Meningoencephalitis in a novel mutation in MNGIE (mitochondrial neurogastrointestinal encephalomyopathy) ending a familial diagnostic odyssey: A case series report.

IF 2.8 Q2 CLINICAL NEUROLOGY
Journal of Central Nervous System Disease Pub Date : 2024-03-27 eCollection Date: 2024-01-01 DOI:10.1177/11795735241241423
Noor Redha, Zahra Al-Sahlawi, Hasan Hasan, Sara Ghareeb, Hani Humaidan
{"title":"Meningoencephalitis in a novel mutation in MNGIE (mitochondrial neurogastrointestinal encephalomyopathy) ending a familial diagnostic odyssey: A case series report.","authors":"Noor Redha, Zahra Al-Sahlawi, Hasan Hasan, Sara Ghareeb, Hani Humaidan","doi":"10.1177/11795735241241423","DOIUrl":null,"url":null,"abstract":"<p><p>MNGIE (Mitochondrial Neurogastrointestinal Encephalomyopathy) is an ultra-rare autosomal recessive disorder that leads to mutations in the nuclear genes encoding thymidine phosphorylase. Symptoms include gastrointestinal dysmotility, cachexia, ptosis, external ophthalmoplegia, sensorimotor neuropathy and asymptomatic leukoencephalopathy. We describe the first case of MNGIE with meningoencephalitis that ultimately led to a familial diagnosis ending a diagnostic odyssey. We retrospectively reviewed the electronic medical records and sent whole exome sequencing for the index case and his family members. We report the variant c.877T>C p.(Cys293Arg) found in <i>TYMP</i> gene in all affected siblings showed typical clinical manifestations related to MNGIE. To the best of our knowledge, this is not described in the literature nor in the population databases dbSNP (Single Nucleotide Polymorphism Database) and gnomAD (Genome Aggregation Database). Additionally, it is located in a highly conserved residue and the bioinformatic analysis suggests it is most probably deleterious. Moreover, we estimated 550 number of cases of MNGIE (including 5 cases in this study) after performing an extensive search in the literature across 3 databases from 1983-2023. In addition, we identified 44 patients with MNGIE-like phenotype in genes other than <i>TYMP</i>. MNGIE-like phenotype affects <i>POLG1</i>, <i>RRM2B, LIG3, RRM1, MTTV1</i>, and <i>MT-RNR1</i> genes.</p>","PeriodicalId":15218,"journal":{"name":"Journal of Central Nervous System Disease","volume":"16 ","pages":"11795735241241423"},"PeriodicalIF":2.8000,"publicationDate":"2024-03-27","publicationTypes":"Journal Article","fieldsOfStudy":null,"isOpenAccess":false,"openAccessPdf":"https://www.ncbi.nlm.nih.gov/pmc/articles/PMC10976485/pdf/","citationCount":"0","resultStr":null,"platform":"Semanticscholar","paperid":null,"PeriodicalName":"Journal of Central Nervous System Disease","FirstCategoryId":"1085","ListUrlMain":"https://doi.org/10.1177/11795735241241423","RegionNum":0,"RegionCategory":null,"ArticlePicture":[],"TitleCN":null,"AbstractTextCN":null,"PMCID":null,"EPubDate":"2024/1/1 0:00:00","PubModel":"eCollection","JCR":"Q2","JCRName":"CLINICAL NEUROLOGY","Score":null,"Total":0}
引用次数: 0

Abstract

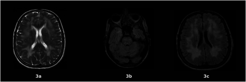
MNGIE (Mitochondrial Neurogastrointestinal Encephalomyopathy) is an ultra-rare autosomal recessive disorder that leads to mutations in the nuclear genes encoding thymidine phosphorylase. Symptoms include gastrointestinal dysmotility, cachexia, ptosis, external ophthalmoplegia, sensorimotor neuropathy and asymptomatic leukoencephalopathy. We describe the first case of MNGIE with meningoencephalitis that ultimately led to a familial diagnosis ending a diagnostic odyssey. We retrospectively reviewed the electronic medical records and sent whole exome sequencing for the index case and his family members. We report the variant c.877T>C p.(Cys293Arg) found in TYMP gene in all affected siblings showed typical clinical manifestations related to MNGIE. To the best of our knowledge, this is not described in the literature nor in the population databases dbSNP (Single Nucleotide Polymorphism Database) and gnomAD (Genome Aggregation Database). Additionally, it is located in a highly conserved residue and the bioinformatic analysis suggests it is most probably deleterious. Moreover, we estimated 550 number of cases of MNGIE (including 5 cases in this study) after performing an extensive search in the literature across 3 databases from 1983-2023. In addition, we identified 44 patients with MNGIE-like phenotype in genes other than TYMP. MNGIE-like phenotype affects POLG1, RRM2B, LIG3, RRM1, MTTV1, and MT-RNR1 genes.

Abstract Image

Abstract Image

Abstract Image

线粒体神经胃肠道脑肌病(MNGIE)新型突变引起的脑膜脑炎结束了家族诊断的奥德赛:病例系列报告。
线粒体神经胃肠道脑肌病(MNGIE)是一种超罕见的常染色体隐性遗传疾病,会导致编码胸苷磷酸化酶的核基因发生突变。症状包括胃肠道运动障碍、恶病质、上睑下垂、外眼肌麻痹、感觉运动神经病和无症状性白质脑病。我们描述了首例伴有脑膜脑炎的 MNGIE 病例,该病例最终被确诊为家族性疾病,从而结束了诊断奥德赛。我们回顾性地查阅了电子病历,并对该病例及其家庭成员进行了全外显子测序。我们报告了在所有受影响的兄弟姐妹中发现的 TYMP 基因变异 c.877T>C p.(Cys293Arg),该变异显示了与 MNGIE 相关的典型临床表现。据我们所知,文献和人口数据库 dbSNP(单核苷酸多态性数据库)和 gnomAD(基因组聚合数据库)中均未对此进行描述。此外,它位于一个高度保守的残基上,生物信息分析表明它很可能是有害的。此外,在对 1983-2023 年间 3 个数据库的文献进行广泛检索后,我们估计了 550 例 MNGIE(包括本研究中的 5 例)。此外,我们还在 TYMP 以外的基因中发现了 44 例具有 MNGIE 样表型的患者。MNGIE样表型影响POLG1、RRM2B、LIG3、RRM1、MTTV1和MT-RNR1基因。
本文章由计算机程序翻译,如有差异,请以英文原文为准。
求助全文
约1分钟内获得全文 求助全文
来源期刊
CiteScore
6.90
自引率
0.00%
发文量
39
审稿时长
8 weeks
×
引用
GB/T 7714-2015
复制
MLA
复制
APA
复制
导出至
BibTeX EndNote RefMan NoteFirst NoteExpress
×
提示
您的信息不完整,为了账户安全,请先补充。
现在去补充
×
提示
您因"违规操作"
具体请查看互助需知
我知道了
×
提示
确定
请完成安全验证×
copy
已复制链接
快去分享给好友吧!
我知道了
右上角分享
点击右上角分享
0
联系我们:info@booksci.cn Book学术提供免费学术资源搜索服务,方便国内外学者检索中英文文献。致力于提供最便捷和优质的服务体验。 Copyright © 2023 布克学术 All rights reserved.
京ICP备2023020795号-1
ghs 京公网安备 11010802042870号
Book学术文献互助
Book学术文献互助群
群 号:604180095
Book学术官方微信