External validation of the Brain Tumour Reporting and Data System (BT-RADS) in the multidisciplinary managementof post-treatment gliomas.

Polish journal of radiology Pub Date : 2024-03-15 eCollection Date: 2024-01-01 DOI:10.5114/pjr.2024.136390
Kamaxi Hitendrakumar Trivedi, Amrita Guha, Meenakshi Thakur, Abhishek Mahajan, Pallavi Bhole, Tejpal Gupta
{"title":"External validation of the Brain Tumour Reporting and Data System (BT-RADS) in the multidisciplinary managementof post-treatment gliomas.","authors":"Kamaxi Hitendrakumar Trivedi, Amrita Guha, Meenakshi Thakur, Abhishek Mahajan, Pallavi Bhole, Tejpal Gupta","doi":"10.5114/pjr.2024.136390","DOIUrl":null,"url":null,"abstract":"<p><strong>Purpose: </strong>To independently and externally validate the Brain Tumour Reporting and Data System (BT-RADS) for post-treatment gliomas and assess interobserver variability.</p><p><strong>Material and methods: </strong>In this retrospective observational study, consecutive MRIs of 100 post-treatment glioma patients were reviewed by two independent radiologists (RD1 and RD2) and assigned a BT-RADS score. Inter-observer agreement statistics were determined by kappa statistics. The BT-RADS-linked management recommendations per score were compared with the multidisciplinary meeting (MDM) decisions.</p><p><strong>Results: </strong>The overall agreement rate between RD1 and RD2 was 62.7% (κ = 0.67). The agreement rate between RD1 and consensus was 83.3% (κ = 0.85), while the agreement between RD2 and consensus was 69.3% (κ = 0.79). Among the radiologists, agreement was highest for score 2 and lowest for score 3b. There was a 97.9% agreement between BT-RADS-linked management recommendations and MDM decisions.</p><p><strong>Conclusions: </strong>BT-RADS scoring led to improved consistency, and standardised language in the structured MRI reporting of post-treatment brain tumours. It demonstrated good overall agreement among the reporting radiologists at both extremes; however, variation rates increased in the middle part of the spectrum. The interpretation categories linked to management decisions showed a near-perfect match with MDM decisions.</p>","PeriodicalId":94174,"journal":{"name":"Polish journal of radiology","volume":"89 ","pages":"e148-e155"},"PeriodicalIF":0.0000,"publicationDate":"2024-03-15","publicationTypes":"Journal Article","fieldsOfStudy":null,"isOpenAccess":false,"openAccessPdf":"https://www.ncbi.nlm.nih.gov/pmc/articles/PMC10976615/pdf/","citationCount":"0","resultStr":null,"platform":"Semanticscholar","paperid":null,"PeriodicalName":"Polish journal of radiology","FirstCategoryId":"1085","ListUrlMain":"https://doi.org/10.5114/pjr.2024.136390","RegionNum":0,"RegionCategory":null,"ArticlePicture":[],"TitleCN":null,"AbstractTextCN":null,"PMCID":null,"EPubDate":"2024/1/1 0:00:00","PubModel":"eCollection","JCR":"","JCRName":"","Score":null,"Total":0}
引用次数: 0

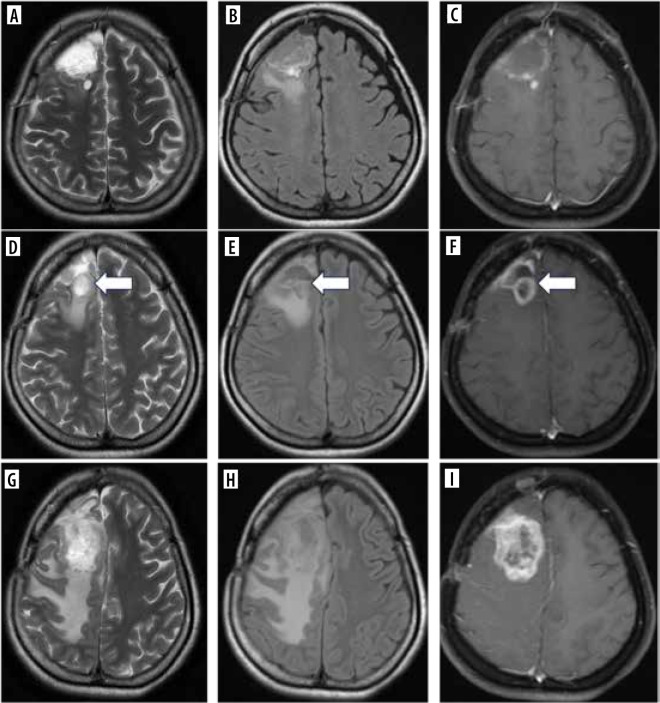
Abstract

Purpose: To independently and externally validate the Brain Tumour Reporting and Data System (BT-RADS) for post-treatment gliomas and assess interobserver variability.

Material and methods: In this retrospective observational study, consecutive MRIs of 100 post-treatment glioma patients were reviewed by two independent radiologists (RD1 and RD2) and assigned a BT-RADS score. Inter-observer agreement statistics were determined by kappa statistics. The BT-RADS-linked management recommendations per score were compared with the multidisciplinary meeting (MDM) decisions.

Results: The overall agreement rate between RD1 and RD2 was 62.7% (κ = 0.67). The agreement rate between RD1 and consensus was 83.3% (κ = 0.85), while the agreement between RD2 and consensus was 69.3% (κ = 0.79). Among the radiologists, agreement was highest for score 2 and lowest for score 3b. There was a 97.9% agreement between BT-RADS-linked management recommendations and MDM decisions.

Conclusions: BT-RADS scoring led to improved consistency, and standardised language in the structured MRI reporting of post-treatment brain tumours. It demonstrated good overall agreement among the reporting radiologists at both extremes; however, variation rates increased in the middle part of the spectrum. The interpretation categories linked to management decisions showed a near-perfect match with MDM decisions.

Abstract Image

Abstract Image

Abstract Image

脑肿瘤报告和数据系统(BT-RADS)在治疗后胶质瘤多学科管理中的外部验证。
目的:对治疗后胶质瘤的脑肿瘤报告和数据系统(BT-RADS)进行独立和外部验证,并评估观察者之间的差异性:在这项回顾性观察研究中,由两名独立的放射科医生(RD1 和 RD2)对 100 名治疗后胶质瘤患者的连续 MRI 进行审查,并给予 BT-RADS 评分。观察者之间的一致性统计由卡帕统计确定。将每项评分与 BT-RADS 相关的管理建议与多学科会议(MDM)的决定进行比较:结果:RD1 和 RD2 的总体一致率为 62.7%(κ = 0.67)。RD1 与共识的一致率为 83.3%(κ = 0.85),而 RD2 与共识的一致率为 69.3%(κ = 0.79)。在放射科医生中,评分 2 的一致性最高,评分 3b 的一致性最低。BT-RADS 相关管理建议与 MDM 决定之间的一致性为 97.9%:结论:BT-RADS评分提高了治疗后脑肿瘤核磁共振成像结构化报告的一致性和标准化语言。在两个极端的报告中,放射科医生之间的整体一致性都很好;但在中间部分,差异率有所增加。与管理决定相关的解释类别与 MDM 的决定几乎完全吻合。
本文章由计算机程序翻译,如有差异,请以英文原文为准。
求助全文
约1分钟内获得全文 求助全文
来源期刊
CiteScore
2.10
自引率
0.00%
发文量
0
×
引用
GB/T 7714-2015
复制
MLA
复制
APA
复制
导出至
BibTeX EndNote RefMan NoteFirst NoteExpress
×
提示
您的信息不完整,为了账户安全,请先补充。
现在去补充
×
提示
您因"违规操作"
具体请查看互助需知
我知道了
×
提示
确定
请完成安全验证×
copy
已复制链接
快去分享给好友吧!
我知道了
右上角分享
点击右上角分享
0
联系我们:info@booksci.cn Book学术提供免费学术资源搜索服务,方便国内外学者检索中英文文献。致力于提供最便捷和优质的服务体验。 Copyright © 2023 布克学术 All rights reserved.
京ICP备2023020795号-1
ghs 京公网安备 11010802042870号
Book学术文献互助
Book学术文献互助群
群 号:604180095
Book学术官方微信