Primary Tuberculosis of the Pharynx in an HIV Context: A Case Report.

IF 0.6 Q3 MEDICINE, GENERAL & INTERNAL
Clinical Medicine Insights. Case Reports Pub Date : 2024-05-05 eCollection Date: 2024-01-01 DOI:10.1177/11795476241251945
Cristian Morán-Mariños, Felix Llanos-Tejada, Renzo Villanueva-Villegas, Kanneth G Vargas-Ponce, Juan Salas-López
{"title":"Primary Tuberculosis of the Pharynx in an HIV Context: A Case Report.","authors":"Cristian Morán-Mariños, Felix Llanos-Tejada, Renzo Villanueva-Villegas, Kanneth G Vargas-Ponce, Juan Salas-López","doi":"10.1177/11795476241251945","DOIUrl":null,"url":null,"abstract":"<p><p>Pharyngeal tuberculosis without pulmonary involvement is very rare and may be confused with malignant lesions. We present a 45-year-old female patient with a history of HIV presenting with a history of cough, sore throat, and oral ulcers with chronic use of antibiotics. The evolution would indicate a probable malignant tumor, but the biopsy was consistent with Pharyngeal TB. The patient initiated anti-tuberculosis therapy and demonstrated improved conditions and remission of ulcers. In the context of HIV, this treatment could be a major contributor to the underdiagnosis of the disease and may lead to alternative diagnoses. Therefore, it is vital to consider this condition in patients who do not respond to antibiotics.</p>","PeriodicalId":10357,"journal":{"name":"Clinical Medicine Insights. Case Reports","volume":"17 ","pages":"11795476241251945"},"PeriodicalIF":0.6000,"publicationDate":"2024-05-05","publicationTypes":"Journal Article","fieldsOfStudy":null,"isOpenAccess":false,"openAccessPdf":"https://www.ncbi.nlm.nih.gov/pmc/articles/PMC11072070/pdf/","citationCount":"0","resultStr":null,"platform":"Semanticscholar","paperid":null,"PeriodicalName":"Clinical Medicine Insights. Case Reports","FirstCategoryId":"1085","ListUrlMain":"https://doi.org/10.1177/11795476241251945","RegionNum":0,"RegionCategory":null,"ArticlePicture":[],"TitleCN":null,"AbstractTextCN":null,"PMCID":null,"EPubDate":"2024/1/1 0:00:00","PubModel":"eCollection","JCR":"Q3","JCRName":"MEDICINE, GENERAL & INTERNAL","Score":null,"Total":0}
引用次数: 0

Abstract

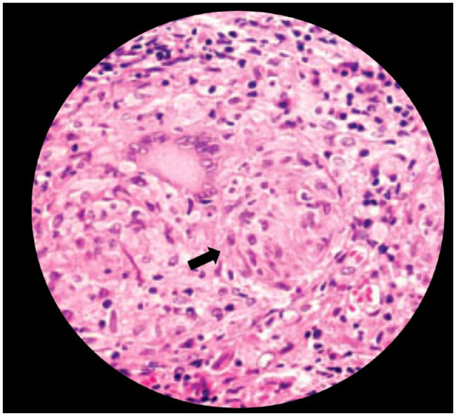
Pharyngeal tuberculosis without pulmonary involvement is very rare and may be confused with malignant lesions. We present a 45-year-old female patient with a history of HIV presenting with a history of cough, sore throat, and oral ulcers with chronic use of antibiotics. The evolution would indicate a probable malignant tumor, but the biopsy was consistent with Pharyngeal TB. The patient initiated anti-tuberculosis therapy and demonstrated improved conditions and remission of ulcers. In the context of HIV, this treatment could be a major contributor to the underdiagnosis of the disease and may lead to alternative diagnoses. Therefore, it is vital to consider this condition in patients who do not respond to antibiotics.

Abstract Image

Abstract Image

艾滋病毒背景下的原发性咽部结核病:病例报告。
无肺部受累的咽部结核非常罕见,可能与恶性病变混淆。我们为大家介绍一位 45 岁的女性患者,她有 HIV 感染史,长期使用抗生素后出现咳嗽、咽痛和口腔溃疡。其病理变化表明可能是恶性肿瘤,但活检结果却与咽结核一致。患者开始接受抗结核治疗,病情有所好转,溃疡也有所缓解。在艾滋病毒感染的情况下,这种治疗可能是导致疾病诊断不足的主要原因,并可能导致其他诊断。因此,在抗生素治疗无效的患者中考虑这种情况至关重要。
本文章由计算机程序翻译,如有差异,请以英文原文为准。
求助全文
约1分钟内获得全文 求助全文
来源期刊
Clinical Medicine Insights. Case Reports
Clinical Medicine Insights. Case Reports MEDICINE, GENERAL & INTERNAL-
CiteScore
1.10
自引率
0.00%
发文量
57
审稿时长
8 weeks
×
引用
GB/T 7714-2015
复制
MLA
复制
APA
复制
导出至
BibTeX EndNote RefMan NoteFirst NoteExpress
×
提示
您的信息不完整,为了账户安全,请先补充。
现在去补充
×
提示
您因"违规操作"
具体请查看互助需知
我知道了
×
提示
确定
请完成安全验证×
copy
已复制链接
快去分享给好友吧!
我知道了
右上角分享
点击右上角分享
0
联系我们:info@booksci.cn Book学术提供免费学术资源搜索服务,方便国内外学者检索中英文文献。致力于提供最便捷和优质的服务体验。 Copyright © 2023 布克学术 All rights reserved.
京ICP备2023020795号-1
ghs 京公网安备 11010802042870号
Book学术文献互助
Book学术文献互助群
群 号:604180095
Book学术官方微信