Lessons from autopsy: Topographical variability of atherosclerosis plaques.

IF 1.8 Q3 PUBLIC, ENVIRONMENTAL & OCCUPATIONAL HEALTH
Journal of Public Health Research Pub Date : 2024-05-01 eCollection Date: 2024-04-01 DOI:10.1177/22799036241249659
Gavino Faa, Riccardo Cau, Alberto Ravarino, Andrea Canino, Peter Van Eyken, Matteo Fraschini, Jasjit S Suri, Luca Saba
{"title":"Lessons from autopsy: Topographical variability of atherosclerosis plaques.","authors":"Gavino Faa, Riccardo Cau, Alberto Ravarino, Andrea Canino, Peter Van Eyken, Matteo Fraschini, Jasjit S Suri, Luca Saba","doi":"10.1177/22799036241249659","DOIUrl":null,"url":null,"abstract":"<p><p>Atherosclerosis is a complex disease characterized by the accumulation of plaques in arterial walls. Understanding its pathogenesis remains incomplete, with factors like inflammation, oxidative stress, and hypertension playing critical roles. The disease exhibits preferential localization of plaques, with variability observed even within the same individual. Genetic, environmental, and lifestyle factors contribute to its heterogeneity. Histological plaque phenotypes vary widely, prompting classification schemes focusing on systemic and local factors deteriorating fibrous caps. Recent research highlights differences in plaque histology among arterial systems, suggesting unique pathophysiological mechanisms. This study reports on multiple atherosclerotic plaques detected at autopsy in various vascular sites of a single subject, emphasizing their histological diversity and underscoring the systemic nature of atherosclerosis.</p>","PeriodicalId":45958,"journal":{"name":"Journal of Public Health Research","volume":"13 2","pages":"22799036241249659"},"PeriodicalIF":1.8000,"publicationDate":"2024-05-01","publicationTypes":"Journal Article","fieldsOfStudy":null,"isOpenAccess":false,"openAccessPdf":"https://www.ncbi.nlm.nih.gov/pmc/articles/PMC11062232/pdf/","citationCount":"0","resultStr":null,"platform":"Semanticscholar","paperid":null,"PeriodicalName":"Journal of Public Health Research","FirstCategoryId":"1085","ListUrlMain":"https://doi.org/10.1177/22799036241249659","RegionNum":0,"RegionCategory":null,"ArticlePicture":[],"TitleCN":null,"AbstractTextCN":null,"PMCID":null,"EPubDate":"2024/4/1 0:00:00","PubModel":"eCollection","JCR":"Q3","JCRName":"PUBLIC, ENVIRONMENTAL & OCCUPATIONAL HEALTH","Score":null,"Total":0}
引用次数: 0

Abstract

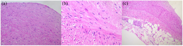
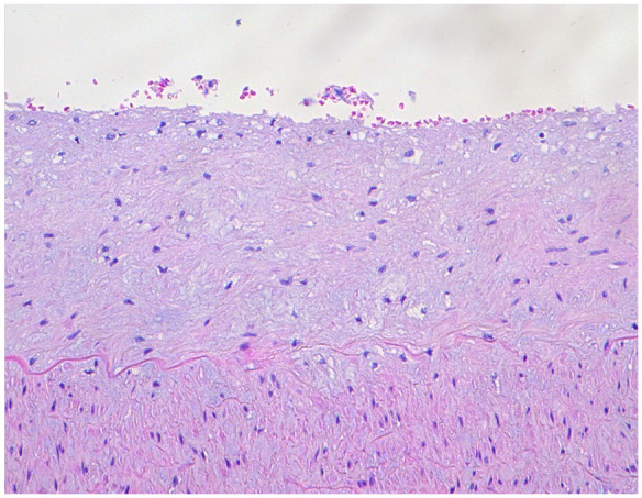
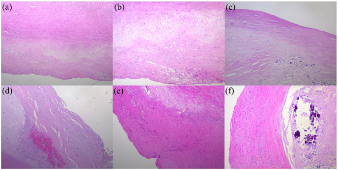
Atherosclerosis is a complex disease characterized by the accumulation of plaques in arterial walls. Understanding its pathogenesis remains incomplete, with factors like inflammation, oxidative stress, and hypertension playing critical roles. The disease exhibits preferential localization of plaques, with variability observed even within the same individual. Genetic, environmental, and lifestyle factors contribute to its heterogeneity. Histological plaque phenotypes vary widely, prompting classification schemes focusing on systemic and local factors deteriorating fibrous caps. Recent research highlights differences in plaque histology among arterial systems, suggesting unique pathophysiological mechanisms. This study reports on multiple atherosclerotic plaques detected at autopsy in various vascular sites of a single subject, emphasizing their histological diversity and underscoring the systemic nature of atherosclerosis.

Abstract Image

Abstract Image

Abstract Image

尸检的启示:动脉粥样硬化斑块的地形变化。
动脉粥样硬化是一种复杂的疾病,其特点是斑块在动脉壁上堆积。由于炎症、氧化应激和高血压等因素起着关键作用,人们对其发病机制的了解仍不全面。这种疾病表现出斑块的优先定位,即使在同一个人身上也能观察到差异。遗传、环境和生活方式等因素导致了该病的异质性。组织学上的斑块表型差异很大,这促使分类方案侧重于恶化纤维帽的全身和局部因素。最近的研究强调了不同动脉系统斑块组织学的差异,提示了独特的病理生理机制。本研究报告了一名受试者尸检时在不同血管部位发现的多个动脉粥样硬化斑块,强调了斑块组织学的多样性,并强调了动脉粥样硬化的系统性。
本文章由计算机程序翻译,如有差异,请以英文原文为准。
求助全文
约1分钟内获得全文 求助全文
来源期刊
Journal of Public Health Research
Journal of Public Health Research PUBLIC, ENVIRONMENTAL & OCCUPATIONAL HEALTH-
CiteScore
3.70
自引率
4.30%
发文量
116
审稿时长
10 weeks
期刊介绍: The Journal of Public Health Research (JPHR) is an online Open Access, peer-reviewed journal in the field of public health science. The aim of the journal is to stimulate debate and dissemination of knowledge in the public health field in order to improve efficacy, effectiveness and efficiency of public health interventions to improve health outcomes of populations. This aim can only be achieved by adopting a global and multidisciplinary approach. The Journal of Public Health Research publishes contributions from both the “traditional'' disciplines of public health, including hygiene, epidemiology, health education, environmental health, occupational health, health policy, hospital management, health economics, law and ethics as well as from the area of new health care fields including social science, communication science, eHealth and mHealth philosophy, health technology assessment, genetics research implications, population-mental health, gender and disparity issues, global and migration-related themes. In support of this approach, JPHR strongly encourages the use of real multidisciplinary approaches and analyses in the manuscripts submitted to the journal. In addition to Original research, Systematic Review, Meta-analysis, Meta-synthesis and Perspectives and Debate articles, JPHR publishes newsworthy Brief Reports, Letters and Study Protocols related to public health and public health management activities.
×
引用
GB/T 7714-2015
复制
MLA
复制
APA
复制
导出至
BibTeX EndNote RefMan NoteFirst NoteExpress
×
提示
您的信息不完整,为了账户安全,请先补充。
现在去补充
×
提示
您因"违规操作"
具体请查看互助需知
我知道了
×
提示
确定
请完成安全验证×
copy
已复制链接
快去分享给好友吧!
我知道了
右上角分享
点击右上角分享
0
联系我们:info@booksci.cn Book学术提供免费学术资源搜索服务,方便国内外学者检索中英文文献。致力于提供最便捷和优质的服务体验。 Copyright © 2023 布克学术 All rights reserved.
京ICP备2023020795号-1
ghs 京公网安备 11010802042870号
Book学术文献互助
Book学术文献互助群
群 号:604180095
Book学术官方微信