Carnitine-acylcarnitine translocase deficiency: a case report with autopsy.

Q4 Medicine
Autopsy and Case Reports Pub Date : 2024-04-04 eCollection Date: 2024-01-01 DOI:10.4322/acr.2024.483
Chennakeshava Thunga, Suvradeep Mitra, Devi Dayal, Sadhna Lal
{"title":"Carnitine-acylcarnitine translocase deficiency: a case report with autopsy.","authors":"Chennakeshava Thunga, Suvradeep Mitra, Devi Dayal, Sadhna Lal","doi":"10.4322/acr.2024.483","DOIUrl":null,"url":null,"abstract":"<p><p>Fatty acid oxidation defects are a heterogeneous group of disorders related to the mitochondrial fatty acid oxidation pathway. Carnitine acylcarnitine translocase (CACT) is an enzyme responsible for the unidirectional transport of acylcarnitine across the inner mitochondrial membrane. This enzyme plays a crucial role in the oxidation of fatty acids. The autopsy pathology of the CACT deficiency is described in only a few cases. We describe the autopsy pathology of a child with CACT deficiency dominantly in the form of microvesicular steatosis of the hepatocytes, renal proximal tubular epithelia, cardiac myocytes, and rhabdomyocytes. The diagnosis was further confirmed on whole exome sequencing with compound heterozygous variants in the exon 1 (c.82G>T, p.Gly28Cys; likely pathogenic) and exon 5 (c.535G>A, p.Asp179Asn; uncertain significance) of the <i>SLC25A20</i> gene. This case elucidates the histopathology of the liver and the detailed autopsy of a case of CACT deficiency from India.</p>","PeriodicalId":53117,"journal":{"name":"Autopsy and Case Reports","volume":"14 ","pages":"e2024483"},"PeriodicalIF":0.0000,"publicationDate":"2024-04-04","publicationTypes":"Journal Article","fieldsOfStudy":null,"isOpenAccess":false,"openAccessPdf":"https://www.ncbi.nlm.nih.gov/pmc/articles/PMC11021025/pdf/","citationCount":"0","resultStr":null,"platform":"Semanticscholar","paperid":null,"PeriodicalName":"Autopsy and Case Reports","FirstCategoryId":"1085","ListUrlMain":"https://doi.org/10.4322/acr.2024.483","RegionNum":0,"RegionCategory":null,"ArticlePicture":[],"TitleCN":null,"AbstractTextCN":null,"PMCID":null,"EPubDate":"2024/1/1 0:00:00","PubModel":"eCollection","JCR":"Q4","JCRName":"Medicine","Score":null,"Total":0}
引用次数: 0

Abstract

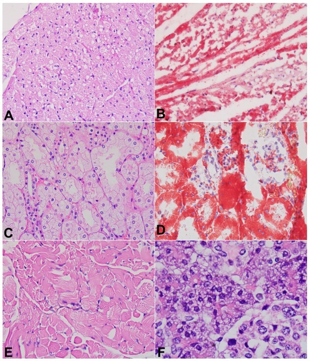
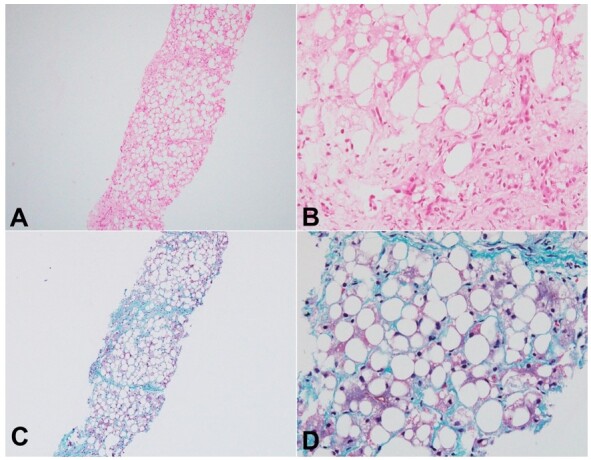
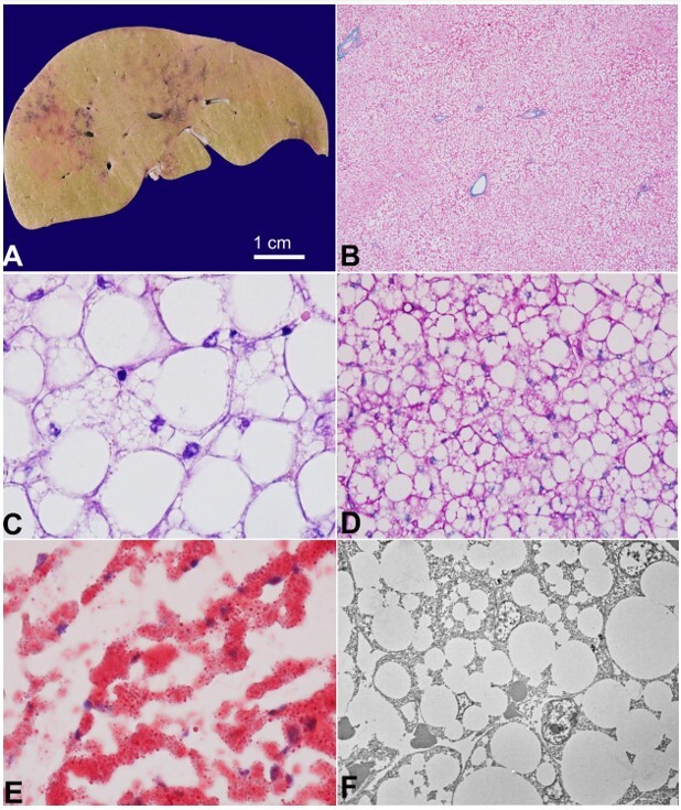
Fatty acid oxidation defects are a heterogeneous group of disorders related to the mitochondrial fatty acid oxidation pathway. Carnitine acylcarnitine translocase (CACT) is an enzyme responsible for the unidirectional transport of acylcarnitine across the inner mitochondrial membrane. This enzyme plays a crucial role in the oxidation of fatty acids. The autopsy pathology of the CACT deficiency is described in only a few cases. We describe the autopsy pathology of a child with CACT deficiency dominantly in the form of microvesicular steatosis of the hepatocytes, renal proximal tubular epithelia, cardiac myocytes, and rhabdomyocytes. The diagnosis was further confirmed on whole exome sequencing with compound heterozygous variants in the exon 1 (c.82G>T, p.Gly28Cys; likely pathogenic) and exon 5 (c.535G>A, p.Asp179Asn; uncertain significance) of the SLC25A20 gene. This case elucidates the histopathology of the liver and the detailed autopsy of a case of CACT deficiency from India.

Abstract Image

Abstract Image

Abstract Image

肉碱-酰肉碱转运酶缺乏症:一例尸检报告。
脂肪酸氧化缺陷是一组与线粒体脂肪酸氧化途径有关的异质性疾病。肉碱酰基肉碱转运酶(CACT)是一种负责将酰基肉碱单向转运至线粒体内膜的酶。这种酶在脂肪酸的氧化过程中起着至关重要的作用。只有少数病例描述了 CACT 缺乏症的尸检病理。我们描述了一名 CACT 缺乏症患儿的尸检病理,其肝细胞、肾近端肾小管上皮细胞、心肌细胞和横纹肌细胞均呈显性微囊性脂肪变性。全外显子测序进一步确诊了该病例,其SLC25A20基因第1外显子(c.82G>T,p.Gly28Cys;可能致病)和第5外显子(c.535G>A,p.Asp179Asn;意义不确定)存在复合杂合变异。本病例阐明了来自印度的一例 CACT 缺乏症患者的肝脏组织病理学和详细尸检情况。
本文章由计算机程序翻译,如有差异,请以英文原文为准。
求助全文
约1分钟内获得全文 求助全文
来源期刊
Autopsy and Case Reports
Autopsy and Case Reports Medicine-Internal Medicine
CiteScore
1.20
自引率
0.00%
发文量
60
审稿时长
9 weeks
×
引用
GB/T 7714-2015
复制
MLA
复制
APA
复制
导出至
BibTeX EndNote RefMan NoteFirst NoteExpress
×
提示
您的信息不完整,为了账户安全,请先补充。
现在去补充
×
提示
您因"违规操作"
具体请查看互助需知
我知道了
×
提示
确定
请完成安全验证×
copy
已复制链接
快去分享给好友吧!
我知道了
右上角分享
点击右上角分享
0
联系我们:info@booksci.cn Book学术提供免费学术资源搜索服务,方便国内外学者检索中英文文献。致力于提供最便捷和优质的服务体验。 Copyright © 2023 布克学术 All rights reserved.
京ICP备2023020795号-1
ghs 京公网安备 11010802042870号
Book学术文献互助
Book学术文献互助群
群 号:604180095
Book学术官方微信