Capsaicin modulates Akkermansia muciniphila abundance by enhancing MUCIN2 levels in mice fed with high-fat diets.

IF 3.4 4区 医学 Q2 FOOD SCIENCE & TECHNOLOGY
Food & Nutrition Research Pub Date : 2024-04-17 eCollection Date: 2023-01-01 DOI:10.29219/fnr.v67.9990
Ting Gong, Yujing Zhou, Qinhong Shi, Yanyan Li, Haizhu Wang, Min Zhang, Linzheng Liao
{"title":"Capsaicin modulates Akkermansia muciniphila abundance by enhancing MUCIN2 levels in mice fed with high-fat diets.","authors":"Ting Gong, Yujing Zhou, Qinhong Shi, Yanyan Li, Haizhu Wang, Min Zhang, Linzheng Liao","doi":"10.29219/fnr.v67.9990","DOIUrl":null,"url":null,"abstract":"<p><p>Extensive research has been conducted to investigate the impact of capsaicin (CAP) on lipid metabolism, focusing specifically on its interaction with the vanilloid subtype 1 (TRPV1) ion channel. Additionally, studies have illuminated the role of Akkermansia muciniphila (<i>A. muciniphila</i>), a specific strain of intestinal microbiota, in lipid metabolism. In this study, a model utilizing resiniferatoxin (RTX) was employed to deactivate TRPV1 ion channels in germ-free mice, followed by the administration of A. muciniphila via gavage. Following the collection of intestinal tissues for a comprehensive analysis, employing histopathology, qPCR, and ELISA techniques, our findings revealed a significant upregulation of MUC2 and MUC3 expression induced by CAP. This upregulation resulted in the thickening of the colonic mucus layers. Notably, this effect was absent when TRPV1 was selectively inhibited. Moreover, there was no discernible impact on goblet cells. The findings strongly indicate that CAP influences the system by activating the TRPV1 ion channel, thereby enhancing the expression of mucin MUC2 and promoting an augmentation in the thickness of the mucous layer. This activation, in turn, supplies <i>A. muciniphila</i> with an ample source of carbon and nitrogen. This insight potentially clarify the underlying mechanism through which CAP facilitates the increase in <i>A. muciniphila</i> abundance.</p>","PeriodicalId":12119,"journal":{"name":"Food & Nutrition Research","volume":"67 ","pages":""},"PeriodicalIF":3.4000,"publicationDate":"2024-04-17","publicationTypes":"Journal Article","fieldsOfStudy":null,"isOpenAccess":false,"openAccessPdf":"https://www.ncbi.nlm.nih.gov/pmc/articles/PMC11077401/pdf/","citationCount":"0","resultStr":null,"platform":"Semanticscholar","paperid":null,"PeriodicalName":"Food & Nutrition Research","FirstCategoryId":"97","ListUrlMain":"https://doi.org/10.29219/fnr.v67.9990","RegionNum":4,"RegionCategory":"医学","ArticlePicture":[],"TitleCN":null,"AbstractTextCN":null,"PMCID":null,"EPubDate":"2023/1/1 0:00:00","PubModel":"eCollection","JCR":"Q2","JCRName":"FOOD SCIENCE & TECHNOLOGY","Score":null,"Total":0}
引用次数: 0

Abstract

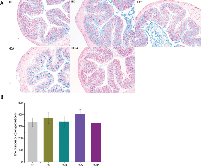
Extensive research has been conducted to investigate the impact of capsaicin (CAP) on lipid metabolism, focusing specifically on its interaction with the vanilloid subtype 1 (TRPV1) ion channel. Additionally, studies have illuminated the role of Akkermansia muciniphila (A. muciniphila), a specific strain of intestinal microbiota, in lipid metabolism. In this study, a model utilizing resiniferatoxin (RTX) was employed to deactivate TRPV1 ion channels in germ-free mice, followed by the administration of A. muciniphila via gavage. Following the collection of intestinal tissues for a comprehensive analysis, employing histopathology, qPCR, and ELISA techniques, our findings revealed a significant upregulation of MUC2 and MUC3 expression induced by CAP. This upregulation resulted in the thickening of the colonic mucus layers. Notably, this effect was absent when TRPV1 was selectively inhibited. Moreover, there was no discernible impact on goblet cells. The findings strongly indicate that CAP influences the system by activating the TRPV1 ion channel, thereby enhancing the expression of mucin MUC2 and promoting an augmentation in the thickness of the mucous layer. This activation, in turn, supplies A. muciniphila with an ample source of carbon and nitrogen. This insight potentially clarify the underlying mechanism through which CAP facilitates the increase in A. muciniphila abundance.

Abstract Image

Abstract Image

Abstract Image

辣椒素通过提高高脂饮食小鼠体内 MUCIN2 的水平来调节 Akkermansia muciniphila 的丰度。
研究人员对辣椒素(CAP)对脂质代谢的影响进行了广泛的研究,尤其侧重于辣椒素与香草素亚型 1(TRPV1)离子通道的相互作用。此外,研究还揭示了一种特殊的肠道微生物菌株 Akkermansia muciniphila(A. muciniphila)在脂质代谢中的作用。在本研究中,利用树脂松脂毒素(RTX)模型使无菌小鼠的 TRPV1 离子通道失活,然后通过灌胃给药的方式给小鼠服用粘液虹彩菌。通过组织病理学、qPCR 和 ELISA 技术收集肠道组织进行综合分析后,我们的研究结果表明,CAP 会显著上调 MUC2 和 MUC3 的表达。这种上调导致结肠粘液层增厚。值得注意的是,当 TRPV1 被选择性抑制时,这种效应并不存在。此外,对小管细胞也没有明显的影响。研究结果有力地表明,CAP 通过激活 TRPV1 离子通道来影响系统,从而增强粘蛋白 MUC2 的表达,促进粘液层厚度的增加。这种激活反过来又为粘蛋白噬菌体提供了充足的碳源和氮源。这一见解有可能阐明 CAP 促进粘液虹吸虫数量增加的潜在机制。
本文章由计算机程序翻译,如有差异,请以英文原文为准。
求助全文
约1分钟内获得全文 求助全文
来源期刊
Food & Nutrition Research
Food & Nutrition Research FOOD SCIENCE & TECHNOLOGY-NUTRITION & DIETETICS
CiteScore
5.20
自引率
9.10%
发文量
47
审稿时长
14 weeks
期刊介绍: Food & Nutrition Research is a peer-reviewed journal that presents the latest scientific research in various fields focusing on human nutrition. The journal publishes both quantitative and qualitative research papers. Through an Open Access publishing model, Food & Nutrition Research opens an important forum for researchers from academic and private arenas to exchange the latest results from research on human nutrition in a broad sense, both original papers and reviews, including: * Associations and effects of foods and nutrients on health * Dietary patterns and health * Molecular nutrition * Health claims on foods * Nutrition and cognitive functions * Nutritional effects of food composition and processing * Nutrition in developing countries * Animal and in vitro models with clear relevance for human nutrition * Nutrition and the Environment * Food and Nutrition Education * Nutrition and Economics Research papers on food chemistry (focus on chemical composition and analysis of foods) are generally not considered eligible, unless the results have a clear impact on human nutrition. The journal focuses on the different aspects of nutrition for people involved in nutrition research such as Dentists, Dieticians, Medical doctors, Nutritionists, Teachers, Journalists and Manufacturers in the food and pharmaceutical industries.
×
引用
GB/T 7714-2015
复制
MLA
复制
APA
复制
导出至
BibTeX EndNote RefMan NoteFirst NoteExpress
×
提示
您的信息不完整,为了账户安全,请先补充。
现在去补充
×
提示
您因"违规操作"
具体请查看互助需知
我知道了
×
提示
确定
请完成安全验证×
copy
已复制链接
快去分享给好友吧!
我知道了
右上角分享
点击右上角分享
0
联系我们:info@booksci.cn Book学术提供免费学术资源搜索服务,方便国内外学者检索中英文文献。致力于提供最便捷和优质的服务体验。 Copyright © 2023 布克学术 All rights reserved.
京ICP备2023020795号-1
ghs 京公网安备 11010802042870号
Book学术文献互助
Book学术文献互助群
群 号:604180095
Book学术官方微信