Neuroendocrine breast carcinoma.

Q4 Medicine
Autopsy and Case Reports Pub Date : 2024-03-21 eCollection Date: 2024-01-01 DOI:10.4322/acr.2024.484
Laura Pratas Guerra, Joana Simões, Diogo Carvalho Sá, José Polónia, António Araújo
{"title":"Neuroendocrine breast carcinoma.","authors":"Laura Pratas Guerra, Joana Simões, Diogo Carvalho Sá, José Polónia, António Araújo","doi":"10.4322/acr.2024.484","DOIUrl":null,"url":null,"abstract":"<p><p>Neuroendocrine breast cancer (NEBC) is a rare and heterogeneous entity. It most commonly presents a luminal phenotype and a worse prognosis. When diagnosed in an advanced stage, metastasis from another neuroendocrine tumor should be excluded. This case features a premenopausal woman with an oligometastatic breast large cell neuroendocrine carcinoma, estrogen receptor (ER) positive, and human epidermal growth factor receptor 2 (HER2) negative. Since the patient was very symptomatic at the presentation of the disease, chemotherapy was started. Complete radiological response of the metastatic disease was achieved, and the patient was then submitted to radical breast surgery and bilateral oophorectomy. She subsequently underwent radiation therapy. Since then and to date, she has been under endocrine therapy (ET) and a CDK4/6 inhibitor (CDK4/6i), with no evidence of malignant disease. Evidence to guide the choice of treatment for these tumors is currently scarce. In cases with oligometastatic disease, radical treatment should be considered. Given that this entity is rare, its reporting should be encouraged.</p>","PeriodicalId":53117,"journal":{"name":"Autopsy and Case Reports","volume":"14 ","pages":"e2024484"},"PeriodicalIF":0.0000,"publicationDate":"2024-03-21","publicationTypes":"Journal Article","fieldsOfStudy":null,"isOpenAccess":false,"openAccessPdf":"https://www.ncbi.nlm.nih.gov/pmc/articles/PMC10984608/pdf/","citationCount":"0","resultStr":null,"platform":"Semanticscholar","paperid":null,"PeriodicalName":"Autopsy and Case Reports","FirstCategoryId":"1085","ListUrlMain":"https://doi.org/10.4322/acr.2024.484","RegionNum":0,"RegionCategory":null,"ArticlePicture":[],"TitleCN":null,"AbstractTextCN":null,"PMCID":null,"EPubDate":"2024/1/1 0:00:00","PubModel":"eCollection","JCR":"Q4","JCRName":"Medicine","Score":null,"Total":0}
引用次数: 0

Abstract

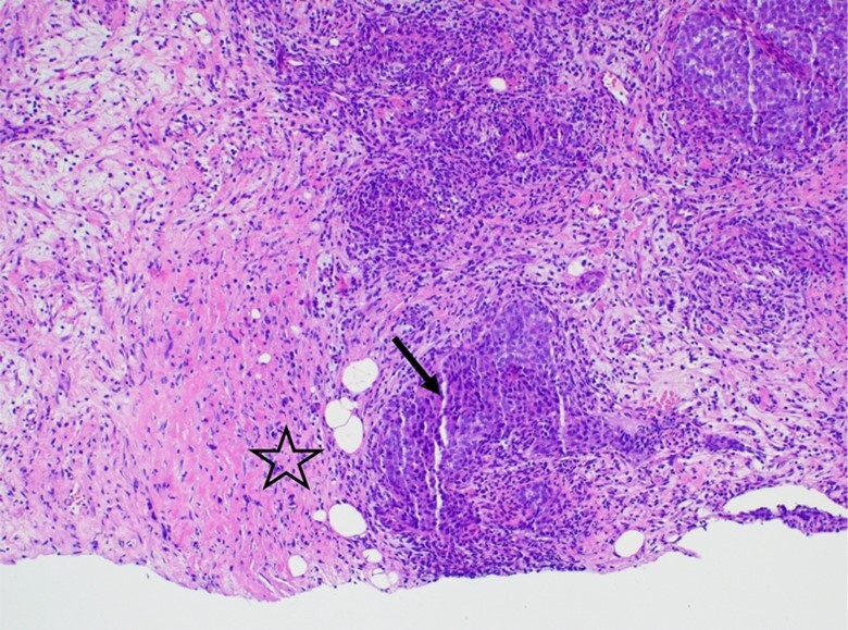
Neuroendocrine breast cancer (NEBC) is a rare and heterogeneous entity. It most commonly presents a luminal phenotype and a worse prognosis. When diagnosed in an advanced stage, metastasis from another neuroendocrine tumor should be excluded. This case features a premenopausal woman with an oligometastatic breast large cell neuroendocrine carcinoma, estrogen receptor (ER) positive, and human epidermal growth factor receptor 2 (HER2) negative. Since the patient was very symptomatic at the presentation of the disease, chemotherapy was started. Complete radiological response of the metastatic disease was achieved, and the patient was then submitted to radical breast surgery and bilateral oophorectomy. She subsequently underwent radiation therapy. Since then and to date, she has been under endocrine therapy (ET) and a CDK4/6 inhibitor (CDK4/6i), with no evidence of malignant disease. Evidence to guide the choice of treatment for these tumors is currently scarce. In cases with oligometastatic disease, radical treatment should be considered. Given that this entity is rare, its reporting should be encouraged.

Abstract Image

Abstract Image

神经内分泌性乳腺癌
神经内分泌乳腺癌(NEBC)是一种罕见的异质性实体。它通常表现为腔隙表型,预后较差。当诊断为晚期时,应排除来自其他神经内分泌肿瘤的转移。本病例的患者是一名绝经前女性,患有寡转移性乳腺大细胞神经内分泌癌,雌激素受体(ER)阳性,人类表皮生长因子受体2(HER2)阴性。由于患者发病时症状严重,因此开始接受化疗。转移性疾病获得了完全的放射学反应,患者随后接受了乳腺癌根治术和双侧输卵管切除术。随后,她接受了放射治疗。此后至今,她一直在接受内分泌治疗(ET)和 CDK4/6 抑制剂(CDK4/6i),没有发现恶性疾病的迹象。目前,指导这些肿瘤治疗选择的证据还很少。对于少转移病例,应考虑根治性治疗。鉴于这种情况很少见,应鼓励对其进行报道。
本文章由计算机程序翻译,如有差异,请以英文原文为准。
求助全文
约1分钟内获得全文 求助全文
来源期刊
Autopsy and Case Reports
Autopsy and Case Reports Medicine-Internal Medicine
CiteScore
1.20
自引率
0.00%
发文量
60
审稿时长
9 weeks
×
引用
GB/T 7714-2015
复制
MLA
复制
APA
复制
导出至
BibTeX EndNote RefMan NoteFirst NoteExpress
×
提示
您的信息不完整,为了账户安全,请先补充。
现在去补充
×
提示
您因"违规操作"
具体请查看互助需知
我知道了
×
提示
确定
请完成安全验证×
copy
已复制链接
快去分享给好友吧!
我知道了
右上角分享
点击右上角分享
0
联系我们:info@booksci.cn Book学术提供免费学术资源搜索服务,方便国内外学者检索中英文文献。致力于提供最便捷和优质的服务体验。 Copyright © 2023 布克学术 All rights reserved.
京ICP备2023020795号-1
ghs 京公网安备 11010802042870号
Book学术文献互助
Book学术文献互助群
群 号:604180095
Book学术官方微信