Osteoma of the stylohyoid chain: A rare presentation in a CBCT study.

IF 2.1 Q3 DENTISTRY, ORAL SURGERY & MEDICINE
Imaging Science in Dentistry Pub Date : 2024-03-01 Epub Date: 2024-02-06 DOI:10.5624/isd.20230222
Sai Mi Kim, Dev Patel, Ali Zakir Syed
{"title":"Osteoma of the stylohyoid chain: A rare presentation in a CBCT study.","authors":"Sai Mi Kim, Dev Patel, Ali Zakir Syed","doi":"10.5624/isd.20230222","DOIUrl":null,"url":null,"abstract":"<p><p>A 54-year-old male patient presented for a periodic check-up at the dental clinic. A panoramic radiograph showed bilateral ossification of the stylohyoid ligament with an oval radiopacity on the right side. Cone-beam computed tomography revealed a well-defined, homogenous hyperdense entity from the lower third of the ossified stylohyoid ligament on the right side. The differential diagnosis of osteoma on the stylohyoid chain includes Eagle syndrome and benign tumors of the stylohyoid chain and adjacent structures. Osteoma rarely manifests in the neck. Even more infrequent are tumors originating from the stylohyoid chain, with only a single documented case of osteoma reported in the literature in 1993. Due to the asymptomatic status, no surgical intervention was advised, and the case would be monitored periodically. This case report describes the details of an osteoma that emerged from the stylohyoid chain, marking it as the second recorded occurrence of this highly rare condition.</p>","PeriodicalId":51714,"journal":{"name":"Imaging Science in Dentistry","volume":"54 1","pages":"109-113"},"PeriodicalIF":2.1000,"publicationDate":"2024-03-01","publicationTypes":"Journal Article","fieldsOfStudy":null,"isOpenAccess":false,"openAccessPdf":"https://www.ncbi.nlm.nih.gov/pmc/articles/PMC10985526/pdf/","citationCount":"0","resultStr":null,"platform":"Semanticscholar","paperid":null,"PeriodicalName":"Imaging Science in Dentistry","FirstCategoryId":"1085","ListUrlMain":"https://doi.org/10.5624/isd.20230222","RegionNum":0,"RegionCategory":null,"ArticlePicture":[],"TitleCN":null,"AbstractTextCN":null,"PMCID":null,"EPubDate":"2024/2/6 0:00:00","PubModel":"Epub","JCR":"Q3","JCRName":"DENTISTRY, ORAL SURGERY & MEDICINE","Score":null,"Total":0}
引用次数: 0

Abstract

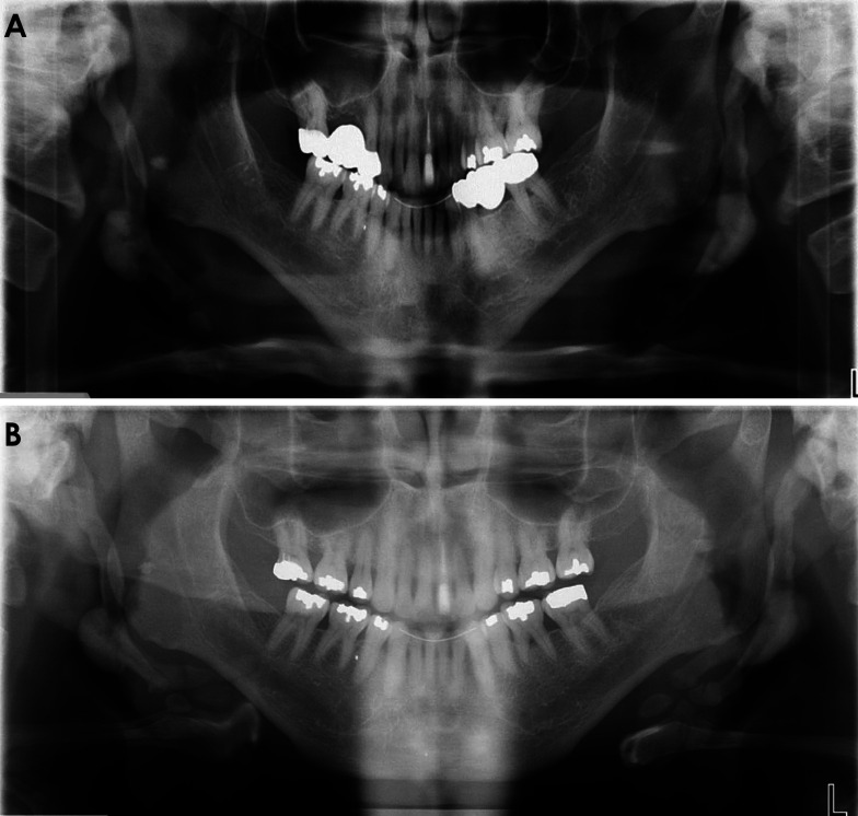
A 54-year-old male patient presented for a periodic check-up at the dental clinic. A panoramic radiograph showed bilateral ossification of the stylohyoid ligament with an oval radiopacity on the right side. Cone-beam computed tomography revealed a well-defined, homogenous hyperdense entity from the lower third of the ossified stylohyoid ligament on the right side. The differential diagnosis of osteoma on the stylohyoid chain includes Eagle syndrome and benign tumors of the stylohyoid chain and adjacent structures. Osteoma rarely manifests in the neck. Even more infrequent are tumors originating from the stylohyoid chain, with only a single documented case of osteoma reported in the literature in 1993. Due to the asymptomatic status, no surgical intervention was advised, and the case would be monitored periodically. This case report describes the details of an osteoma that emerged from the stylohyoid chain, marking it as the second recorded occurrence of this highly rare condition.

Abstract Image

Abstract Image

Abstract Image

腕骨链骨瘤:一项 CBCT 研究中的罕见病例。
一名 54 岁的男性患者到牙科诊所进行定期检查。全景X光片显示,患者双侧花柱韧带骨化,右侧出现椭圆形放射性肿块。锥形束计算机断层扫描显示,右侧骨化的 stylohyoid 韧带下三分之一处有一个轮廓清晰的同质高密度实体。腕骨链骨瘤的鉴别诊断包括伊格尔综合征和腕骨链及邻近结构的良性肿瘤。骨瘤很少出现在颈部。起源于蝶骨链的肿瘤更是少见,1993 年的文献中仅报道了一例骨瘤病例。由于患者无症状,建议不进行手术治疗,并定期对病例进行监测。本病例报告详细描述了从式骨链上长出的骨瘤,这也是有记录以来第二次出现这种极为罕见的病症。
本文章由计算机程序翻译,如有差异,请以英文原文为准。
求助全文
约1分钟内获得全文 求助全文
来源期刊
Imaging Science in Dentistry
Imaging Science in Dentistry DENTISTRY, ORAL SURGERY & MEDICINE-
CiteScore
2.90
自引率
11.10%
发文量
42
×
引用
GB/T 7714-2015
复制
MLA
复制
APA
复制
导出至
BibTeX EndNote RefMan NoteFirst NoteExpress
×
提示
您的信息不完整,为了账户安全,请先补充。
现在去补充
×
提示
您因"违规操作"
具体请查看互助需知
我知道了
×
提示
确定
请完成安全验证×
copy
已复制链接
快去分享给好友吧!
我知道了
右上角分享
点击右上角分享
0
联系我们:info@booksci.cn Book学术提供免费学术资源搜索服务,方便国内外学者检索中英文文献。致力于提供最便捷和优质的服务体验。 Copyright © 2023 布克学术 All rights reserved.
京ICP备2023020795号-1
ghs 京公网安备 11010802042870号
Book学术文献互助
Book学术文献互助群
群 号:604180095
Book学术官方微信