Effect of recombinant human bone morphogenetic protein-2 and osteoprotegerin-Fc in MC3T3-E1 cells.

IF 3 Q3 RHEUMATOLOGY
Journal of Rheumatic Diseases Pub Date : 2024-04-01 Epub Date: 2024-02-01 DOI:10.4078/jrd.2023.0043
Sang-Hyon Kim, Hye-Jung Choi, Sang-Min Lee, Dae Sung Yoon, Chang-Nam Son
{"title":"Effect of recombinant human bone morphogenetic protein-2 and osteoprotegerin-Fc in MC3T3-E1 cells.","authors":"Sang-Hyon Kim, Hye-Jung Choi, Sang-Min Lee, Dae Sung Yoon, Chang-Nam Son","doi":"10.4078/jrd.2023.0043","DOIUrl":null,"url":null,"abstract":"<p><strong>Objective: </strong>We compared the osteoblastogenesis by serially administrating recombinant human bone morphogenetic protein-2 (rhBMP-2) and osteoprotegerin-immunoglobulin Fc segment complex (OPG-Fc).</p><p><strong>Methods: </strong>The MC3T3-E1 preosteoblast cell line was differentiated for 1, 3, and 7 days with a treatment of OPG-Fc in 10~200 ng/mL concentration and the cell viability was evaluated by Cell Counting Kit-8 analysis. The level of differentiation from MC3T3-E1 cells to osteoblasts was determined by alkaline phosphatase activity. The level of runt domain-containing transcription factor 2 (Runx2) and osteopontin (OPN) manifestation, involved in osteoblast differentiation, was examined by real-time polymerase chain reaction and western blotting.</p><p><strong>Results: </strong>During MC3T3-E1 cell differentiation, the differentiation level was high with 1-day treatment using 100 ng/mL OPG-Fc. The treatment with 50 ng/mL rhBMP-2 for 7 days, followed by 1-day treatment with 100 ng/mL OPG-Fc produced the highest differentiation level, which was approximately 5.3 times that of the control group (p<0.05). The expression of Runx2 mRNA significantly increased, reaching 2.5 times the level of the control group under the condition of 7-day treatment with rhBMP-2 and 1-day treatment with OPG-Fc (p<0.001). The expression of Runx2 protein significantly increased to approximately 5.7 times that of the control group under the condition of 7-day treatment with rhBMP-2, followed by 1-day treatment with OPG-Fc (p<0.01). The expression of OPN protein showed no change from that of the control group under various conditions of rhBMP-2 and OPG-Fc combinations.</p><p><strong>Conclusion: </strong>These results imply that the treating preosteoblasts with rhBMP-2 first and then with OPG-Fc increased osteoblast differentiation efficacy.</p>","PeriodicalId":56161,"journal":{"name":"Journal of Rheumatic Diseases","volume":"31 2","pages":"79-85"},"PeriodicalIF":3.0000,"publicationDate":"2024-04-01","publicationTypes":"Journal Article","fieldsOfStudy":null,"isOpenAccess":false,"openAccessPdf":"https://www.ncbi.nlm.nih.gov/pmc/articles/PMC10973356/pdf/","citationCount":"0","resultStr":null,"platform":"Semanticscholar","paperid":null,"PeriodicalName":"Journal of Rheumatic Diseases","FirstCategoryId":"1085","ListUrlMain":"https://doi.org/10.4078/jrd.2023.0043","RegionNum":0,"RegionCategory":null,"ArticlePicture":[],"TitleCN":null,"AbstractTextCN":null,"PMCID":null,"EPubDate":"2024/2/1 0:00:00","PubModel":"Epub","JCR":"Q3","JCRName":"RHEUMATOLOGY","Score":null,"Total":0}
引用次数: 0

Abstract

Objective: We compared the osteoblastogenesis by serially administrating recombinant human bone morphogenetic protein-2 (rhBMP-2) and osteoprotegerin-immunoglobulin Fc segment complex (OPG-Fc).

Methods: The MC3T3-E1 preosteoblast cell line was differentiated for 1, 3, and 7 days with a treatment of OPG-Fc in 10~200 ng/mL concentration and the cell viability was evaluated by Cell Counting Kit-8 analysis. The level of differentiation from MC3T3-E1 cells to osteoblasts was determined by alkaline phosphatase activity. The level of runt domain-containing transcription factor 2 (Runx2) and osteopontin (OPN) manifestation, involved in osteoblast differentiation, was examined by real-time polymerase chain reaction and western blotting.

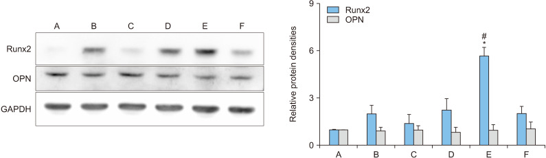
Results: During MC3T3-E1 cell differentiation, the differentiation level was high with 1-day treatment using 100 ng/mL OPG-Fc. The treatment with 50 ng/mL rhBMP-2 for 7 days, followed by 1-day treatment with 100 ng/mL OPG-Fc produced the highest differentiation level, which was approximately 5.3 times that of the control group (p<0.05). The expression of Runx2 mRNA significantly increased, reaching 2.5 times the level of the control group under the condition of 7-day treatment with rhBMP-2 and 1-day treatment with OPG-Fc (p<0.001). The expression of Runx2 protein significantly increased to approximately 5.7 times that of the control group under the condition of 7-day treatment with rhBMP-2, followed by 1-day treatment with OPG-Fc (p<0.01). The expression of OPN protein showed no change from that of the control group under various conditions of rhBMP-2 and OPG-Fc combinations.

Conclusion: These results imply that the treating preosteoblasts with rhBMP-2 first and then with OPG-Fc increased osteoblast differentiation efficacy.

Abstract Image

Abstract Image

Abstract Image

重组人骨形态发生蛋白-2 和骨保护蛋白-Fc 在 MC3T3-E1 细胞中的作用。
目的我们比较了连续给予重组人骨形态发生蛋白-2(rhBMP-2)和骨保护剂-免疫球蛋白 Fc 段复合物(OPG-Fc)的成骨作用:用 10~200 ng/mL 浓度的 OPG-Fc 对 MC3T3-E1 前成骨细胞系进行 1、3 和 7 天的分化,并用细胞计数试剂盒-8 分析评估细胞活力。通过碱性磷酸酶活性测定 MC3T3-E1 细胞向成骨细胞的分化水平。实时聚合酶链反应和免疫印迹法检测了参与成骨细胞分化的含runt结构域转录因子2(Runx2)和骨生成素(OPN)的表达水平:结果:在 MC3T3-E1 细胞分化过程中,使用 100 ng/mL OPG-Fc 处理 1 天,分化水平较高。用 50 ng/mL rhBMP-2 处理 7 天后,再用 100 ng/mL OPG-Fc 处理 1 天,分化水平最高,约为对照组的 5.3 倍(pConclusion):这些结果表明,先用 rhBMP-2 处理前成骨细胞,然后再用 OPG-Fc 处理,可提高成骨细胞的分化效率。
本文章由计算机程序翻译,如有差异,请以英文原文为准。
求助全文
约1分钟内获得全文 求助全文
来源期刊
CiteScore
2.30
自引率
5.00%
发文量
39
×
引用
GB/T 7714-2015
复制
MLA
复制
APA
复制
导出至
BibTeX EndNote RefMan NoteFirst NoteExpress
×
提示
您的信息不完整,为了账户安全,请先补充。
现在去补充
×
提示
您因"违规操作"
具体请查看互助需知
我知道了
×
提示
确定
请完成安全验证×
copy
已复制链接
快去分享给好友吧!
我知道了
右上角分享
点击右上角分享
0
联系我们:info@booksci.cn Book学术提供免费学术资源搜索服务,方便国内外学者检索中英文文献。致力于提供最便捷和优质的服务体验。 Copyright © 2023 布克学术 All rights reserved.
京ICP备2023020795号-1
ghs 京公网安备 11010802042870号
Book学术文献互助
Book学术文献互助群
群 号:604180095
Book学术官方微信