Comparative evaluation of the effect of impregnated retraction cord versus laser on gingival attachment level and pain perception following retraction for subgingival margins - A prospective, split-mouth, controlled, clinical study.

IF 1 Q3 DENTISTRY, ORAL SURGERY & MEDICINE
Vipul Diwan, Manish R Chauhan, Jyoti Tembhurne, Arti Gangurde, Hemraj Wani, Saurabh Danane
{"title":"Comparative evaluation of the effect of impregnated retraction cord versus laser on gingival attachment level and pain perception following retraction for subgingival margins - A prospective, split-mouth, controlled, clinical study.","authors":"Vipul Diwan, Manish R Chauhan, Jyoti Tembhurne, Arti Gangurde, Hemraj Wani, Saurabh Danane","doi":"10.4103/jips.jips_437_23","DOIUrl":null,"url":null,"abstract":"<p><strong>Aim: </strong>To evaluate and compare the effect of impregnated retraction cord vs Laser on gingival attachment level and pain perception following retraction for subgingival margins.</p><p><strong>Settings and design: </strong>Many methods for achieving and measuring the amount of gingival retraction in fixed prosthodontic work have been advocated. Though the gingival attachment level is crucial in Periodontology, the literature available regarding the effect of these retraction methods on the same is scarce. Hence, this clinical study was designed to compare the pain perception and amount of gingival recession when impregnated cord and laser were used for retraction.</p><p><strong>Materials and methods: </strong>In 40 subjects (age range of 20 to 40 years) with single missing maxillary incisor, the abutments were prepared with subgingival margins, to receive a full coverage metal-ceramic fixed dental prosthesis. The gingiva was retracted on one of the abutments with impregnated retraction cord and on the other with diode laser. Gingival attachment levels were compared at six sites per abutment using superimposition of digital scans, preoperative and four weeks after cementation of final prosthesis.</p><p><strong>Statistical analysis used: </strong>Statistical analysis of the data for gingival recession was done using t-test. Pain perception was analysed with Chi-square test. Pain perception by patients following retraction was compared with VAS scale.</p><p><strong>Results: </strong>The average values of gingival recession on buccal side were 0.61 mm and 0.38 mm and on the palatal side were 0.58 mm and 0.35 mm for impregnated retraction cord and laser respectively. The P values of <0.01 indicated a highly significant difference between the two groups. Intragroup comparison did not show significant differences between various sites. Pain and discomfort produced by cord method was moderate in comparison with mild/no pain with diode laser and the difference was highly significant.Conclusion: Retraction cord produced more gingival recession than the diode laser, which was statistically highly significant on both buccal and palatal aspects of the teeth. Patients experience with diode laser technique was less painful in comparison with retraction cord method.</p>","PeriodicalId":22669,"journal":{"name":"The Journal of Indian Prosthodontic Society","volume":"24 2","pages":"136-143"},"PeriodicalIF":1.0000,"publicationDate":"2024-04-01","publicationTypes":"Journal Article","fieldsOfStudy":null,"isOpenAccess":false,"openAccessPdf":"https://www.ncbi.nlm.nih.gov/pmc/articles/PMC11129809/pdf/","citationCount":"0","resultStr":null,"platform":"Semanticscholar","paperid":null,"PeriodicalName":"The Journal of Indian Prosthodontic Society","FirstCategoryId":"1085","ListUrlMain":"https://doi.org/10.4103/jips.jips_437_23","RegionNum":0,"RegionCategory":null,"ArticlePicture":[],"TitleCN":null,"AbstractTextCN":null,"PMCID":null,"EPubDate":"2024/4/23 0:00:00","PubModel":"Epub","JCR":"Q3","JCRName":"DENTISTRY, ORAL SURGERY & MEDICINE","Score":null,"Total":0}
引用次数: 0

Abstract

Aim: To evaluate and compare the effect of impregnated retraction cord vs Laser on gingival attachment level and pain perception following retraction for subgingival margins.

Settings and design: Many methods for achieving and measuring the amount of gingival retraction in fixed prosthodontic work have been advocated. Though the gingival attachment level is crucial in Periodontology, the literature available regarding the effect of these retraction methods on the same is scarce. Hence, this clinical study was designed to compare the pain perception and amount of gingival recession when impregnated cord and laser were used for retraction.

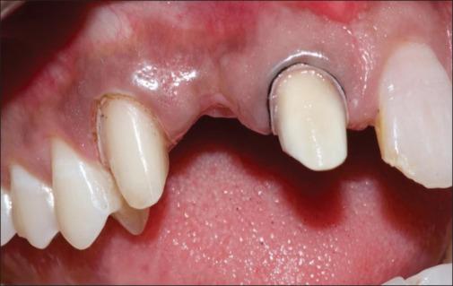
Materials and methods: In 40 subjects (age range of 20 to 40 years) with single missing maxillary incisor, the abutments were prepared with subgingival margins, to receive a full coverage metal-ceramic fixed dental prosthesis. The gingiva was retracted on one of the abutments with impregnated retraction cord and on the other with diode laser. Gingival attachment levels were compared at six sites per abutment using superimposition of digital scans, preoperative and four weeks after cementation of final prosthesis.

Statistical analysis used: Statistical analysis of the data for gingival recession was done using t-test. Pain perception was analysed with Chi-square test. Pain perception by patients following retraction was compared with VAS scale.

Results: The average values of gingival recession on buccal side were 0.61 mm and 0.38 mm and on the palatal side were 0.58 mm and 0.35 mm for impregnated retraction cord and laser respectively. The P values of <0.01 indicated a highly significant difference between the two groups. Intragroup comparison did not show significant differences between various sites. Pain and discomfort produced by cord method was moderate in comparison with mild/no pain with diode laser and the difference was highly significant.Conclusion: Retraction cord produced more gingival recession than the diode laser, which was statistically highly significant on both buccal and palatal aspects of the teeth. Patients experience with diode laser technique was less painful in comparison with retraction cord method.

Abstract Image

Abstract Image

Abstract Image

浸渍牵引绳与激光对龈下边缘牵引后牙龈附着水平和疼痛感影响的比较评估--一项前瞻性、分口对照临床研究。
目的:评估和比较浸渍牵引绳与激光对龈下边缘牵引后牙龈附着水平和疼痛感的影响:在固定义齿修复工作中,有许多实现和测量龈牵引量的方法。虽然牙龈附着水平在牙周病学中至关重要,但有关这些牵引方法对牙龈附着水平影响的文献却很少。因此,本临床研究旨在比较浸渍线和激光牵引时的疼痛感和牙龈退缩量:在 40 名单颗上颌切牙缺失的受试者(年龄在 20 岁至 40 岁之间)中,准备了龈下边缘的基台,以接受全覆盖金属陶瓷固定义齿。用浸渍过的牵引绳牵引其中一个基台的牙龈,用二极管激光牵引另一个基台的牙龈。通过术前和最终修复体粘结四周后的数字扫描叠加,比较每个基台六个部位的牙龈附着水平:牙龈退缩数据的统计分析采用 t 检验。疼痛感采用卡方检验进行分析。用 VAS 量表比较患者在牙龈退缩后的疼痛感:浸渍牵引带和激光的颊侧牙龈退缩平均值分别为 0.61 毫米和 0.38 毫米,腭侧牙龈退缩平均值分别为 0.58 毫米和 0.35 毫米。颊侧和腭侧的平均牙龈退缩量分别为 0.61 毫米和 0.38 毫米。
本文章由计算机程序翻译,如有差异,请以英文原文为准。
求助全文
约1分钟内获得全文 求助全文
来源期刊
The Journal of Indian Prosthodontic Society
The Journal of Indian Prosthodontic Society DENTISTRY, ORAL SURGERY & MEDICINE-
CiteScore
2.20
自引率
8.30%
发文量
26
审稿时长
20 weeks
×
引用
GB/T 7714-2015
复制
MLA
复制
APA
复制
导出至
BibTeX EndNote RefMan NoteFirst NoteExpress
×
提示
您的信息不完整,为了账户安全,请先补充。
现在去补充
×
提示
您因"违规操作"
具体请查看互助需知
我知道了
×
提示
确定
请完成安全验证×
copy
已复制链接
快去分享给好友吧!
我知道了
右上角分享
点击右上角分享
0
联系我们:info@booksci.cn Book学术提供免费学术资源搜索服务,方便国内外学者检索中英文文献。致力于提供最便捷和优质的服务体验。 Copyright © 2023 布克学术 All rights reserved.
京ICP备2023020795号-1
ghs 京公网安备 11010802042870号
Book学术文献互助
Book学术文献互助群
群 号:604180095
Book学术官方微信