Effect of vitamin D3 and a stinging nettle extract on the gastric tissue of rats administered with trinitrobenzene sulfonic acid.

IF 0.8 4区 农林科学 Q3 VETERINARY SCIENCES
Veterinarni Medicina Pub Date : 2024-03-28 eCollection Date: 2024-03-01 DOI:10.17221/111/2023-VETMED
Arzu Gezer, Sukran Yediel Aras, Nurcan Kilic Baygutalp, Ebru Karadag Sari, Gursel Bedir, Behzad Mokhtare, Kadriye Yilmaz
{"title":"Effect of vitamin D<sub>3</sub> and a stinging nettle extract on the gastric tissue of rats administered with trinitrobenzene sulfonic acid.","authors":"Arzu Gezer, Sukran Yediel Aras, Nurcan Kilic Baygutalp, Ebru Karadag Sari, Gursel Bedir, Behzad Mokhtare, Kadriye Yilmaz","doi":"10.17221/111/2023-VETMED","DOIUrl":null,"url":null,"abstract":"<p><p>In this study, the effects of vitamin D<sub>3</sub> (Vit. D) and a stinging nettle [<i>Urtica dioica</i> L. (UD)] extract were examined using histopathological and immunohistochemical methods in the stomach tissues of an experimentally created rat model of Crohn's disease (CD). The CD model was created using trinitrobenzene sulfonic acid (TNBS). The animals in the study were divided into control, TNBS, TNBS+Vit. D, and TNBS+UD groups. At the end of the experiment, the animals were euthanised and their stomach tissues were evaluated for necrosis, degeneration, apoptosis, and inflammation. Additionally, an immunohistochemical method was applied to determine the somatostatin (SSTR), aquaporin-1 (AQP-1), caspase-3, and tumour necrosis factor-alpha (TNF-α) immunoreactivity in the gastric tissues. In the evaluations, degenerative and necrotic changes and mononuclear cell infiltration areas were observed in the TNBS group, but such changes could be improved with Vit. D and UD applications. The results suggest that the combination of the Vit. D and UD extract may have a protective and therapeutic role in mitigating TNBS-induced damage to the gastric tissues, potentially through the regulation of SSTR, AQP-1, caspase-3, and TNF-α expression. This indicates a promising avenue for further research and the exploration of these compounds in the context of gastrointestinal health.</p>","PeriodicalId":23532,"journal":{"name":"Veterinarni Medicina","volume":"69 3","pages":"84-93"},"PeriodicalIF":0.8000,"publicationDate":"2024-03-28","publicationTypes":"Journal Article","fieldsOfStudy":null,"isOpenAccess":false,"openAccessPdf":"https://www.ncbi.nlm.nih.gov/pmc/articles/PMC11016305/pdf/","citationCount":"0","resultStr":null,"platform":"Semanticscholar","paperid":null,"PeriodicalName":"Veterinarni Medicina","FirstCategoryId":"97","ListUrlMain":"https://doi.org/10.17221/111/2023-VETMED","RegionNum":4,"RegionCategory":"农林科学","ArticlePicture":[],"TitleCN":null,"AbstractTextCN":null,"PMCID":null,"EPubDate":"2024/3/1 0:00:00","PubModel":"eCollection","JCR":"Q3","JCRName":"VETERINARY SCIENCES","Score":null,"Total":0}
引用次数: 0

Abstract

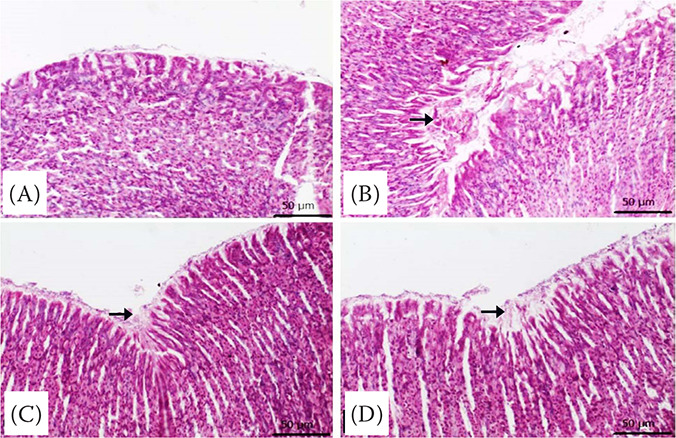
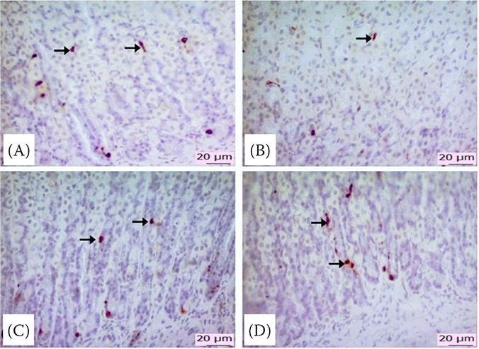
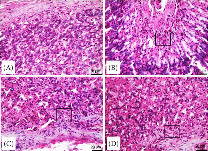
In this study, the effects of vitamin D3 (Vit. D) and a stinging nettle [Urtica dioica L. (UD)] extract were examined using histopathological and immunohistochemical methods in the stomach tissues of an experimentally created rat model of Crohn's disease (CD). The CD model was created using trinitrobenzene sulfonic acid (TNBS). The animals in the study were divided into control, TNBS, TNBS+Vit. D, and TNBS+UD groups. At the end of the experiment, the animals were euthanised and their stomach tissues were evaluated for necrosis, degeneration, apoptosis, and inflammation. Additionally, an immunohistochemical method was applied to determine the somatostatin (SSTR), aquaporin-1 (AQP-1), caspase-3, and tumour necrosis factor-alpha (TNF-α) immunoreactivity in the gastric tissues. In the evaluations, degenerative and necrotic changes and mononuclear cell infiltration areas were observed in the TNBS group, but such changes could be improved with Vit. D and UD applications. The results suggest that the combination of the Vit. D and UD extract may have a protective and therapeutic role in mitigating TNBS-induced damage to the gastric tissues, potentially through the regulation of SSTR, AQP-1, caspase-3, and TNF-α expression. This indicates a promising avenue for further research and the exploration of these compounds in the context of gastrointestinal health.

Abstract Image

Abstract Image

Abstract Image

维生素 D3 和荨麻提取物对服用三硝基苯磺酸的大鼠胃组织的影响
本研究采用组织病理学和免疫组化方法,对克罗恩病(CD)实验模型大鼠的胃组织中维生素 D3(Vit.D)和荨麻提取物(Urtica dioica L. (UD))的作用进行了研究。克罗恩病模型是用三硝基苯磺酸(TNBS)制作的。研究动物分为对照组、TNBS 组、TNBS+维生素 D 组和 TNBS+UD 组。实验结束后,动物被安乐死,并对其胃组织的坏死、变性、凋亡和炎症进行评估。此外,还采用免疫组化方法测定胃组织中的体生长抑素(SSTR)、水光素-1(AQP-1)、Caspase-3 和肿瘤坏死因子-α(TNF-α)免疫反应。在评估中,TNBS 组观察到了变性和坏死的变化以及单核细胞浸润区,但应用维生素 D 和 UD 可改善这些变化。结果表明,维生素 D 和 UD 提取物的组合可能通过调节 SSTR、AQP-1、caspase-3 和 TNF-α 的表达,对减轻 TNBS 引起的胃组织损伤具有保护和治疗作用。这为进一步研究和探索这些化合物在胃肠道健康方面的作用指明了前景广阔的道路。
本文章由计算机程序翻译,如有差异,请以英文原文为准。
求助全文
约1分钟内获得全文 求助全文
来源期刊
Veterinarni Medicina
Veterinarni Medicina Veterinary Sciences-兽医学
CiteScore
1.30
自引率
0.00%
发文量
62
审稿时长
18-36 weeks
期刊介绍: The journal Veterinarni Medicina publishes in English original papers, short communications, critical reviews and case reports from all fields of veterinary and biomedical sciences.
×
引用
GB/T 7714-2015
复制
MLA
复制
APA
复制
导出至
BibTeX EndNote RefMan NoteFirst NoteExpress
×
提示
您的信息不完整,为了账户安全,请先补充。
现在去补充
×
提示
您因"违规操作"
具体请查看互助需知
我知道了
×
提示
确定
请完成安全验证×
copy
已复制链接
快去分享给好友吧!
我知道了
右上角分享
点击右上角分享
0
联系我们:info@booksci.cn Book学术提供免费学术资源搜索服务,方便国内外学者检索中英文文献。致力于提供最便捷和优质的服务体验。 Copyright © 2023 布克学术 All rights reserved.
京ICP备2023020795号-1
ghs 京公网安备 11010802042870号
Book学术文献互助
Book学术文献互助群
群 号:604180095
Book学术官方微信