Prognosis of subsequent pregnancy in uterine necrosis after uterine artery embolization.

IF 1.9 Q2 OBSTETRICS & GYNECOLOGY
Obstetrics and Gynecology Science Pub Date : 2024-05-01 Epub Date: 2024-04-02 DOI:10.5468/ogs.23287
Kyung Eun Lee, Seon Ui Lee, Jun Kang, Hyun Wook Lim, In Yang Park, Min Jeong Kim
{"title":"Prognosis of subsequent pregnancy in uterine necrosis after uterine artery embolization.","authors":"Kyung Eun Lee, Seon Ui Lee, Jun Kang, Hyun Wook Lim, In Yang Park, Min Jeong Kim","doi":"10.5468/ogs.23287","DOIUrl":null,"url":null,"abstract":"<p><p>In an 8-year period at two medical center, 138 patients underwent uterine artery embolization, and 11 of them were diagnosed with uterine necrosis. Among them, three were successfully conceived. However, one of them developed an arteriovenous malformation after an artificial abortion, and another experienced complications, including placenta previa and placenta accreta spectrum, which resulted in early preterm delivery and recurrent postpartum hemorrhage, necessitating subtotal hysterectomy. Therefore, it is crucial to prepare for potential adverse pregnancy outcomes in subsequent pregnancies for patients with a history of uterine necrosis.</p>","PeriodicalId":37602,"journal":{"name":"Obstetrics and Gynecology Science","volume":" ","pages":"335-338"},"PeriodicalIF":1.9000,"publicationDate":"2024-05-01","publicationTypes":"Journal Article","fieldsOfStudy":null,"isOpenAccess":false,"openAccessPdf":"https://www.ncbi.nlm.nih.gov/pmc/articles/PMC11099095/pdf/","citationCount":"0","resultStr":null,"platform":"Semanticscholar","paperid":null,"PeriodicalName":"Obstetrics and Gynecology Science","FirstCategoryId":"1085","ListUrlMain":"https://doi.org/10.5468/ogs.23287","RegionNum":0,"RegionCategory":null,"ArticlePicture":[],"TitleCN":null,"AbstractTextCN":null,"PMCID":null,"EPubDate":"2024/4/2 0:00:00","PubModel":"Epub","JCR":"Q2","JCRName":"OBSTETRICS & GYNECOLOGY","Score":null,"Total":0}
引用次数: 0

Abstract

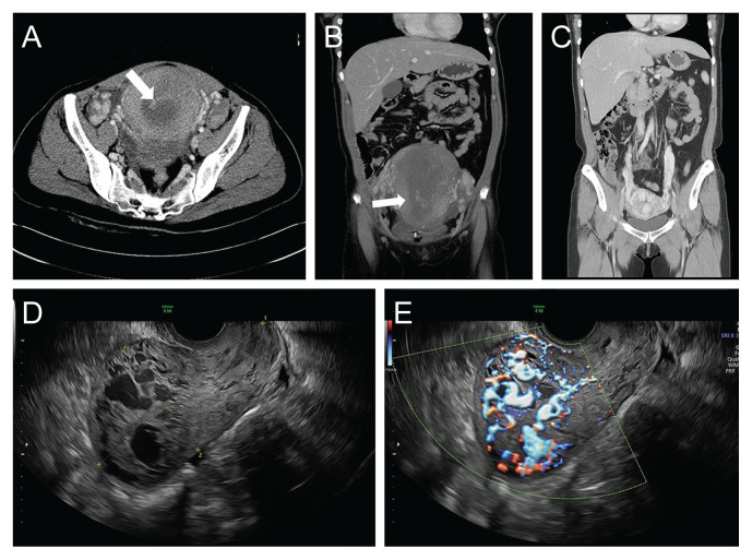
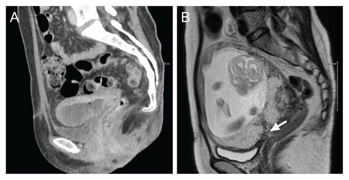
In an 8-year period at two medical center, 138 patients underwent uterine artery embolization, and 11 of them were diagnosed with uterine necrosis. Among them, three were successfully conceived. However, one of them developed an arteriovenous malformation after an artificial abortion, and another experienced complications, including placenta previa and placenta accreta spectrum, which resulted in early preterm delivery and recurrent postpartum hemorrhage, necessitating subtotal hysterectomy. Therefore, it is crucial to prepare for potential adverse pregnancy outcomes in subsequent pregnancies for patients with a history of uterine necrosis.

Abstract Image

Abstract Image

子宫动脉栓塞术后子宫坏死患者再次怀孕的预后。
在两家医疗中心的 8 年间,138 名患者接受了子宫动脉栓塞术,其中 11 人被诊断为子宫坏死。其中 3 人成功受孕。但其中一人在人工流产后出现动静脉畸形,另一人出现前置胎盘和胎盘早剥等并发症,导致早产和反复产后出血,不得不进行子宫次全切除术。因此,对于有子宫坏死病史的患者来说,为以后怀孕可能出现的不良妊娠结局做好准备至关重要。
本文章由计算机程序翻译,如有差异,请以英文原文为准。
求助全文
约1分钟内获得全文 求助全文
来源期刊
Obstetrics and Gynecology Science
Obstetrics and Gynecology Science Medicine-Obstetrics and Gynecology
CiteScore
3.80
自引率
15.80%
发文量
58
审稿时长
16 weeks
期刊介绍: Obstetrics & Gynecology Science (NLM title: Obstet Gynecol Sci) is an international peer-review journal that published basic, translational, clinical research, and clinical practice guideline to promote women’s health and prevent obstetric and gynecologic disorders. The journal has an international editorial board and is published in English on the 15th day of every other month. Submitted manuscripts should not contain previously published material and should not be under consideration for publication elsewhere. The journal has been publishing articles since 1958. The aim of the journal is to publish original articles, reviews, case reports, short communications, letters to the editor, and video articles that have the potential to change the practices in women''s health care. The journal’s main focus is the diagnosis, treatment, prediction, and prevention of obstetric and gynecologic disorders. Because the life expectancy of Korean and Asian women is increasing, the journal''s editors are particularly interested in the health of elderly women in these population groups. The journal also publishes articles about reproductive biology, stem cell research, and artificial intelligence research for women; additionally, it provides insights into the physiology and mechanisms of obstetric and gynecologic diseases.
×
引用
GB/T 7714-2015
复制
MLA
复制
APA
复制
导出至
BibTeX EndNote RefMan NoteFirst NoteExpress
×
提示
您的信息不完整,为了账户安全,请先补充。
现在去补充
×
提示
您因"违规操作"
具体请查看互助需知
我知道了
×
提示
确定
请完成安全验证×
copy
已复制链接
快去分享给好友吧!
我知道了
右上角分享
点击右上角分享
0
联系我们:info@booksci.cn Book学术提供免费学术资源搜索服务,方便国内外学者检索中英文文献。致力于提供最便捷和优质的服务体验。 Copyright © 2023 布克学术 All rights reserved.
京ICP备2023020795号-1
ghs 京公网安备 11010802042870号
Book学术文献互助
Book学术文献互助群
群 号:604180095
Book学术官方微信