A Case Report of Roundworms Causing Intestinal Obstruction in a Child.

IF 0.5 Q4 SURGERY
Case Reports in Surgery Pub Date : 2024-04-27 eCollection Date: 2024-01-01 DOI:10.1155/2024/6640941
Tushar Krishnaraju, Suvendu Sekhar Jena, Amitabh Yadav, Samiran Nundy
{"title":"A Case Report of Roundworms Causing Intestinal Obstruction in a Child.","authors":"Tushar Krishnaraju, Suvendu Sekhar Jena, Amitabh Yadav, Samiran Nundy","doi":"10.1155/2024/6640941","DOIUrl":null,"url":null,"abstract":"<p><p><i>Background</i>. Soil-transmitted helminth (STH) infections are a common global health issue that affects underprivileged communities without adequate access to clean drinking water, sanitation, and hygiene. <i>Ascaris lumbricoides</i> is the main species that infects humans. Among varied presentations, intestinal obstruction is common among children. Early detection of intestinal obstruction due to STH is critical to prevent severe complications. Here, we present the case of a 10-year-old child with acute intestinal obstruction due to roundworms. <i>Case Report</i>. A 10-year-old boy presented to the emergency department with recurrent abdominal pain, distention, and vomiting for three months with signs of peritonitis on examination. CT scan of the abdomen revealed roundworms in the distal ileum and a cocoon formed by adhesions of small bowel loops. Intraoperatively, worm balls were found in the proximal jejunum and ileum, causing small bowel obstruction, and a diseased segment of ileum had to be resected. The worms were removed, and an ileostomy was created. The patient was treated with albendazole and intravenous antibiotics such as ceftriaxone and metronidazole. An early closure of ileostomy was performed after 20 days. Histopathology showed roundworm eggs in the appendix and small bowel mucosa. <i>Discussion</i>. <i>Ascaris lumbricoides</i> infestation is a common cause of intestinal obstruction in children, and early detection is critical for avoiding severe complications. Prompt and appropriate treatment with antihelminthics and antibiotics is necessary to achieve a good outcome. In rare cases, surgical intervention may be required to treat intestinal obstruction caused by STH infections. In conclusion, the prevalence of STH infections highlights the need for public health interventions, such as improving access to clean water, sanitation, and hygiene, and for early detection and treatment to prevent severe complications such as intestinal obstruction.</p>","PeriodicalId":9600,"journal":{"name":"Case Reports in Surgery","volume":"2024 ","pages":"6640941"},"PeriodicalIF":0.5000,"publicationDate":"2024-04-27","publicationTypes":"Journal Article","fieldsOfStudy":null,"isOpenAccess":false,"openAccessPdf":"https://www.ncbi.nlm.nih.gov/pmc/articles/PMC11074860/pdf/","citationCount":"0","resultStr":null,"platform":"Semanticscholar","paperid":null,"PeriodicalName":"Case Reports in Surgery","FirstCategoryId":"1085","ListUrlMain":"https://doi.org/10.1155/2024/6640941","RegionNum":0,"RegionCategory":null,"ArticlePicture":[],"TitleCN":null,"AbstractTextCN":null,"PMCID":null,"EPubDate":"2024/1/1 0:00:00","PubModel":"eCollection","JCR":"Q4","JCRName":"SURGERY","Score":null,"Total":0}
引用次数: 0

Abstract

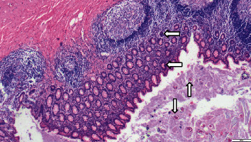
Background. Soil-transmitted helminth (STH) infections are a common global health issue that affects underprivileged communities without adequate access to clean drinking water, sanitation, and hygiene. Ascaris lumbricoides is the main species that infects humans. Among varied presentations, intestinal obstruction is common among children. Early detection of intestinal obstruction due to STH is critical to prevent severe complications. Here, we present the case of a 10-year-old child with acute intestinal obstruction due to roundworms. Case Report. A 10-year-old boy presented to the emergency department with recurrent abdominal pain, distention, and vomiting for three months with signs of peritonitis on examination. CT scan of the abdomen revealed roundworms in the distal ileum and a cocoon formed by adhesions of small bowel loops. Intraoperatively, worm balls were found in the proximal jejunum and ileum, causing small bowel obstruction, and a diseased segment of ileum had to be resected. The worms were removed, and an ileostomy was created. The patient was treated with albendazole and intravenous antibiotics such as ceftriaxone and metronidazole. An early closure of ileostomy was performed after 20 days. Histopathology showed roundworm eggs in the appendix and small bowel mucosa. Discussion. Ascaris lumbricoides infestation is a common cause of intestinal obstruction in children, and early detection is critical for avoiding severe complications. Prompt and appropriate treatment with antihelminthics and antibiotics is necessary to achieve a good outcome. In rare cases, surgical intervention may be required to treat intestinal obstruction caused by STH infections. In conclusion, the prevalence of STH infections highlights the need for public health interventions, such as improving access to clean water, sanitation, and hygiene, and for early detection and treatment to prevent severe complications such as intestinal obstruction.

Abstract Image

Abstract Image

Abstract Image

蛔虫导致儿童肠梗阻的病例报告
背景。土壤传播蠕虫(STH)感染是一个常见的全球性健康问题,影响着那些无法充分获得清洁饮用水、环境卫生和个人卫生的贫困社区。蛔虫是感染人类的主要虫种。在各种表现形式中,肠梗阻常见于儿童。及早发现 STH 引起的肠梗阻对预防严重并发症至关重要。在此,我们介绍一例因蛔虫导致急性肠梗阻的 10 岁儿童病例。病例报告。一名 10 岁男孩因反复腹痛、腹胀和呕吐 3 个月,检查时发现腹膜炎体征而到急诊科就诊。腹部 CT 扫描显示回肠远端有蛔虫,小肠襻粘连形成蚕茧。术中在近端空肠和回肠发现了虫球,导致小肠梗阻,不得不切除一段病变回肠。切除了虫体,并进行了回肠造口术。患者接受了阿苯达唑以及头孢曲松和甲硝唑等抗生素的静脉注射治疗。20 天后,患者的回肠造口被提前关闭。组织病理学检查显示阑尾和小肠粘膜中有蛔虫卵。讨论蛔虫感染是导致儿童肠梗阻的常见原因,早期发现对于避免严重并发症至关重要。为了取得良好的治疗效果,必须及时使用抗蠕虫药和抗生素进行适当治疗。在极少数情况下,可能需要进行手术干预,以治疗由 STH 感染引起的肠梗阻。总之,性传播疾病的流行凸显了公共卫生干预的必要性,如改善清洁水、环境卫生和个人卫生,以及早期发现和治疗以预防肠梗阻等严重并发症。
本文章由计算机程序翻译,如有差异,请以英文原文为准。
求助全文
约1分钟内获得全文 求助全文
来源期刊
自引率
0.00%
发文量
60
审稿时长
13 weeks
×
引用
GB/T 7714-2015
复制
MLA
复制
APA
复制
导出至
BibTeX EndNote RefMan NoteFirst NoteExpress
×
提示
您的信息不完整,为了账户安全,请先补充。
现在去补充
×
提示
您因"违规操作"
具体请查看互助需知
我知道了
×
提示
确定
请完成安全验证×
copy
已复制链接
快去分享给好友吧!
我知道了
右上角分享
点击右上角分享
0
联系我们:info@booksci.cn Book学术提供免费学术资源搜索服务,方便国内外学者检索中英文文献。致力于提供最便捷和优质的服务体验。 Copyright © 2023 布克学术 All rights reserved.
京ICP备2023020795号-1
ghs 京公网安备 11010802042870号
Book学术文献互助
Book学术文献互助群
群 号:604180095
Book学术官方微信