Pulp Canal Obliteration Following Traumatic Dental Injury in an Upper Lateral Incisor: A Case Report with 3-year Follow-up.

Q3 Dentistry
Marina da Cunha Isaltino, Wesley Viana de Sousa, Luiza de Almeida Souto Montenegro, Christianne Tavares Velozo Telles, Marcely Cristiny Figueredo Cassimiro da Silva, Diana Santana de Albuquerque
{"title":"Pulp Canal Obliteration Following Traumatic Dental Injury in an Upper Lateral Incisor: A Case Report with 3-year Follow-up.","authors":"Marina da Cunha Isaltino, Wesley Viana de Sousa, Luiza de Almeida Souto Montenegro, Christianne Tavares Velozo Telles, Marcely Cristiny Figueredo Cassimiro da Silva, Diana Santana de Albuquerque","doi":"10.22037/iej.v19i2.43307","DOIUrl":null,"url":null,"abstract":"<p><p>Endodontic management of teeth afflicted with pulp canal obliteration faces a challenge due to the heightened risk of complications including excessive wear, perforation, and suboptimal chemomechanical preparation. This report aims to elucidate the clinical endodontic strategy employed in addressing pulp canal obliteration after a history of dental trauma and an associated periradicular lesion in an upper lateral incisor. A patient visited the dental emergency department with symptoms of apical swelling, acute persistent pain, and discoloration of tooth 22. Following comprehensive clinical evaluation and cone-beam computed tomography, the diagnosis of pulp canal obliteration involving the cervical and middle thirds of the tooth, alongside an acute periradicular abscess was established. Root canal was accessed using tomographic image planning, augmented by loupe magnification and ultrasonic instrumentation. Precise identification of the access cavity was radiographically confirmed, preceded by thorough irrigation with 2.5% sodium hypochlorite and subsequent cervical and middle third preparation. Verification of the working length by an electronic apex locator ensured precise apical preparation, followed by passive ultrasonic irrigation to optimize disinfection and to enhance penetrability of intracanal calcium hydroxide medication, administered for 15 days to eliminate microbial invasion. Upon resolution of symptoms, root canal obturation employing thermo-mechanical compaction and coronal sealing with composite resin was accomplished. Radiographic assessment after a one-year interval presented evidence of lesion regression and bone repair. Subsequent cone-beam computed tomography imaging at the three-year follow-up confirmed complete healing of the periradicular tissues, attesting to the efficacy of the endodontic intervention.</p>","PeriodicalId":14534,"journal":{"name":"Iranian Endodontic Journal","volume":"19 2","pages":"134-138"},"PeriodicalIF":0.0000,"publicationDate":"2024-01-01","publicationTypes":"Journal Article","fieldsOfStudy":null,"isOpenAccess":false,"openAccessPdf":"https://www.ncbi.nlm.nih.gov/pmc/articles/PMC10988638/pdf/","citationCount":"0","resultStr":null,"platform":"Semanticscholar","paperid":null,"PeriodicalName":"Iranian Endodontic Journal","FirstCategoryId":"1085","ListUrlMain":"https://doi.org/10.22037/iej.v19i2.43307","RegionNum":0,"RegionCategory":null,"ArticlePicture":[],"TitleCN":null,"AbstractTextCN":null,"PMCID":null,"EPubDate":"","PubModel":"","JCR":"Q3","JCRName":"Dentistry","Score":null,"Total":0}
引用次数: 0

Abstract

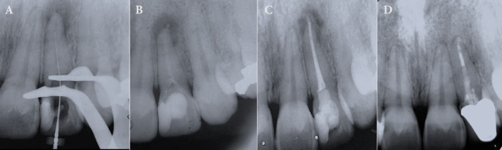
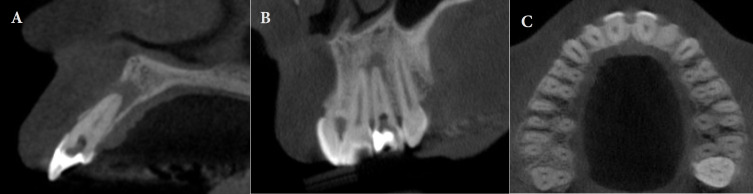
Endodontic management of teeth afflicted with pulp canal obliteration faces a challenge due to the heightened risk of complications including excessive wear, perforation, and suboptimal chemomechanical preparation. This report aims to elucidate the clinical endodontic strategy employed in addressing pulp canal obliteration after a history of dental trauma and an associated periradicular lesion in an upper lateral incisor. A patient visited the dental emergency department with symptoms of apical swelling, acute persistent pain, and discoloration of tooth 22. Following comprehensive clinical evaluation and cone-beam computed tomography, the diagnosis of pulp canal obliteration involving the cervical and middle thirds of the tooth, alongside an acute periradicular abscess was established. Root canal was accessed using tomographic image planning, augmented by loupe magnification and ultrasonic instrumentation. Precise identification of the access cavity was radiographically confirmed, preceded by thorough irrigation with 2.5% sodium hypochlorite and subsequent cervical and middle third preparation. Verification of the working length by an electronic apex locator ensured precise apical preparation, followed by passive ultrasonic irrigation to optimize disinfection and to enhance penetrability of intracanal calcium hydroxide medication, administered for 15 days to eliminate microbial invasion. Upon resolution of symptoms, root canal obturation employing thermo-mechanical compaction and coronal sealing with composite resin was accomplished. Radiographic assessment after a one-year interval presented evidence of lesion regression and bone repair. Subsequent cone-beam computed tomography imaging at the three-year follow-up confirmed complete healing of the periradicular tissues, attesting to the efficacy of the endodontic intervention.

Abstract Image

Abstract Image

Abstract Image

上侧切牙外伤后牙髓腔闭塞:随访 3 年的病例报告
由于过度磨损、穿孔和不理想的化学机械制备等并发症的风险增加,对患有牙髓管阻塞的牙齿进行牙髓治疗面临着挑战。本报告旨在阐明在处理牙髓管阻塞时所采用的临床牙髓治疗策略,该患者曾有过牙齿外伤史,且上侧切牙有相关的根尖周病变。一名患者因牙根尖肿胀、急性持续性疼痛和 22 号牙变色等症状到牙科急诊就诊。经过全面的临床评估和锥形束计算机断层扫描,患者被确诊为涉及牙颈部和中三分之二的牙髓管阻塞,并伴有急性根周脓肿。通过断层扫描图像规划、放大镜放大和超声波仪器的辅助,进入了根管。先用 2.5% 次氯酸钠进行彻底冲洗,然后对牙颈部和中三分之一处进行准备。通过电子根尖定位仪确认工作长度,确保了根尖预备的精确性,随后进行被动超声波冲洗,以优化消毒效果,并提高根管内氢氧化钙药物的渗透性。症状缓解后,采用热机械压实法进行根管封堵,并用复合树脂进行冠状封闭。一年后进行的放射学评估显示,病变消退,骨质得到修复。随后三年的锥形束计算机断层扫描成像证实根周组织完全愈合,证明了根管治疗的有效性。
本文章由计算机程序翻译,如有差异,请以英文原文为准。
求助全文
约1分钟内获得全文 求助全文
来源期刊
Iranian Endodontic Journal
Iranian Endodontic Journal Dentistry-Dentistry (all)
CiteScore
1.30
自引率
0.00%
发文量
0
审稿时长
12 weeks
期刊介绍: The Iranian Endodontic Journal (IEJ) is an international peer-reviewed biomedical publication, the aim of which is to provide a scientific medium of communication for researchers throughout the globe. IEJ aims to publish the highest quality articles, both clinical and scientific, on all aspects of Endodontics. The journal is an official Journal of the Iranian Center for Endodontic Research (ICER) and the Iranian Association of Endodontists (IAE). The Journal welcomes articles related to the scientific or applied aspects of endodontics e.g. original researches, systematic reviews, meta-analyses, review articles, clinical trials, case series/reports, hypotheses, letters to the editor, etc. From the beginning (i.e. since 2006), the IEJ was the first open access endodontic journal in the world, which gave readers free and instant access to published articles and enabling them faster discovery of the latest endodontic research.
×
引用
GB/T 7714-2015
复制
MLA
复制
APA
复制
导出至
BibTeX EndNote RefMan NoteFirst NoteExpress
×
提示
您的信息不完整,为了账户安全,请先补充。
现在去补充
×
提示
您因"违规操作"
具体请查看互助需知
我知道了
×
提示
确定
请完成安全验证×
copy
已复制链接
快去分享给好友吧!
我知道了
右上角分享
点击右上角分享
0
联系我们:info@booksci.cn Book学术提供免费学术资源搜索服务,方便国内外学者检索中英文文献。致力于提供最便捷和优质的服务体验。 Copyright © 2023 布克学术 All rights reserved.
京ICP备2023020795号-1
ghs 京公网安备 11010802042870号
Book学术文献互助
Book学术文献互助群
群 号:604180095
Book学术官方微信