Adjunctive bevacizumab therapy in an equine corneal stromal invasive squamous cell carcinoma with a 53-months follow-up.

IF 0.3 4区 农林科学 Q4 VETERINARY SCIENCES
Klaas-Ole Blohm, Barbara Nell
{"title":"Adjunctive bevacizumab therapy in an equine corneal stromal invasive squamous cell carcinoma with a 53-months follow-up.","authors":"Klaas-Ole Blohm, Barbara Nell","doi":"10.1055/a-2253-8103","DOIUrl":null,"url":null,"abstract":"<p><p>A 17-year-old Appaloosa mare was referred for evaluation of presumed refractory keratitis of the left eye. Gross examination revealed ocular discomfort and corneal neovascularization with a nasal focal opacification affecting approximately 40% of the corneal surface. On ophthalmic examination, extensive subepithelial to mid-stromal vascular branching accompanied by a homogeneous white, dense opacification, which affected up to 80% of the total corneal thickness, were apparent. Signs of concurrent uveitis were absent. Deep-stromal lamellar keratectomy with a conjunctival pedicle graft was performed under general anesthesia. Histopathology confirmed a poorly differentiated corneal stromal invasive squamous cell carcinoma (SI-SCC) with neoplastic cell extension to the surgical margins. Postoperatively, 4 topical mitomycin C 0.04% chemotherapy cycles combined with oral firocoxib therapy were initiated. Seven months after surgery, regrowth of the SI-SCC was clinically suspected. A total volume of 1 ml bevacizumab 2.5% was administered in the standing sedated horse via 3 mid-stromal corneal injections. Four weeks later, intrastromal bevacizumab injections (ISBIs) were repeated, however, this time the solution was injected directly into the main corneal vessel branches.Seven weeks after the second ISBIs, the left eye was comfortable and significant remission of corneal vascularization and opacity was recognized. No recurrence has been noted for a follow-up period of more than 53 months.Equine SI-SCC usually has a very poor prognosis for globe maintenance. To the authors' knowledge this is the first report of well-tolerated intrastromal antivascular endothelial growth factor adjunctive therapy with bevazicumab 2.5% and SI-SCC resolution after a multimodal treatment approach.</p>","PeriodicalId":23115,"journal":{"name":"Tieraerztliche Praxis Ausgabe Grosstiere Nutztiere","volume":"52 2","pages":"108-114"},"PeriodicalIF":0.3000,"publicationDate":"2024-04-01","publicationTypes":"Journal Article","fieldsOfStudy":null,"isOpenAccess":false,"openAccessPdf":"https://www.ncbi.nlm.nih.gov/pmc/articles/PMC11068419/pdf/","citationCount":"0","resultStr":null,"platform":"Semanticscholar","paperid":null,"PeriodicalName":"Tieraerztliche Praxis Ausgabe Grosstiere Nutztiere","FirstCategoryId":"97","ListUrlMain":"https://doi.org/10.1055/a-2253-8103","RegionNum":4,"RegionCategory":"农林科学","ArticlePicture":[],"TitleCN":null,"AbstractTextCN":null,"PMCID":null,"EPubDate":"2024/5/3 0:00:00","PubModel":"Epub","JCR":"Q4","JCRName":"VETERINARY SCIENCES","Score":null,"Total":0}
引用次数: 0

Abstract

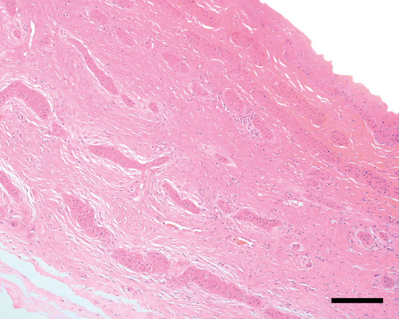
A 17-year-old Appaloosa mare was referred for evaluation of presumed refractory keratitis of the left eye. Gross examination revealed ocular discomfort and corneal neovascularization with a nasal focal opacification affecting approximately 40% of the corneal surface. On ophthalmic examination, extensive subepithelial to mid-stromal vascular branching accompanied by a homogeneous white, dense opacification, which affected up to 80% of the total corneal thickness, were apparent. Signs of concurrent uveitis were absent. Deep-stromal lamellar keratectomy with a conjunctival pedicle graft was performed under general anesthesia. Histopathology confirmed a poorly differentiated corneal stromal invasive squamous cell carcinoma (SI-SCC) with neoplastic cell extension to the surgical margins. Postoperatively, 4 topical mitomycin C 0.04% chemotherapy cycles combined with oral firocoxib therapy were initiated. Seven months after surgery, regrowth of the SI-SCC was clinically suspected. A total volume of 1 ml bevacizumab 2.5% was administered in the standing sedated horse via 3 mid-stromal corneal injections. Four weeks later, intrastromal bevacizumab injections (ISBIs) were repeated, however, this time the solution was injected directly into the main corneal vessel branches.Seven weeks after the second ISBIs, the left eye was comfortable and significant remission of corneal vascularization and opacity was recognized. No recurrence has been noted for a follow-up period of more than 53 months.Equine SI-SCC usually has a very poor prognosis for globe maintenance. To the authors' knowledge this is the first report of well-tolerated intrastromal antivascular endothelial growth factor adjunctive therapy with bevazicumab 2.5% and SI-SCC resolution after a multimodal treatment approach.

Abstract Image

Abstract Image

Abstract Image

贝伐单抗辅助治疗马角膜基质浸润性鳞状细胞癌,随访 53 个月。
一匹 17 岁的阿帕卢萨母马因左眼假定患有难治性角膜炎而被转诊评估。大体检查发现眼部不适和角膜新生血管,鼻腔灶性不透明影响了约 40% 的角膜表面。眼科检查显示,角膜上皮下至基质中层有广泛的血管分支,并伴有均匀的白色致密混浊,影响角膜总厚度的 80%。没有并发葡萄膜炎的迹象。在全身麻醉的情况下,患者接受了深基质板层角膜切除术,并进行了结膜蒂移植。组织病理学证实,患者为分化较差的角膜基质浸润性鳞状细胞癌(SI-SCC),肿瘤细胞扩展至手术边缘。术后,患者接受了 4 个 0.04% 丝裂霉素 C 局部化疗周期和口服非罗考昔布治疗。术后 7 个月,临床怀疑 SI-SCC 再次生长。在马匹站立镇静的情况下,通过 3 次角膜基质中层注射,为其注射了总量为 1 毫升的贝伐单抗 2.5%。四周后,再次进行基质内贝伐单抗注射(ISBIs),但这次是将药液直接注入主要角膜血管分支。在超过 53 个月的随访期间,没有发现复发现象。马 SI-SCC 的预后通常很差,无法维持眼球。据作者所知,这是首次报道使用贝伐单抗 2.5% 进行椎管内抗血管内皮生长因子辅助治疗效果良好,而且在采用多模式治疗方法后,SI-SCC 得到了缓解。
本文章由计算机程序翻译,如有差异,请以英文原文为准。
求助全文
约1分钟内获得全文 求助全文
来源期刊
CiteScore
0.80
自引率
0.00%
发文量
82
期刊介绍: Die Tierärztliche Praxis wendet sich mit ihren beiden Reihen als einzige veterinärmedizinische Fachzeitschrift explizit an den Großtier- bzw. Kleintierpraktiker und garantiert damit eine zielgruppengenaue Ansprache. Für den Spezialisten bietet sie Original- oder Übersichtsartikel zu neuen Therapie- und Operationsverfahren oder den Einsatz moderner bildgebender Verfahren. Der weniger spezialisierte Tierarzt oder Berufseinsteiger findet auf seinen Berufsalltag zugeschnittene praxisbezogene Beiträge in der Fortbildungsrubrik „Aus Studium und Praxis“. Mit dem hervorgehobenen „Fazit für die Praxis“ am Ende jedes Artikels verschafft sich auch der eilige Leser einen raschen Überblick über die wichtigsten Inhalte dieser modern konzipierten Fachzeitschrift mit den vielen hochwertigen, überwiegend farbigen Abbildungen. In jedem Heft ermöglicht ein ATF-anerkannter Fortbildungsartikel den Erwerb einer ATF-Stunde (Akademie für tierärztliche Fortbildung).
×
引用
GB/T 7714-2015
复制
MLA
复制
APA
复制
导出至
BibTeX EndNote RefMan NoteFirst NoteExpress
×
提示
您的信息不完整,为了账户安全,请先补充。
现在去补充
×
提示
您因"违规操作"
具体请查看互助需知
我知道了
×
提示
确定
请完成安全验证×
copy
已复制链接
快去分享给好友吧!
我知道了
右上角分享
点击右上角分享
0
联系我们:info@booksci.cn Book学术提供免费学术资源搜索服务,方便国内外学者检索中英文文献。致力于提供最便捷和优质的服务体验。 Copyright © 2023 布克学术 All rights reserved.
京ICP备2023020795号-1
ghs 京公网安备 11010802042870号
Book学术文献互助
Book学术文献互助群
群 号:604180095
Book学术官方微信