[Angioplasty with ductal stent: experience at Garrahan Hospital].

Diego S Vanella, Federico D'Antonio, José L Alonso, José L Pibernus, Francisco Comas, Antonio Cannata, Gladys H Salgado, Alberto Sciegata
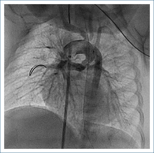
{"title":"[Angioplasty with ductal stent: experience at Garrahan Hospital].","authors":"Diego S Vanella, Federico D'Antonio, José L Alonso, José L Pibernus, Francisco Comas, Antonio Cannata, Gladys H Salgado, Alberto Sciegata","doi":"10.24875/ACM.23000235","DOIUrl":null,"url":null,"abstract":"<p><strong>Objective: </strong>To describe and evaluate the outcomes of ductal angioplasty with stent placement at a single high-complexity center during the period 2016-2022.</p><p><strong>Method: </strong>A retrospective descriptive cross-sectional study was conducted, including patients under 3 months of age who underwent ductal stent implantation as initial palliative treatment. Demographic, clinical, and anatomical data were collected before the intervention. Mortality, intra- and post-procedural complications, need for re-intervention, intensive care requirements, and hospital stay were recorded. The characteristics at the time of definitive surgery are described. Discrete variables are presented as percentages, and continuous variables are presented with their medians and respective interquartile ranges.</p><p><strong>Results: </strong>Twenty patients who underwent this treatment were reviewed, revealing a success rate of 80%. Complications due to stent dysfunction required surgical resolution. 95% of patients were dischargedfrom the institution after the procedure, and 17 patients reached a second definitive surgical stage. Three patients died afterthe procedure, but with no direct relation to it.</p><p><strong>Conclusions: </strong>Indications for ductal angioplasty with stent as an alternative treatment to systemic-pulmonary anastomosis by surgery are not yet fully defined; the strategy represents a valid alternative in appropriately selected patients. The presented experience shows results similar to international reference centers.</p>","PeriodicalId":93885,"journal":{"name":"Archivos de cardiologia de Mexico","volume":" ","pages":"459-466"},"PeriodicalIF":0.0000,"publicationDate":"2024-05-08","publicationTypes":"Journal Article","fieldsOfStudy":null,"isOpenAccess":false,"openAccessPdf":"https://www.ncbi.nlm.nih.gov/pmc/articles/PMC12148535/pdf/","citationCount":"0","resultStr":null,"platform":"Semanticscholar","paperid":null,"PeriodicalName":"Archivos de cardiologia de Mexico","FirstCategoryId":"1085","ListUrlMain":"https://doi.org/10.24875/ACM.23000235","RegionNum":0,"RegionCategory":null,"ArticlePicture":[],"TitleCN":null,"AbstractTextCN":null,"PMCID":null,"EPubDate":"","PubModel":"","JCR":"","JCRName":"","Score":null,"Total":0}
引用次数: 0

Abstract

Objective: To describe and evaluate the outcomes of ductal angioplasty with stent placement at a single high-complexity center during the period 2016-2022.

Method: A retrospective descriptive cross-sectional study was conducted, including patients under 3 months of age who underwent ductal stent implantation as initial palliative treatment. Demographic, clinical, and anatomical data were collected before the intervention. Mortality, intra- and post-procedural complications, need for re-intervention, intensive care requirements, and hospital stay were recorded. The characteristics at the time of definitive surgery are described. Discrete variables are presented as percentages, and continuous variables are presented with their medians and respective interquartile ranges.

Results: Twenty patients who underwent this treatment were reviewed, revealing a success rate of 80%. Complications due to stent dysfunction required surgical resolution. 95% of patients were dischargedfrom the institution after the procedure, and 17 patients reached a second definitive surgical stage. Three patients died afterthe procedure, but with no direct relation to it.

Conclusions: Indications for ductal angioplasty with stent as an alternative treatment to systemic-pulmonary anastomosis by surgery are not yet fully defined; the strategy represents a valid alternative in appropriately selected patients. The presented experience shows results similar to international reference centers.

Abstract Image

Abstract Image

Abstract Image

[使用导管支架进行血管成形术:Garrahan 医院的经验]。
目的描述并评估2016年至2022年期间在一家高难度中心进行的导管血管成形术加支架植入术的疗效:进行了一项回顾性描述性横断面研究,包括作为初始姑息治疗接受导管支架植入术的3个月以下患者。干预前收集了人口统计学、临床和解剖学数据。记录了死亡率、术中和术后并发症、再次介入治疗的需要、重症监护要求和住院时间。此外,还对最终手术时的特征进行了描述。离散变量以百分比表示,连续变量以中位数和各自的四分位数范围表示:对接受这种治疗的 20 名患者进行了回顾,结果显示成功率为 80%。支架功能障碍导致的并发症需要通过手术解决。95%的患者在术后出院,17名患者进入了第二阶段手术。三名患者在术后死亡,但与手术没有直接关系:带支架的导管血管成形术作为通过手术进行全身-肺吻合术的替代治疗方法的适应症尚未完全确定;对于经过适当选择的患者,该策略是一种有效的替代方法。本文介绍的经验显示,其结果与国际参考中心相似。
本文章由计算机程序翻译,如有差异,请以英文原文为准。
求助全文
约1分钟内获得全文 求助全文
来源期刊
自引率
0.00%
发文量
0
×
引用
GB/T 7714-2015
复制
MLA
复制
APA
复制
导出至
BibTeX EndNote RefMan NoteFirst NoteExpress
×
提示
您的信息不完整,为了账户安全,请先补充。
现在去补充
×
提示
您因"违规操作"
具体请查看互助需知
我知道了
×
提示
确定
请完成安全验证×
copy
已复制链接
快去分享给好友吧!
我知道了
右上角分享
点击右上角分享
0
联系我们:info@booksci.cn Book学术提供免费学术资源搜索服务,方便国内外学者检索中英文文献。致力于提供最便捷和优质的服务体验。 Copyright © 2023 布克学术 All rights reserved.
京ICP备2023020795号-1
ghs 京公网安备 11010802042870号
Book学术文献互助
Book学术文献互助群
群 号:604180095
Book学术官方微信