Hypotony and Anterior Uveitis following Dual Therapy with Nivolumab and Ipilimumab for Metastatic Melanoma: A Case Report.

IF 0.9 Q3 OPHTHALMOLOGY
Journal of Current Ophthalmology Pub Date : 2024-03-29 eCollection Date: 2023-07-01 DOI:10.4103/joco.joco_21_23
Nikhil S Patil, David Dudok, Sarit Khimdas
{"title":"Hypotony and Anterior Uveitis following Dual Therapy with Nivolumab and Ipilimumab for Metastatic Melanoma: A Case Report.","authors":"Nikhil S Patil, David Dudok, Sarit Khimdas","doi":"10.4103/joco.joco_21_23","DOIUrl":null,"url":null,"abstract":"<p><strong>Purpose: </strong>To describe a rare case of hypotony and anterior uveitis following dual therapy with nivolumab and ipilimumab for metastatic melanoma.</p><p><strong>Methods: </strong>Case report.</p><p><strong>Results: </strong>Here, we present the case of a 64-year-old man taking nivolumab and ipilimumab dual therapy for BRAF+ (v-raf murine sarcoma viral oncogene homolog B1) metastatic melanoma. After treatment for 3 months, he presented to the ophthalmology clinic with bilateral intraocular pressures of 1 mmHg, bilateral keratic precipitates, cataracts, posterior synechiae, and anterior chamber inflammation. He improved with topical medications and the cessation of immunotherapy.</p><p><strong>Conclusions: </strong>Immunotherapies are a novel class of chemotherapy that has increased in prevalence for the treatment of numerous malignancies. There are many rare complications from these medications that are sparsely reported. Knowledge of ocular hypotony as a potential consequence of nivolumab and ipilimumab is important, particularly as it may arise months after treatment initiation and necessitate immunotherapy cessation.</p>","PeriodicalId":15423,"journal":{"name":"Journal of Current Ophthalmology","volume":"35 3","pages":"294-296"},"PeriodicalIF":0.9000,"publicationDate":"2024-03-29","publicationTypes":"Journal Article","fieldsOfStudy":null,"isOpenAccess":false,"openAccessPdf":"https://www.ncbi.nlm.nih.gov/pmc/articles/PMC11047816/pdf/","citationCount":"0","resultStr":null,"platform":"Semanticscholar","paperid":null,"PeriodicalName":"Journal of Current Ophthalmology","FirstCategoryId":"1085","ListUrlMain":"https://doi.org/10.4103/joco.joco_21_23","RegionNum":0,"RegionCategory":null,"ArticlePicture":[],"TitleCN":null,"AbstractTextCN":null,"PMCID":null,"EPubDate":"2023/7/1 0:00:00","PubModel":"eCollection","JCR":"Q3","JCRName":"OPHTHALMOLOGY","Score":null,"Total":0}
引用次数: 0

Abstract

Purpose: To describe a rare case of hypotony and anterior uveitis following dual therapy with nivolumab and ipilimumab for metastatic melanoma.

Methods: Case report.

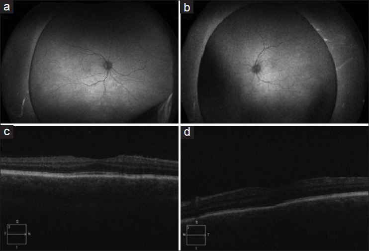
Results: Here, we present the case of a 64-year-old man taking nivolumab and ipilimumab dual therapy for BRAF+ (v-raf murine sarcoma viral oncogene homolog B1) metastatic melanoma. After treatment for 3 months, he presented to the ophthalmology clinic with bilateral intraocular pressures of 1 mmHg, bilateral keratic precipitates, cataracts, posterior synechiae, and anterior chamber inflammation. He improved with topical medications and the cessation of immunotherapy.

Conclusions: Immunotherapies are a novel class of chemotherapy that has increased in prevalence for the treatment of numerous malignancies. There are many rare complications from these medications that are sparsely reported. Knowledge of ocular hypotony as a potential consequence of nivolumab and ipilimumab is important, particularly as it may arise months after treatment initiation and necessitate immunotherapy cessation.

Abstract Image

用 Nivolumab 和 Ipilimumab 双联疗法治疗转移性黑色素瘤后出现低眼压和前葡萄膜炎:病例报告。
目的:描述一例罕见的转移性黑色素瘤患者在接受尼伐单抗和伊匹单抗双重治疗后出现眼睑下垂和前葡萄膜炎的病例:方法:病例报告:结果:我们在此报告了一例64岁男性患者的病例,该患者因BRAF+(v-raf鼠肉瘤病毒癌基因同源物B1)转移性黑色素瘤而接受尼妥珠单抗和伊匹单抗双重治疗。治疗 3 个月后,他因双侧眼压达 1 mmHg、双侧角膜沉淀、白内障、后眼裂和前房炎症到眼科门诊就诊。通过局部用药和停止免疫治疗,他的病情有所好转:免疫疗法是一种新型化疗方法,在治疗多种恶性肿瘤中的应用越来越广泛。这些药物有许多罕见的并发症,但鲜有报道。了解nivolumab和ipilimumab可能导致的眼睑下垂非常重要,尤其是这种眼睑下垂可能在开始治疗数月后出现,并导致必须停止免疫疗法。
本文章由计算机程序翻译,如有差异,请以英文原文为准。
求助全文
约1分钟内获得全文 求助全文
来源期刊
CiteScore
2.50
自引率
6.70%
发文量
45
审稿时长
8 weeks
期刊介绍: Peer Review under the responsibility of Iranian Society of Ophthalmology Journal of Current Ophthalmology, the official publication of the Iranian Society of Ophthalmology, is a peer-reviewed, open-access, scientific journal that welcomes high quality original articles related to vision science and all fields of ophthalmology. Journal of Current Ophthalmology is the continuum of Iranian Journal of Ophthalmology published since 1969.
×
引用
GB/T 7714-2015
复制
MLA
复制
APA
复制
导出至
BibTeX EndNote RefMan NoteFirst NoteExpress
×
提示
您的信息不完整,为了账户安全,请先补充。
现在去补充
×
提示
您因"违规操作"
具体请查看互助需知
我知道了
×
提示
确定
请完成安全验证×
copy
已复制链接
快去分享给好友吧!
我知道了
右上角分享
点击右上角分享
0
联系我们:info@booksci.cn Book学术提供免费学术资源搜索服务,方便国内外学者检索中英文文献。致力于提供最便捷和优质的服务体验。 Copyright © 2023 布克学术 All rights reserved.
京ICP备2023020795号-1
ghs 京公网安备 11010802042870号
Book学术文献互助
Book学术文献互助群
群 号:604180095
Book学术官方微信