Pseudoxanthomatous Salpingitis: A Rare Granulomatous Pathology of the Fallopian Tube.

IF 1.1 Q2 Medicine
Journal of Human Reproductive Sciences Pub Date : 2024-01-01 Epub Date: 2024-03-28 DOI:10.4103/jhrs.jhrs_174_23
Asha R Rao, Damodar R Rao, Yingngam Wangnaolim, Padmashri Giridharan
{"title":"Pseudoxanthomatous Salpingitis: A Rare Granulomatous Pathology of the Fallopian Tube.","authors":"Asha R Rao, Damodar R Rao, Yingngam Wangnaolim, Padmashri Giridharan","doi":"10.4103/jhrs.jhrs_174_23","DOIUrl":null,"url":null,"abstract":"<p><p>Uncommon presentations of granulomatous salpingitis are pseudoxanthoma salpingitis (PSX) and xanthogranulomatous salpingitis (XGS). The clinical features and image modalities can mimic ovarian malignancy. Thus, a proper pre-operative evaluation of this entity is vital to avoid radical treatment. Here, we report a case of a 31-year-old woman with primary infertility diagnosed with pseudoxanthoma salpinx. This patient was a known case of endometriosis and presented with gross ascites.</p>","PeriodicalId":15975,"journal":{"name":"Journal of Human Reproductive Sciences","volume":"17 1","pages":"58-60"},"PeriodicalIF":1.1000,"publicationDate":"2024-01-01","publicationTypes":"Journal Article","fieldsOfStudy":null,"isOpenAccess":false,"openAccessPdf":"https://www.ncbi.nlm.nih.gov/pmc/articles/PMC11041313/pdf/","citationCount":"0","resultStr":null,"platform":"Semanticscholar","paperid":null,"PeriodicalName":"Journal of Human Reproductive Sciences","FirstCategoryId":"1085","ListUrlMain":"https://doi.org/10.4103/jhrs.jhrs_174_23","RegionNum":0,"RegionCategory":null,"ArticlePicture":[],"TitleCN":null,"AbstractTextCN":null,"PMCID":null,"EPubDate":"2024/3/28 0:00:00","PubModel":"Epub","JCR":"Q2","JCRName":"Medicine","Score":null,"Total":0}
引用次数: 0

Abstract

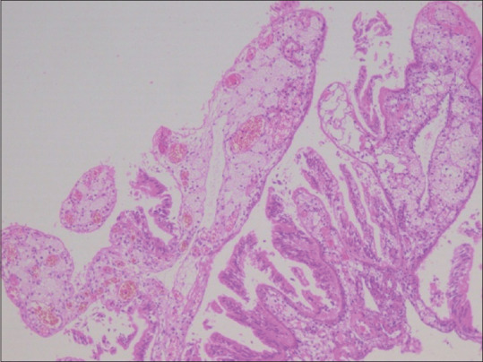
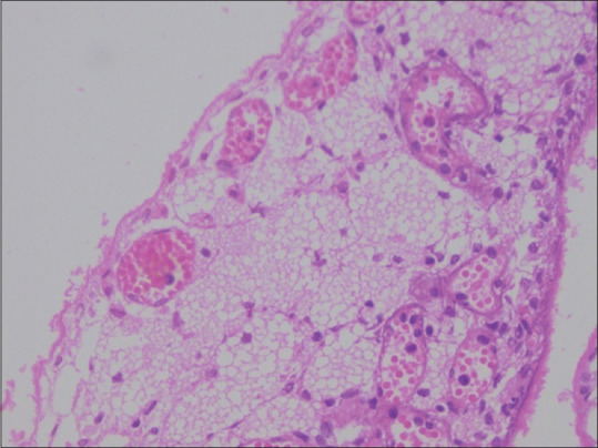
Uncommon presentations of granulomatous salpingitis are pseudoxanthoma salpingitis (PSX) and xanthogranulomatous salpingitis (XGS). The clinical features and image modalities can mimic ovarian malignancy. Thus, a proper pre-operative evaluation of this entity is vital to avoid radical treatment. Here, we report a case of a 31-year-old woman with primary infertility diagnosed with pseudoxanthoma salpinx. This patient was a known case of endometriosis and presented with gross ascites.

Abstract Image

Abstract Image

Abstract Image

假黄疽性输卵管炎:一种罕见的输卵管肉芽肿性病变
肉芽肿性输卵管炎的不常见表现是假黄疽性输卵管炎(PSX)和黄原细胞瘤性输卵管炎(XGS)。其临床特征和图像模式可与卵巢恶性肿瘤相似。因此,对这种疾病进行正确的术前评估对于避免根治性治疗至关重要。在此,我们报告了一例被诊断为假黄疽性输卵管炎的 31 岁女性原发性不孕患者。该患者已知患有子宫内膜异位症,并伴有严重腹水。
本文章由计算机程序翻译,如有差异,请以英文原文为准。
求助全文
约1分钟内获得全文 求助全文
来源期刊
Journal of Human Reproductive Sciences
Journal of Human Reproductive Sciences Medicine-Reproductive Medicine
CiteScore
2.60
自引率
0.00%
发文量
50
审稿时长
23 weeks
期刊介绍: The Journal of Human Reproductive Sciences (JHRS) (ISSN:0974-1208) a Quarterly peer-reviewed international journal is being launched in January 2008 under the auspices of Indian Society of Assisted Reproduction. The journal will cover all aspects human reproduction including Andrology, Assisted conception, Endocrinology, Physiology and Pathology, Implantation, Preimplantation Diagnosis, Preimplantation Genetic Diagnosis, Embryology as well as Ethical, Legal and Social issues. The journal will publish peer-reviewed original research papers, case reports, systematic reviews, meta-analysis, and debates.
×
引用
GB/T 7714-2015
复制
MLA
复制
APA
复制
导出至
BibTeX EndNote RefMan NoteFirst NoteExpress
×
提示
您的信息不完整,为了账户安全,请先补充。
现在去补充
×
提示
您因"违规操作"
具体请查看互助需知
我知道了
×
提示
确定
请完成安全验证×
copy
已复制链接
快去分享给好友吧!
我知道了
右上角分享
点击右上角分享
0
联系我们:info@booksci.cn Book学术提供免费学术资源搜索服务,方便国内外学者检索中英文文献。致力于提供最便捷和优质的服务体验。 Copyright © 2023 布克学术 All rights reserved.
京ICP备2023020795号-1
ghs 京公网安备 11010802042870号
Book学术文献互助
Book学术文献互助群
群 号:604180095
Book学术官方微信