Autopsy findings of fatal retroperitoneal hemorrhage after traumatic rupture of bilateral renal angiomyolipoma.

Q4 Medicine
Autopsy and Case Reports Pub Date : 2024-03-15 eCollection Date: 2024-01-01 DOI:10.4322/acr.2024.482
Enrico De Dominicis, Gian Luca Marella, Gabriele Giuga, Giulia Ceccobelli, Luca Savino, Alessandro Mauro Tavone
{"title":"Autopsy findings of fatal retroperitoneal hemorrhage after traumatic rupture of bilateral renal angiomyolipoma.","authors":"Enrico De Dominicis, Gian Luca Marella, Gabriele Giuga, Giulia Ceccobelli, Luca Savino, Alessandro Mauro Tavone","doi":"10.4322/acr.2024.482","DOIUrl":null,"url":null,"abstract":"<p><p>The present work reports the autopsy findings of a unique case characterized by fatal retroperitoneal hemorrhage following the traumatic rupture of bilateral renal angiomyolipomas. Renal angiomyolipomas are generally benign tumors with an unpredictable clinical course, ranging from asymptomatic to sudden rupture and hemorrhagic shock. They may be associated with genetic disorders such as tuberous sclerosis complex. The case under investigation is unprecedented in the medical literature due to its bilateral nature and fatal outcome. Autopsy analysis revealed an extensive retroperitoneal hemorrhage originating from bilateral ruptured tumors. Microscopic examination found features consistent with bilateral renal angiomyolipoma. Circumstantial information identified a traffic accident before the death, considering it as the cause of the tumors' traumatic rupture. In this case, due to the severity of the situation, immediate medical measures-such as fluid resuscitation, coagulopathy correction, and surgical treatment, which are usually lifesaving-could not be performed. This led to the patient being declared dead at the scene of the crash.</p>","PeriodicalId":53117,"journal":{"name":"Autopsy and Case Reports","volume":"14 ","pages":"e2024482"},"PeriodicalIF":0.0000,"publicationDate":"2024-03-15","publicationTypes":"Journal Article","fieldsOfStudy":null,"isOpenAccess":false,"openAccessPdf":"https://www.ncbi.nlm.nih.gov/pmc/articles/PMC10984609/pdf/","citationCount":"0","resultStr":null,"platform":"Semanticscholar","paperid":null,"PeriodicalName":"Autopsy and Case Reports","FirstCategoryId":"1085","ListUrlMain":"https://doi.org/10.4322/acr.2024.482","RegionNum":0,"RegionCategory":null,"ArticlePicture":[],"TitleCN":null,"AbstractTextCN":null,"PMCID":null,"EPubDate":"2024/1/1 0:00:00","PubModel":"eCollection","JCR":"Q4","JCRName":"Medicine","Score":null,"Total":0}
引用次数: 0

Abstract

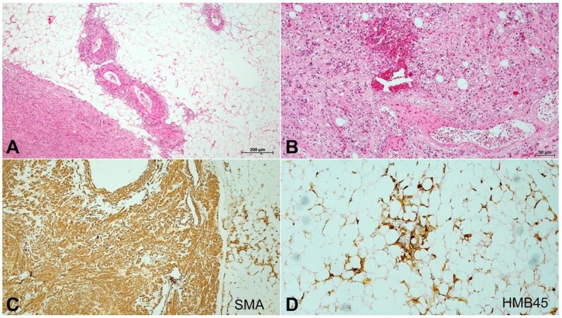
The present work reports the autopsy findings of a unique case characterized by fatal retroperitoneal hemorrhage following the traumatic rupture of bilateral renal angiomyolipomas. Renal angiomyolipomas are generally benign tumors with an unpredictable clinical course, ranging from asymptomatic to sudden rupture and hemorrhagic shock. They may be associated with genetic disorders such as tuberous sclerosis complex. The case under investigation is unprecedented in the medical literature due to its bilateral nature and fatal outcome. Autopsy analysis revealed an extensive retroperitoneal hemorrhage originating from bilateral ruptured tumors. Microscopic examination found features consistent with bilateral renal angiomyolipoma. Circumstantial information identified a traffic accident before the death, considering it as the cause of the tumors' traumatic rupture. In this case, due to the severity of the situation, immediate medical measures-such as fluid resuscitation, coagulopathy correction, and surgical treatment, which are usually lifesaving-could not be performed. This led to the patient being declared dead at the scene of the crash.

Abstract Image

Abstract Image

Abstract Image

双侧肾血管脂肪瘤外伤性破裂后腹膜后出血致死的尸检结果。
本研究报告了一个独特病例的尸检结果,该病例的特点是双侧肾血管肌脂肪瘤外伤性破裂后腹膜后出血致死。肾血管肌脂肪瘤通常是良性肿瘤,临床病程难以预测,从无症状到突然破裂和失血性休克不等。它们可能与遗传性疾病(如结节性硬化综合征)有关。本次调查的病例是医学文献中前所未有的,因为它具有双侧性和致命的结果。尸检分析显示,广泛的腹膜后出血源于双侧肿瘤破裂。显微镜检查发现其特征与双侧肾血管肌脂肪瘤一致。根据间接资料,死者生前曾发生过交通事故,因此被认为是肿瘤创伤性破裂的原因。在该病例中,由于情况严重,无法立即采取医疗措施,如液体复苏、凝血病纠正和手术治疗等通常能挽救生命的措施。这导致病人在车祸现场被宣布死亡。
本文章由计算机程序翻译,如有差异,请以英文原文为准。
求助全文
约1分钟内获得全文 求助全文
来源期刊
Autopsy and Case Reports
Autopsy and Case Reports Medicine-Internal Medicine
CiteScore
1.20
自引率
0.00%
发文量
60
审稿时长
9 weeks
×
引用
GB/T 7714-2015
复制
MLA
复制
APA
复制
导出至
BibTeX EndNote RefMan NoteFirst NoteExpress
×
提示
您的信息不完整,为了账户安全,请先补充。
现在去补充
×
提示
您因"违规操作"
具体请查看互助需知
我知道了
×
提示
确定
请完成安全验证×
copy
已复制链接
快去分享给好友吧!
我知道了
右上角分享
点击右上角分享
0
联系我们:info@booksci.cn Book学术提供免费学术资源搜索服务,方便国内外学者检索中英文文献。致力于提供最便捷和优质的服务体验。 Copyright © 2023 布克学术 All rights reserved.
京ICP备2023020795号-1
ghs 京公网安备 11010802042870号
Book学术文献互助
Book学术文献互助群
群 号:604180095
Book学术官方微信