Pathologic characteristics of histiocytic and dendritic cell neoplasms.

IF 2.8 Q2 HEMATOLOGY
Sun Och Yoon
{"title":"Pathologic characteristics of histiocytic and dendritic cell neoplasms.","authors":"Sun Och Yoon","doi":"10.1007/s44313-024-00015-9","DOIUrl":null,"url":null,"abstract":"<p><p>Histiocytic and dendritic cell neoplasms comprise diverse tumors originating from the mononuclear phagocytic system, which includes monocytes, macrophages, and dendritic cells. The 5th edition of the World Health Organization (WHO) classification updating the categorization of these tumors, reflecting a deeper understanding of their pathogenesis.In this updated classification system, tumors are categorized as Langerhans cell and other dendritic cell neoplasms, histiocyte/macrophage neoplasms, and plasmacytoid dendritic cell neoplasms. Follicular dendritic cell neoplasms are classified as mesenchymal dendritic cell neoplasms within the stroma-derived neoplasms of lymphoid tissues.Each subtype of histiocytic and dendritic cell neoplasms exhibits distinct morphological characteristics. They also show a characteristic immunophenotypic profile marked by various markers such as CD1a, CD207/langerin, S100, CD68, CD163, CD4, CD123, CD21, CD23, CD35, and ALK, and hematolymphoid markers such as CD45 and CD43. In situ hybridization for EBV-encoded small RNA (EBER) identifies a particular subtype. Immunoprofiling plays a critical role in determining the cell of origin and identifying the specific subtype of tumors. There are frequent genomic alterations in these neoplasms, especially in the mitogen-activated protein kinase pathway, including BRAF (notably BRAF V600E), MAP2K1, KRAS, and NRAS mutations, and ALK gene translocation.This review aims to offer a comprehensive and updated overview of histiocytic and dendritic cell neoplasms, focusing on their ontogeny, morphological aspects, immunophenotypic profiles, and molecular genetics. This comprehensive approach is essential for accurately differentiating and classifying neoplasms according to the updated WHO classification.</p>","PeriodicalId":46224,"journal":{"name":"Blood Research","volume":"59 1","pages":"18"},"PeriodicalIF":2.8000,"publicationDate":"2024-05-07","publicationTypes":"Journal Article","fieldsOfStudy":null,"isOpenAccess":false,"openAccessPdf":"https://www.ncbi.nlm.nih.gov/pmc/articles/PMC11076448/pdf/","citationCount":"0","resultStr":null,"platform":"Semanticscholar","paperid":null,"PeriodicalName":"Blood Research","FirstCategoryId":"1085","ListUrlMain":"https://doi.org/10.1007/s44313-024-00015-9","RegionNum":0,"RegionCategory":null,"ArticlePicture":[],"TitleCN":null,"AbstractTextCN":null,"PMCID":null,"EPubDate":"","PubModel":"","JCR":"Q2","JCRName":"HEMATOLOGY","Score":null,"Total":0}
引用次数: 0

Abstract

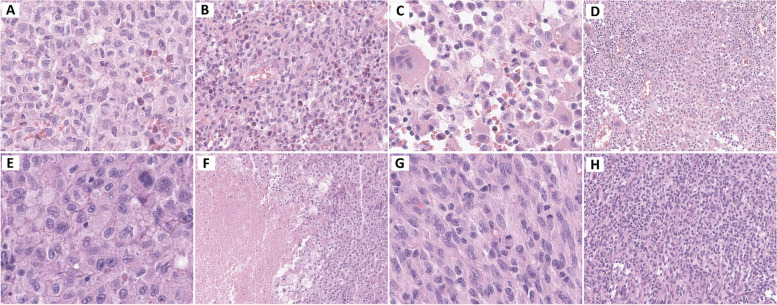
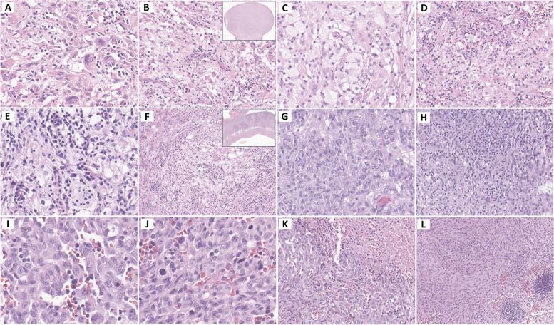
Histiocytic and dendritic cell neoplasms comprise diverse tumors originating from the mononuclear phagocytic system, which includes monocytes, macrophages, and dendritic cells. The 5th edition of the World Health Organization (WHO) classification updating the categorization of these tumors, reflecting a deeper understanding of their pathogenesis.In this updated classification system, tumors are categorized as Langerhans cell and other dendritic cell neoplasms, histiocyte/macrophage neoplasms, and plasmacytoid dendritic cell neoplasms. Follicular dendritic cell neoplasms are classified as mesenchymal dendritic cell neoplasms within the stroma-derived neoplasms of lymphoid tissues.Each subtype of histiocytic and dendritic cell neoplasms exhibits distinct morphological characteristics. They also show a characteristic immunophenotypic profile marked by various markers such as CD1a, CD207/langerin, S100, CD68, CD163, CD4, CD123, CD21, CD23, CD35, and ALK, and hematolymphoid markers such as CD45 and CD43. In situ hybridization for EBV-encoded small RNA (EBER) identifies a particular subtype. Immunoprofiling plays a critical role in determining the cell of origin and identifying the specific subtype of tumors. There are frequent genomic alterations in these neoplasms, especially in the mitogen-activated protein kinase pathway, including BRAF (notably BRAF V600E), MAP2K1, KRAS, and NRAS mutations, and ALK gene translocation.This review aims to offer a comprehensive and updated overview of histiocytic and dendritic cell neoplasms, focusing on their ontogeny, morphological aspects, immunophenotypic profiles, and molecular genetics. This comprehensive approach is essential for accurately differentiating and classifying neoplasms according to the updated WHO classification.

Abstract Image

Abstract Image

Abstract Image

组织细胞和树突状细胞肿瘤的病理特征。
组织细胞和树突状细胞肿瘤是由单核吞噬系统(包括单核细胞、巨噬细胞和树突状细胞)产生的多种肿瘤组成。世界卫生组织(WHO)第五版分类法更新了这些肿瘤的分类,反映了人们对其发病机制的更深入了解。滤泡树突状细胞肿瘤被归类为淋巴组织基质衍生肿瘤中的间质树突状细胞肿瘤。组织细胞瘤和树突状细胞瘤的每种亚型都表现出不同的形态学特征,它们还表现出特征性的免疫表型特征,以各种标记物为标志,如 CD1a、CD207/langerin、S100、CD68、CD163、CD4、CD123、CD21、CD23、CD35 和 ALK,以及血淋巴标记物,如 CD45 和 CD43。EBV编码的小RNA(EBER)原位杂交可确定特定的亚型。免疫分型在确定肿瘤的起源细胞和特定亚型方面起着至关重要的作用。这些肿瘤的基因组经常发生改变,尤其是在丝裂原活化蛋白激酶通路中,包括BRAF(尤其是BRAF V600E)、MAP2K1、KRAS和NRAS突变以及ALK基因易位。本综述旨在对组织细胞和树突状细胞肿瘤进行全面的最新概述,重点关注其本体、形态学方面、免疫表型特征和分子遗传学。这种全面的方法对于根据最新的世卫组织分类法准确区分和分类肿瘤至关重要。
本文章由计算机程序翻译,如有差异,请以英文原文为准。
求助全文
约1分钟内获得全文 求助全文
来源期刊
Blood Research
Blood Research HEMATOLOGY-
CiteScore
3.70
自引率
0.00%
发文量
64
×
引用
GB/T 7714-2015
复制
MLA
复制
APA
复制
导出至
BibTeX EndNote RefMan NoteFirst NoteExpress
×
提示
您的信息不完整,为了账户安全,请先补充。
现在去补充
×
提示
您因"违规操作"
具体请查看互助需知
我知道了
×
提示
确定
请完成安全验证×
copy
已复制链接
快去分享给好友吧!
我知道了
右上角分享
点击右上角分享
0
联系我们:info@booksci.cn Book学术提供免费学术资源搜索服务,方便国内外学者检索中英文文献。致力于提供最便捷和优质的服务体验。 Copyright © 2023 布克学术 All rights reserved.
京ICP备2023020795号-1
ghs 京公网安备 11010802042870号
Book学术文献互助
Book学术文献互助群
群 号:604180095
Book学术官方微信