9 0:00:00","PubModel":"Epub","JCR":"Q1","JCRName":"Medicine","Score":null,"Total":0}
引用次数: 0

Abstract

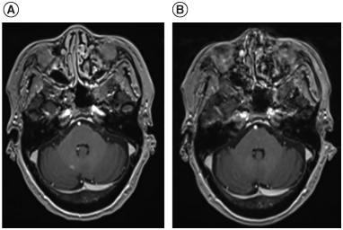
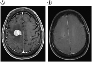
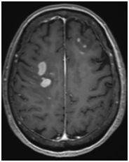
Background: Treatment for refractory or relapsed primary CNS lymphoma (r/r PCNSL) is challenging. Salvage whole-brain radiation therapy (WBRT) is an option but has a short duration of disease control, so additional treatment modalities are warranted. Case: A 75-year-old female with r/r PCNSL who had multiple progressions after multiple lines of treatment underwent salvage WBRT. The patient received ibrutinib, a Bruton's tyrosine kinase inhibitor, as maintenance therapy for 18 months following WBRT with the intention of increasing survival duration after salvage WBRT. She survived 81 months from diagnosis, including 57 months after completion of WBRT. Conclusion: This case presentation describes the experience of using ibrutinib as maintenance therapy in treating r/r PCNSL after salvage WBRT.

Abstract Image

Abstract Image

Abstract Image

一名原发性中枢神经系统淋巴瘤复发患者在接受伊布替尼放射治疗后,通过伊布替尼维持治疗延长了缓解期。
背景:治疗难治或复发的原发性中枢神经系统淋巴瘤(r/r PCNSL)具有挑战性。挽救性全脑放射治疗(WBRT)是一种选择,但疾病控制时间较短,因此需要其他治疗方式。病例:一名 75 岁女性患者患有 r/r PCNSL,经过多线治疗后病情多次进展,接受了挽救性全脑放射治疗(WBRT)。患者接受了布鲁顿酪氨酸激酶抑制剂伊布替尼(ibrutinib)的维持治疗,为期18个月,旨在延长WBRT挽救治疗后的存活时间。她在确诊后存活了 81 个月,其中包括完成 WBRT 后的 57 个月。结论:本病例介绍了使用伊布替尼作为维持疗法,治疗WBRT抢救后的r/r PCNSL的经验。
本文章由计算机程序翻译,如有差异,请以英文原文为准。
求助全文
约1分钟内获得全文 求助全文
来源期刊
CNS Oncology
CNS Oncology Medicine-Neurology (clinical)
CiteScore
3.80
自引率
0.00%
发文量
12
审稿时长
13 weeks
×
引用
GB/T 7714-2015
复制
MLA
复制
APA
复制
导出至
BibTeX EndNote RefMan NoteFirst NoteExpress
×
提示
您的信息不完整,为了账户安全,请先补充。
现在去补充
×
提示
您因"违规操作"
具体请查看互助需知
我知道了
×
提示
确定
请完成安全验证×
copy
已复制链接
快去分享给好友吧!
我知道了
右上角分享
点击右上角分享
0
联系我们:info@booksci.cn Book学术提供免费学术资源搜索服务,方便国内外学者检索中英文文献。致力于提供最便捷和优质的服务体验。 Copyright © 2023 布克学术 All rights reserved.
京ICP备2023020795号-1
ghs 京公网安备 11010802042870号
Book学术文献互助
Book学术文献互助群
群 号:604180095
Book学术官方微信