Langerhans Cell Histiocytosis Mimicking a Meningeal Lesion with Temporal Bone and Muscle Compromise in an Adult Patient: A Case Report.

IF 0.7 Q4 CLINICAL NEUROLOGY
Journal of Neurological Surgery Reports Pub Date : 2024-04-30 eCollection Date: 2024-04-01 DOI:10.1055/s-0044-1786360
Alejandro Durán-Ojeda, Jefferson Arce, Santiago Campos-Fajardo, Lorena Jacomussi-Alzate, Cristhian Rincón-Carreño
{"title":"Langerhans Cell Histiocytosis Mimicking a Meningeal Lesion with Temporal Bone and Muscle Compromise in an Adult Patient: A Case Report.","authors":"Alejandro Durán-Ojeda, Jefferson Arce, Santiago Campos-Fajardo, Lorena Jacomussi-Alzate, Cristhian Rincón-Carreño","doi":"10.1055/s-0044-1786360","DOIUrl":null,"url":null,"abstract":"<p><p><b>Introduction</b>  Langerhans cell histiocytosis (LCH) is a rare proliferative systemic disease characterized by the growth of abnormal dendritic cells and wide-ranging organ involvement. This condition can affect individuals of all ages, but most commonly children, with a peak incidence in toddlers. Symptoms may vary depending on the affected organ or system. <b>Case Report</b>  A 43-year-old man presented with a left temporal stabbing headache unresponsive to management with therapy and nonsteroidal anti-inflammatory drugs. Initial evaluation revealed a contrast-enhanced left temporal extra-axial lesion with bone and muscle compromise. Differential diagnoses, including multiple myeloma, were explored. Initial laboratory tests and imaging studies showed no other abnormalities, except for splenomegaly and a residual granuloma in the left lung. En bloc resection of the lesion was recommended. The patient underwent surgical intervention, which included resection of the dural lesion and all borders of an infiltrating tumor within the temporalis muscle and the affected portion of the left temporal bone. Posterior pathological examination revealed LCH. Postoperative course was uneventful. Follow-up appointments were scheduled after pathology results confirmed the diagnosis. Patient has continued follow-up for the following 3 months after the surgical procedure. Further evaluations are pending. <b>Discussion</b>  This case report corresponds to a patient with LCH. These patients are individualized and stratified based on local or systemic involvement to determine the most appropriate type of management. This is a rare case as LCH is rare in older patients and the initial presented lesion initially mimicked a meningioma; however, its atypical behavior and associated lytic compromise led to consideration of possible differential diagnoses. <b>Conclusion</b>  LCH can present with lytic bone lesions, mimicking other conditions, including infiltrative neoplastic lesions. Early diagnosis and appropriate surgical management are essential for optimal patient outcomes. Long-term follow-up is crucial to monitor disease progression and response to treatment.</p>","PeriodicalId":44256,"journal":{"name":"Journal of Neurological Surgery Reports","volume":"85 2","pages":"e43-e47"},"PeriodicalIF":0.7000,"publicationDate":"2024-04-30","publicationTypes":"Journal Article","fieldsOfStudy":null,"isOpenAccess":false,"openAccessPdf":"https://www.ncbi.nlm.nih.gov/pmc/articles/PMC11060841/pdf/","citationCount":"0","resultStr":null,"platform":"Semanticscholar","paperid":null,"PeriodicalName":"Journal of Neurological Surgery Reports","FirstCategoryId":"1085","ListUrlMain":"https://doi.org/10.1055/s-0044-1786360","RegionNum":0,"RegionCategory":null,"ArticlePicture":[],"TitleCN":null,"AbstractTextCN":null,"PMCID":null,"EPubDate":"2024/4/1 0:00:00","PubModel":"eCollection","JCR":"Q4","JCRName":"CLINICAL NEUROLOGY","Score":null,"Total":0}
引用次数: 0

Abstract

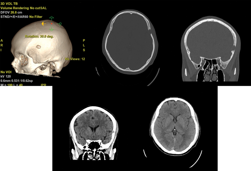
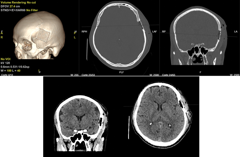
Introduction  Langerhans cell histiocytosis (LCH) is a rare proliferative systemic disease characterized by the growth of abnormal dendritic cells and wide-ranging organ involvement. This condition can affect individuals of all ages, but most commonly children, with a peak incidence in toddlers. Symptoms may vary depending on the affected organ or system. Case Report  A 43-year-old man presented with a left temporal stabbing headache unresponsive to management with therapy and nonsteroidal anti-inflammatory drugs. Initial evaluation revealed a contrast-enhanced left temporal extra-axial lesion with bone and muscle compromise. Differential diagnoses, including multiple myeloma, were explored. Initial laboratory tests and imaging studies showed no other abnormalities, except for splenomegaly and a residual granuloma in the left lung. En bloc resection of the lesion was recommended. The patient underwent surgical intervention, which included resection of the dural lesion and all borders of an infiltrating tumor within the temporalis muscle and the affected portion of the left temporal bone. Posterior pathological examination revealed LCH. Postoperative course was uneventful. Follow-up appointments were scheduled after pathology results confirmed the diagnosis. Patient has continued follow-up for the following 3 months after the surgical procedure. Further evaluations are pending. Discussion  This case report corresponds to a patient with LCH. These patients are individualized and stratified based on local or systemic involvement to determine the most appropriate type of management. This is a rare case as LCH is rare in older patients and the initial presented lesion initially mimicked a meningioma; however, its atypical behavior and associated lytic compromise led to consideration of possible differential diagnoses. Conclusion  LCH can present with lytic bone lesions, mimicking other conditions, including infiltrative neoplastic lesions. Early diagnosis and appropriate surgical management are essential for optimal patient outcomes. Long-term follow-up is crucial to monitor disease progression and response to treatment.

Abstract Image

Abstract Image

Abstract Image

一名成人患者的朗格汉斯细胞组织细胞增生症模仿脑膜病变,伴有颞骨和肌肉损伤:病例报告。
导言朗格汉斯细胞组织细胞增生症(Langerhans cell histiocytosis,LCH)是一种罕见的增生性全身性疾病,其特点是树突状细胞异常生长和广泛累及器官。该病可累及所有年龄段的人,但最常见的是儿童,幼儿的发病率最高。受累器官或系统不同,症状也会不同。病例报告 一名 43 岁的男子因左颞部刺痛头痛就诊,经治疗和服用非甾体抗炎药后无反应。初步评估显示,左侧颞部轴外病变呈对比增强型,骨骼和肌肉受损。鉴别诊断包括多发性骨髓瘤。除了脾脏肿大和左肺残留肉芽肿外,初步实验室检查和影像学检查未发现其他异常。建议对病灶进行整体切除。患者接受了手术治疗,包括切除硬脑膜病变和颞肌内浸润性肿瘤的所有边界以及左颞骨的受影响部分。术后病理检查显示为 LCH。术后恢复顺利。病理结果确诊后,医生安排了复诊。术后 3 个月,患者继续接受随访。进一步的评估还在进行中。讨论 本病例报告涉及一名 LCH 患者。这些患者需要根据局部或全身受累情况进行个体化分层,以确定最合适的治疗方式。这是一个罕见病例,因为 LCH 在老年患者中非常罕见,而且最初出现的病变模仿脑膜瘤;然而,其不典型的行为和相关的淋巴结损害导致了对可能的鉴别诊断的考虑。结论 LCH 可表现为溶解性骨病变,模仿其他病症,包括浸润性肿瘤病变。早期诊断和适当的手术治疗对患者获得最佳治疗效果至关重要。长期随访对监测疾病进展和治疗反应至关重要。
本文章由计算机程序翻译,如有差异,请以英文原文为准。
求助全文
约1分钟内获得全文 求助全文
来源期刊
自引率
0.00%
发文量
31
审稿时长
12 weeks
×
引用
GB/T 7714-2015
复制
MLA
复制
APA
复制
导出至
BibTeX EndNote RefMan NoteFirst NoteExpress
×
提示
您的信息不完整,为了账户安全,请先补充。
现在去补充
×
提示
您因"违规操作"
具体请查看互助需知
我知道了
×
提示
确定
请完成安全验证×
copy
已复制链接
快去分享给好友吧!
我知道了
右上角分享
点击右上角分享
0
联系我们:info@booksci.cn Book学术提供免费学术资源搜索服务,方便国内外学者检索中英文文献。致力于提供最便捷和优质的服务体验。 Copyright © 2023 布克学术 All rights reserved.
京ICP备2023020795号-1
ghs 京公网安备 11010802042870号
Book学术文献互助
Book学术文献互助群
群 号:604180095
Book学术官方微信