Multiple Bilateral Retinal Pigment Epithelial Detachments in a Patient with Systemic Lupus Erythematosus: A Case Report.

IF 0.9 Q3 OPHTHALMOLOGY
Journal of Current Ophthalmology Pub Date : 2024-03-29 eCollection Date: 2023-07-01 DOI:10.4103/joco.joco_267_22
Renata Diniz Lemos, Ahmad Mohamad Ali Hamade, Leangelo Nicholas Hall, Maurício Abujamra Nascimento
{"title":"Multiple Bilateral Retinal Pigment Epithelial Detachments in a Patient with Systemic Lupus Erythematosus: A Case Report.","authors":"Renata Diniz Lemos, Ahmad Mohamad Ali Hamade, Leangelo Nicholas Hall, Maurício Abujamra Nascimento","doi":"10.4103/joco.joco_267_22","DOIUrl":null,"url":null,"abstract":"<p><strong>Purpose: </strong>To report a case of multiple bilateral retinal pigment epithelial detachments (PEDs) in a woman with systemic lupus erythematosus (SLE).</p><p><strong>Methods: </strong>Case Report.</p><p><strong>Results: </strong>A 28-year-old female with mild blurred bilateral vision in both eyes (OU) without pain or any other symptom was admitted to the hospital due to worsening renal function and uncontrolled high blood pressure (HBP). Best-corrected visual acuity (BCVA) was 20/30 and 20/40, right and left eyes, respectively. She had SLE, glucose-6-phosphate dehydrogenase deficiency, and immune thrombocytopenic purpura. BP was over 150/90 mmHg for more than 1.5 years, and she used corticosteroids at varying doses for more than 4 years. During hospitalization, she was taking prednisone 60 mg daily as Class IV lupus nephritis was diagnosed. On fundoscopy, she had a lacy retinal pattern, remarkably on the macula in OU. Spectral-domain optical coherence tomography revealed multiple bilateral serous PEDs and pachychoroid. Angiofluoresceinography displayed multiple pooling hyperfluorescence areas. Six months afterward, while she was on prednisolone 10 mg daily, and antihypertensive medications, BCVA was improved to 20/25 OU. Nevertheless, she had no retinal or choroidal changes. Her findings could be related to SLE choroidopathy, central serous chorioretinopathy-like disease, and/or hypertensive choroidopathy.</p><p><strong>Conclusions: </strong>Ocular involvement affects nearly one-third of SLE patients. The findings are variable and can include nearly any part of the eyeball. Multiple bilateral PEDs have been described in the literature; however, in this case, it is probably multifactorial and not only related to SLE.</p>","PeriodicalId":15423,"journal":{"name":"Journal of Current Ophthalmology","volume":"35 3","pages":"287-290"},"PeriodicalIF":0.9000,"publicationDate":"2024-03-29","publicationTypes":"Journal Article","fieldsOfStudy":null,"isOpenAccess":false,"openAccessPdf":"https://www.ncbi.nlm.nih.gov/pmc/articles/PMC11047803/pdf/","citationCount":"0","resultStr":null,"platform":"Semanticscholar","paperid":null,"PeriodicalName":"Journal of Current Ophthalmology","FirstCategoryId":"1085","ListUrlMain":"https://doi.org/10.4103/joco.joco_267_22","RegionNum":0,"RegionCategory":null,"ArticlePicture":[],"TitleCN":null,"AbstractTextCN":null,"PMCID":null,"EPubDate":"2023/7/1 0:00:00","PubModel":"eCollection","JCR":"Q3","JCRName":"OPHTHALMOLOGY","Score":null,"Total":0}
引用次数: 0

Abstract

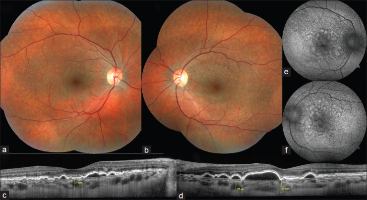
Purpose: To report a case of multiple bilateral retinal pigment epithelial detachments (PEDs) in a woman with systemic lupus erythematosus (SLE).

Methods: Case Report.

Results: A 28-year-old female with mild blurred bilateral vision in both eyes (OU) without pain or any other symptom was admitted to the hospital due to worsening renal function and uncontrolled high blood pressure (HBP). Best-corrected visual acuity (BCVA) was 20/30 and 20/40, right and left eyes, respectively. She had SLE, glucose-6-phosphate dehydrogenase deficiency, and immune thrombocytopenic purpura. BP was over 150/90 mmHg for more than 1.5 years, and she used corticosteroids at varying doses for more than 4 years. During hospitalization, she was taking prednisone 60 mg daily as Class IV lupus nephritis was diagnosed. On fundoscopy, she had a lacy retinal pattern, remarkably on the macula in OU. Spectral-domain optical coherence tomography revealed multiple bilateral serous PEDs and pachychoroid. Angiofluoresceinography displayed multiple pooling hyperfluorescence areas. Six months afterward, while she was on prednisolone 10 mg daily, and antihypertensive medications, BCVA was improved to 20/25 OU. Nevertheless, she had no retinal or choroidal changes. Her findings could be related to SLE choroidopathy, central serous chorioretinopathy-like disease, and/or hypertensive choroidopathy.

Conclusions: Ocular involvement affects nearly one-third of SLE patients. The findings are variable and can include nearly any part of the eyeball. Multiple bilateral PEDs have been described in the literature; however, in this case, it is probably multifactorial and not only related to SLE.

Abstract Image

Abstract Image

Abstract Image

一名系统性红斑狼疮患者的多发性双侧视网膜色素上皮脱落:病例报告。
目的:报告一例患有系统性红斑狼疮(SLE)的妇女双侧多发性视网膜色素上皮脱离(PED)的病例:方法:病例报告:一位28岁的女性患者双眼视力轻度模糊(OU),无疼痛或其他症状,因肾功能恶化和高血压(HBP)未得到控制而入院。左右眼最佳矫正视力(BCVA)分别为 20/30 和 20/40。她患有系统性红斑狼疮、葡萄糖-6-磷酸脱氢酶缺乏症和免疫性血小板减少性紫癜。血压超过 150/90 mmHg 已超过 1.5 年,使用不同剂量的皮质类固醇已超过 4 年。住院期间,由于确诊为 IV 级狼疮肾炎,她每天服用 60 毫克泼尼松。在眼底镜检查中,她的视网膜上出现了花边模式,尤其是在 OU 的黄斑部。光谱域光学相干断层扫描显示双侧多发性浆液性 PED 和胬肉。血管荧光造影显示多个汇集性高荧光区。六个月后,她每天服用 10 毫克泼尼松龙和降压药,BCVA 改善到 20/25 OU。然而,她的视网膜或脉络膜没有发生任何变化。她的检查结果可能与系统性红斑狼疮脉络膜病变、中心性浆液性脉络膜视网膜病变样疾病和/或高血压脉络膜病变有关:结论:近三分之一的系统性红斑狼疮患者会出现眼部受累。结论:将近三分之一的系统性红斑狼疮患者会出现眼部受累的情况。眼部受累的情况多种多样,几乎可以包括眼球的任何部位。文献中已描述了多发性双侧PED,但在本病例中,它可能是多因素引起的,而不仅仅与系统性红斑狼疮有关。
本文章由计算机程序翻译,如有差异,请以英文原文为准。
求助全文
约1分钟内获得全文 求助全文
来源期刊
CiteScore
2.50
自引率
6.70%
发文量
45
审稿时长
8 weeks
期刊介绍: Peer Review under the responsibility of Iranian Society of Ophthalmology Journal of Current Ophthalmology, the official publication of the Iranian Society of Ophthalmology, is a peer-reviewed, open-access, scientific journal that welcomes high quality original articles related to vision science and all fields of ophthalmology. Journal of Current Ophthalmology is the continuum of Iranian Journal of Ophthalmology published since 1969.
×
引用
GB/T 7714-2015
复制
MLA
复制
APA
复制
导出至
BibTeX EndNote RefMan NoteFirst NoteExpress
×
提示
您的信息不完整,为了账户安全,请先补充。
现在去补充
×
提示
您因"违规操作"
具体请查看互助需知
我知道了
×
提示
确定
请完成安全验证×
copy
已复制链接
快去分享给好友吧!
我知道了
右上角分享
点击右上角分享
0
联系我们:info@booksci.cn Book学术提供免费学术资源搜索服务,方便国内外学者检索中英文文献。致力于提供最便捷和优质的服务体验。 Copyright © 2023 布克学术 All rights reserved.
京ICP备2023020795号-1
ghs 京公网安备 11010802042870号
Book学术文献互助
Book学术文献互助群
群 号:604180095
Book学术官方微信