Giant hepatic hemangioma in a patient with cirrhosis: challenging to manage.

Q4 Medicine
Autopsy and Case Reports Pub Date : 2024-04-04 eCollection Date: 2024-01-01 DOI:10.4322/acr.2024.485
Marlone Cunha-Silva, Clauber Teles Veiga, Larissa Bastos Eloy da Costa, Simone Reges Perales, Amanda Avesani Cavotto Furlan, Elaine Cristina de Ataíde, Ilka de Fátima Santana Ferreira Boin, Tiago Sevá-Pereira
{"title":"Giant hepatic hemangioma in a patient with cirrhosis: challenging to manage.","authors":"Marlone Cunha-Silva, Clauber Teles Veiga, Larissa Bastos Eloy da Costa, Simone Reges Perales, Amanda Avesani Cavotto Furlan, Elaine Cristina de Ataíde, Ilka de Fátima Santana Ferreira Boin, Tiago Sevá-Pereira","doi":"10.4322/acr.2024.485","DOIUrl":null,"url":null,"abstract":"<p><p>Giant hepatic hemangiomas are occasional in patients with cirrhosis. It remains a challenge to decide on the need for treatment and choose the most appropriate intervention. A 62-year-old woman was recently diagnosed with cirrhosis and complained of upper abdominal fullness, reduction in oral food intake, and weight loss of 6 kg over the last three years. Upper digestive endoscopy evidenced thin-caliber esophageal varices and significant extrinsic compression of the lesser gastric curvature. Abdominal computed tomography revealed an exophytic tumor in the left hepatic lobe, measuring 11.5 cm, which had progressive centripetal contrast enhancement from the arterial phase, compatible with hepatic hemangioma. Serum tumor markers were negative, and her liver function was unimpaired. The patient underwent surgical resection (non-anatomical hepatectomy of segments II and III) which had no immediate complications, and the histopathological evaluation confirmed cavernous hepatic hemangioma. Two weeks later, she was admitted to the emergency room with jaundice, signs of hepatic encephalopathy, and moderate ascites, and was further diagnosed with secondary bacterial peritonitis. As no perforations, abscesses, or fistulas were observed on subsequent imaging tests, clinical management was successfully carried out. This case highlights that giant hepatic hemangiomas may be symptomatic and warrant treatment. In the setting of cirrhosis and portal hypertension, physicians should be aware of the risk of hepatic decompensation following surgical resection, even in patients with Child-Pugh class A.</p>","PeriodicalId":53117,"journal":{"name":"Autopsy and Case Reports","volume":"14 ","pages":"e2024485"},"PeriodicalIF":0.0000,"publicationDate":"2024-04-04","publicationTypes":"Journal Article","fieldsOfStudy":null,"isOpenAccess":false,"openAccessPdf":"https://www.ncbi.nlm.nih.gov/pmc/articles/PMC11021024/pdf/","citationCount":"0","resultStr":null,"platform":"Semanticscholar","paperid":null,"PeriodicalName":"Autopsy and Case Reports","FirstCategoryId":"1085","ListUrlMain":"https://doi.org/10.4322/acr.2024.485","RegionNum":0,"RegionCategory":null,"ArticlePicture":[],"TitleCN":null,"AbstractTextCN":null,"PMCID":null,"EPubDate":"2024/1/1 0:00:00","PubModel":"eCollection","JCR":"Q4","JCRName":"Medicine","Score":null,"Total":0}
引用次数: 0

Abstract

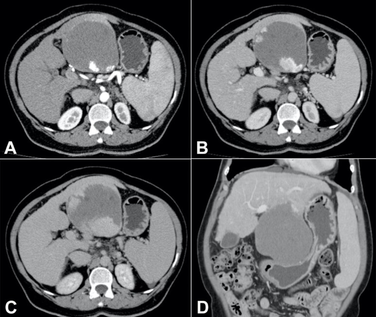
Giant hepatic hemangiomas are occasional in patients with cirrhosis. It remains a challenge to decide on the need for treatment and choose the most appropriate intervention. A 62-year-old woman was recently diagnosed with cirrhosis and complained of upper abdominal fullness, reduction in oral food intake, and weight loss of 6 kg over the last three years. Upper digestive endoscopy evidenced thin-caliber esophageal varices and significant extrinsic compression of the lesser gastric curvature. Abdominal computed tomography revealed an exophytic tumor in the left hepatic lobe, measuring 11.5 cm, which had progressive centripetal contrast enhancement from the arterial phase, compatible with hepatic hemangioma. Serum tumor markers were negative, and her liver function was unimpaired. The patient underwent surgical resection (non-anatomical hepatectomy of segments II and III) which had no immediate complications, and the histopathological evaluation confirmed cavernous hepatic hemangioma. Two weeks later, she was admitted to the emergency room with jaundice, signs of hepatic encephalopathy, and moderate ascites, and was further diagnosed with secondary bacterial peritonitis. As no perforations, abscesses, or fistulas were observed on subsequent imaging tests, clinical management was successfully carried out. This case highlights that giant hepatic hemangiomas may be symptomatic and warrant treatment. In the setting of cirrhosis and portal hypertension, physicians should be aware of the risk of hepatic decompensation following surgical resection, even in patients with Child-Pugh class A.

Abstract Image

Abstract Image

肝硬化患者的巨大肝血管瘤:处理难度大。
肝硬化患者偶尔会出现巨大肝血管瘤。如何确定是否需要治疗并选择最合适的干预措施仍然是一项挑战。一名 62 岁的妇女最近被诊断为肝硬化,主诉上腹部饱胀,口服食物摄入量减少,体重在过去三年中下降了 6 公斤。上消化道内镜检查显示她患有细口径食管静脉曲张,胃小弯受到严重的外源性压迫。腹部计算机断层扫描显示左肝叶有一个外生肿瘤,大小为11.5厘米,动脉期造影剂进行性向心增强,与肝血管瘤相符。血清肿瘤标志物呈阴性,肝功能无损害。患者接受了手术切除(第 II 段和第 III 段非解剖性肝切除术),术后未出现即刻并发症,组织病理学评估证实为海绵状肝血管瘤。两周后,她因黄疸、肝性脑病症状和中度腹水被送入急诊室,进一步诊断为继发性细菌性腹膜炎。由于随后的影像学检查未发现穿孔、脓肿或瘘管,临床治疗得以顺利进行。本病例强调,巨大肝血管瘤可能会出现症状,需要进行治疗。在肝硬化和门静脉高压的情况下,医生应注意手术切除后肝功能失代偿的风险,即使是 Child-Pugh 分级为 A 的患者也不例外。
本文章由计算机程序翻译,如有差异,请以英文原文为准。
求助全文
约1分钟内获得全文 求助全文
来源期刊
Autopsy and Case Reports
Autopsy and Case Reports Medicine-Internal Medicine
CiteScore
1.20
自引率
0.00%
发文量
60
审稿时长
9 weeks
×
引用
GB/T 7714-2015
复制
MLA
复制
APA
复制
导出至
BibTeX EndNote RefMan NoteFirst NoteExpress
×
提示
您的信息不完整,为了账户安全,请先补充。
现在去补充
×
提示
您因"违规操作"
具体请查看互助需知
我知道了
×
提示
确定
请完成安全验证×
copy
已复制链接
快去分享给好友吧!
我知道了
右上角分享
点击右上角分享
0
联系我们:info@booksci.cn Book学术提供免费学术资源搜索服务,方便国内外学者检索中英文文献。致力于提供最便捷和优质的服务体验。 Copyright © 2023 布克学术 All rights reserved.
京ICP备2023020795号-1
ghs 京公网安备 11010802042870号
Book学术文献互助
Book学术文献互助群
群 号:604180095
Book学术官方微信