A Comprehensive Study on the Diagnostic Value of Multi-Slice Computed Tomography for Peripancreatic Infection in Elderly With Severe Acute Pancreatitis.

IF 1.7 Q4 GASTROENTEROLOGY & HEPATOLOGY
Gastroenterology Research Pub Date : 2024-04-01 Epub Date: 2024-04-30 DOI:10.14740/gr1679
Rui Hao, Yu Sun, Yang Hu
{"title":"A Comprehensive Study on the Diagnostic Value of Multi-Slice Computed Tomography for Peripancreatic Infection in Elderly With Severe Acute Pancreatitis.","authors":"Rui Hao, Yu Sun, Yang Hu","doi":"10.14740/gr1679","DOIUrl":null,"url":null,"abstract":"<p><strong>Background: </strong>This study investigated the diagnostic efficacy of multi-slice spiral computed tomography (MSCT) perfusion imaging in evaluating peripancreatic infection in elderly patients with severe acute pancreatitis (SAP).</p><p><strong>Methods: </strong>A retrospective analysis was conducted on the clinical data of 110 elderly SAP patients treated at our hospital from March 2018 to August 2019. The study correlated MSCT perfusion imaging characteristics with peripancreatic infection in elderly SAP patients. Additionally, receiver operating characteristic (ROC) curves were constructed to assess the diagnostic performance of MSCT perfusion imaging parameters in evaluating peripancreatic infection in elderly SAP patients.</p><p><strong>Results: </strong>The results indicated that among all 110 elderly SAP patients, the incidence rate of peripancreatic infection was 20.91%, with a mortality rate of 0.91%. MSCT perfusion imaging revealed that after peripancreatic infection in elderly SAP patients, there was a decrease in pancreatic density, local enlargement of the pancreas, blurring of the pancreatic margins, and associated ascites. Compression/narrowing/occlusion of the splenic vein was observed in 22 patients, compression/narrowing/occlusion of the superior mesenteric vein in 17 patients, thickening/thrombosis of the portal vein in 19 patients, and collateral circulation in 21 patients. Compared to elderly SAP patients without peripancreatic infection, those with the infection showed prolonged peak times, reduced peak heights, and decreased blood flow. ROC analysis indicated that the combination of the three parameters (peak time, peak height, and blood flow) had higher specificity and area under the curve (AUC) than single parameters, with no significant difference in sensitivity between the combination and single parameters.</p><p><strong>Conclusions: </strong>In conclusion, combining the three key MSCT perfusion imaging parameters (peak time, peak height, and blood flow) can significantly enhance the predictive efficacy for the risk of peripancreatic infection in elderly SAP patients.</p>","PeriodicalId":12461,"journal":{"name":"Gastroenterology Research","volume":"17 2","pages":"82-89"},"PeriodicalIF":1.7000,"publicationDate":"2024-04-01","publicationTypes":"Journal Article","fieldsOfStudy":null,"isOpenAccess":false,"openAccessPdf":"https://www.ncbi.nlm.nih.gov/pmc/articles/PMC11073457/pdf/","citationCount":"0","resultStr":null,"platform":"Semanticscholar","paperid":null,"PeriodicalName":"Gastroenterology Research","FirstCategoryId":"1085","ListUrlMain":"https://doi.org/10.14740/gr1679","RegionNum":0,"RegionCategory":null,"ArticlePicture":[],"TitleCN":null,"AbstractTextCN":null,"PMCID":null,"EPubDate":"2024/4/30 0:00:00","PubModel":"Epub","JCR":"Q4","JCRName":"GASTROENTEROLOGY & HEPATOLOGY","Score":null,"Total":0}
引用次数: 0

Abstract

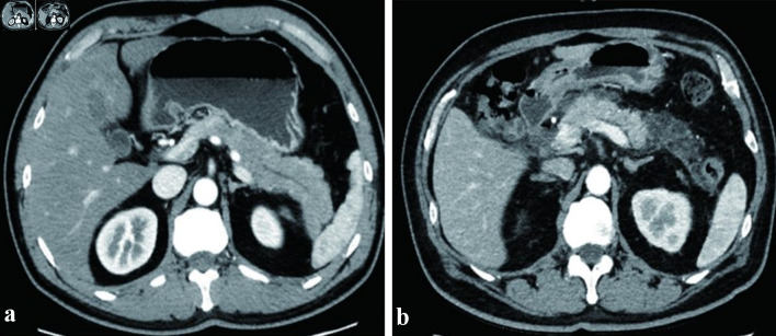
Background: This study investigated the diagnostic efficacy of multi-slice spiral computed tomography (MSCT) perfusion imaging in evaluating peripancreatic infection in elderly patients with severe acute pancreatitis (SAP).

Methods: A retrospective analysis was conducted on the clinical data of 110 elderly SAP patients treated at our hospital from March 2018 to August 2019. The study correlated MSCT perfusion imaging characteristics with peripancreatic infection in elderly SAP patients. Additionally, receiver operating characteristic (ROC) curves were constructed to assess the diagnostic performance of MSCT perfusion imaging parameters in evaluating peripancreatic infection in elderly SAP patients.

Results: The results indicated that among all 110 elderly SAP patients, the incidence rate of peripancreatic infection was 20.91%, with a mortality rate of 0.91%. MSCT perfusion imaging revealed that after peripancreatic infection in elderly SAP patients, there was a decrease in pancreatic density, local enlargement of the pancreas, blurring of the pancreatic margins, and associated ascites. Compression/narrowing/occlusion of the splenic vein was observed in 22 patients, compression/narrowing/occlusion of the superior mesenteric vein in 17 patients, thickening/thrombosis of the portal vein in 19 patients, and collateral circulation in 21 patients. Compared to elderly SAP patients without peripancreatic infection, those with the infection showed prolonged peak times, reduced peak heights, and decreased blood flow. ROC analysis indicated that the combination of the three parameters (peak time, peak height, and blood flow) had higher specificity and area under the curve (AUC) than single parameters, with no significant difference in sensitivity between the combination and single parameters.

Conclusions: In conclusion, combining the three key MSCT perfusion imaging parameters (peak time, peak height, and blood flow) can significantly enhance the predictive efficacy for the risk of peripancreatic infection in elderly SAP patients.

Abstract Image

Abstract Image

Abstract Image

多切片计算机断层扫描对老年重症急性胰腺炎患者胰周感染诊断价值的综合研究
背景:本研究探讨了多层螺旋计算机断层扫描(MSCT)灌注成像在评估老年重症急性胰腺炎(SAP)患者胰周感染中的诊断效果:对我院2018年3月至2019年8月收治的110例老年SAP患者的临床资料进行回顾性分析。该研究将MSCT灌注成像特征与老年SAP患者胰周感染相关联。此外,研究还构建了接收者操作特征曲线(ROC),以评估MSCT灌注成像参数在评估老年SAP患者胰周感染中的诊断性能:结果显示,在所有110例老年SAP患者中,胰周感染的发生率为20.91%,死亡率为0.91%。MSCT 灌注成像显示,老年 SAP 患者胰腺周围感染后,胰腺密度下降,胰腺局部肿大,胰腺边缘模糊,并伴有腹水。在 22 例患者中观察到脾静脉受压/狭窄/闭塞,在 17 例患者中观察到肠系膜上静脉受压/狭窄/闭塞,在 19 例患者中观察到门静脉增粗/血栓形成,在 21 例患者中观察到侧支循环。与未患胰周感染的 SAP 老年患者相比,患胰周感染的患者表现出峰值时间延长、峰值高度降低和血流量减少。ROC分析表明,与单一参数相比,三个参数(峰时、峰高和血流)的组合具有更高的特异性和曲线下面积(AUC),而组合参数与单一参数的敏感性没有显著差异:总之,将 MSCT 的三个关键灌注成像参数(峰值时间、峰值高度和血流量)结合起来,可显著提高对老年 SAP 患者胰周感染风险的预测效果。
本文章由计算机程序翻译,如有差异,请以英文原文为准。
求助全文
约1分钟内获得全文 求助全文
来源期刊
Gastroenterology Research
Gastroenterology Research GASTROENTEROLOGY & HEPATOLOGY-
自引率
0.00%
发文量
35
×
引用
GB/T 7714-2015
复制
MLA
复制
APA
复制
导出至
BibTeX EndNote RefMan NoteFirst NoteExpress
×
提示
您的信息不完整,为了账户安全,请先补充。
现在去补充
×
提示
您因"违规操作"
具体请查看互助需知
我知道了
×
提示
确定
请完成安全验证×
copy
已复制链接
快去分享给好友吧!
我知道了
右上角分享
点击右上角分享
0
联系我们:info@booksci.cn Book学术提供免费学术资源搜索服务,方便国内外学者检索中英文文献。致力于提供最便捷和优质的服务体验。 Copyright © 2023 布克学术 All rights reserved.
京ICP备2023020795号-1
ghs 京公网安备 11010802042870号
Book学术文献互助
Book学术文献互助群
群 号:604180095
Book学术官方微信