Idiopathic Granulomatous Vulvitis: A Case Report on a Rare Disease.

IF 0.6 Q3 MEDICINE, GENERAL & INTERNAL
Clinical Medicine Insights. Case Reports Pub Date : 2024-05-08 eCollection Date: 2024-01-01 DOI:10.1177/11795476241253109
Jihan M Muhaidat, Enas A Alhaje, Firas A Al-Qarqaz, Diala M Alshiyab, Almutazballlah Bassam Qablan
{"title":"Idiopathic Granulomatous Vulvitis: A Case Report on a Rare Disease.","authors":"Jihan M Muhaidat, Enas A Alhaje, Firas A Al-Qarqaz, Diala M Alshiyab, Almutazballlah Bassam Qablan","doi":"10.1177/11795476241253109","DOIUrl":null,"url":null,"abstract":"<p><p>Idiopathic granulomatous vulvitis is an uncommon anogenital area disease described in the last few decades. It causes an inflammatory reaction that culminates in swelling and possibly distortion of the female anogenital area. Many reported cases consider this non-infectious entity the genital counterpart to granulomatous cheilitis. We here present a 64 years old female patient with idiopathic granulomatous vulvitis co-existing with lipodermatosclerosis, with the excellent response of the former condition to hydroxychloroquine and potent topical steroids.</p>","PeriodicalId":10357,"journal":{"name":"Clinical Medicine Insights. Case Reports","volume":"17 ","pages":"11795476241253109"},"PeriodicalIF":0.6000,"publicationDate":"2024-05-08","publicationTypes":"Journal Article","fieldsOfStudy":null,"isOpenAccess":false,"openAccessPdf":"https://www.ncbi.nlm.nih.gov/pmc/articles/PMC11080743/pdf/","citationCount":"0","resultStr":null,"platform":"Semanticscholar","paperid":null,"PeriodicalName":"Clinical Medicine Insights. Case Reports","FirstCategoryId":"1085","ListUrlMain":"https://doi.org/10.1177/11795476241253109","RegionNum":0,"RegionCategory":null,"ArticlePicture":[],"TitleCN":null,"AbstractTextCN":null,"PMCID":null,"EPubDate":"2024/1/1 0:00:00","PubModel":"eCollection","JCR":"Q3","JCRName":"MEDICINE, GENERAL & INTERNAL","Score":null,"Total":0}
引用次数: 0

Abstract

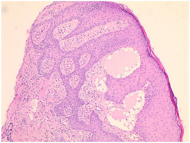
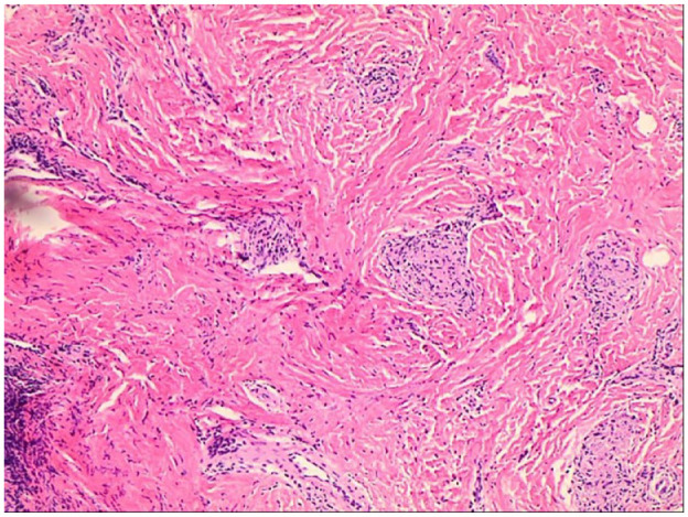
Idiopathic granulomatous vulvitis is an uncommon anogenital area disease described in the last few decades. It causes an inflammatory reaction that culminates in swelling and possibly distortion of the female anogenital area. Many reported cases consider this non-infectious entity the genital counterpart to granulomatous cheilitis. We here present a 64 years old female patient with idiopathic granulomatous vulvitis co-existing with lipodermatosclerosis, with the excellent response of the former condition to hydroxychloroquine and potent topical steroids.

Abstract Image

Abstract Image

Abstract Image

特发性肉芽肿性外阴炎:罕见疾病的病例报告
特发性肉芽肿性外阴炎是近几十年来出现的一种不常见的外阴部位疾病。这种疾病会引起炎症反应,最终导致女性外阴部位肿胀并可能变形。许多报告的病例都认为这种非感染性疾病与肉芽肿性阴道炎类似。我们在此介绍一位 64 岁的女性患者,她患有特发性肉芽肿性外阴炎,同时还伴有脂溢性皮肤硬化症,前者对羟氯喹和强效外用类固醇类药物反应良好。
本文章由计算机程序翻译,如有差异,请以英文原文为准。
求助全文
约1分钟内获得全文 求助全文
来源期刊
Clinical Medicine Insights. Case Reports
Clinical Medicine Insights. Case Reports MEDICINE, GENERAL & INTERNAL-
CiteScore
1.10
自引率
0.00%
发文量
57
审稿时长
8 weeks
×
引用
GB/T 7714-2015
复制
MLA
复制
APA
复制
导出至
BibTeX EndNote RefMan NoteFirst NoteExpress
×
提示
您的信息不完整,为了账户安全,请先补充。
现在去补充
×
提示
您因"违规操作"
具体请查看互助需知
我知道了
×
提示
确定
请完成安全验证×
copy
已复制链接
快去分享给好友吧!
我知道了
右上角分享
点击右上角分享
0
联系我们:info@booksci.cn Book学术提供免费学术资源搜索服务,方便国内外学者检索中英文文献。致力于提供最便捷和优质的服务体验。 Copyright © 2023 布克学术 All rights reserved.
京ICP备2023020795号-1
ghs 京公网安备 11010802042870号
Book学术文献互助
Book学术文献互助群
群 号:604180095
Book学术官方微信