The Causes of Dental Implant Migration into the Maxillary Sinus: A Case Series Study from 25 Years of Experience.

Hamid Mahmood Hashemi, Saba Mohammadi, Farnoosh Razmara
{"title":"The Causes of Dental Implant Migration into the Maxillary Sinus: A Case Series Study from 25 Years of Experience.","authors":"Hamid Mahmood Hashemi, Saba Mohammadi, Farnoosh Razmara","doi":"10.30476/dentjods.2023.95807.1898","DOIUrl":null,"url":null,"abstract":"<p><p>The use of dental implants to restore edentulous jaws has become commonplace. Usually, in the maxilla, following a tooth extraction, the height of alveolar bone decreases. This alteration in bone increases the risk of implants migrating into the sinus. In general, Caldwell-Luc and endoscopic surgery are performed to retrieve dental implants. In this case series, we collected data from 39 patients who had the complication of implant displacement within the maxillary sinus for 25 years. All the implants were removed using the Caldwell-Luc technique. Implant migration happened following functional loading, during the prosthetic procedure, due to lack of osseointegration in 3 patients, and during implant placement into the fresh socket in 3 patients. In the remaining cases, migration occurred preoperatively or postoperatively and prior to implant loading. Insufficient bone quantity is sometimes causing the implant to migrate to the maxillary sinus. In case of minimal bone height, a sinus lift before implant placement should be conducted. Retrieval of an implant pushed inside the maxillary antrum using the Caldwell Luc approach proved to be a reliable technique.</p>","PeriodicalId":73702,"journal":{"name":"Journal of dentistry (Shiraz, Iran)","volume":"25 1","pages":"86-90"},"PeriodicalIF":0.0000,"publicationDate":"2024-03-01","publicationTypes":"Journal Article","fieldsOfStudy":null,"isOpenAccess":false,"openAccessPdf":"https://www.ncbi.nlm.nih.gov/pmc/articles/PMC10963871/pdf/","citationCount":"0","resultStr":null,"platform":"Semanticscholar","paperid":null,"PeriodicalName":"Journal of dentistry (Shiraz, Iran)","FirstCategoryId":"1085","ListUrlMain":"https://doi.org/10.30476/dentjods.2023.95807.1898","RegionNum":0,"RegionCategory":null,"ArticlePicture":[],"TitleCN":null,"AbstractTextCN":null,"PMCID":null,"EPubDate":"","PubModel":"","JCR":"","JCRName":"","Score":null,"Total":0}
引用次数: 0

Abstract

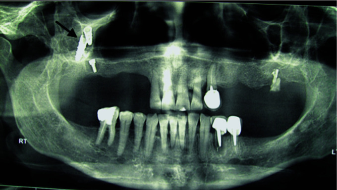
The use of dental implants to restore edentulous jaws has become commonplace. Usually, in the maxilla, following a tooth extraction, the height of alveolar bone decreases. This alteration in bone increases the risk of implants migrating into the sinus. In general, Caldwell-Luc and endoscopic surgery are performed to retrieve dental implants. In this case series, we collected data from 39 patients who had the complication of implant displacement within the maxillary sinus for 25 years. All the implants were removed using the Caldwell-Luc technique. Implant migration happened following functional loading, during the prosthetic procedure, due to lack of osseointegration in 3 patients, and during implant placement into the fresh socket in 3 patients. In the remaining cases, migration occurred preoperatively or postoperatively and prior to implant loading. Insufficient bone quantity is sometimes causing the implant to migrate to the maxillary sinus. In case of minimal bone height, a sinus lift before implant placement should be conducted. Retrieval of an implant pushed inside the maxillary antrum using the Caldwell Luc approach proved to be a reliable technique.

Abstract Image

Abstract Image

Abstract Image

种植牙移位到上颌窦的原因:来自 25 年经验的病例系列研究。
使用种植牙修复无牙颌已成为一种普遍现象。通常情况下,在上颌骨拔牙后,牙槽骨的高度会降低。骨质的这种变化增加了种植体移入鼻窦的风险。一般情况下,我们会采用 Caldwell-Luc 和内窥镜手术来取回牙科植入物。在本病例系列中,我们收集了 39 名患者的数据,这些患者 25 年来一直存在种植体移位到上颌窦内的并发症。所有种植体均采用 Caldwell-Luc 技术取出。种植体移位发生在功能负荷后、修复过程中,其中有 3 名患者是由于骨结合不全,还有 3 名患者是在将种植体植入新牙槽骨时发生的。在其余病例中,种植体移位发生在术前、术后和种植体植入之前。骨量不足有时会导致种植体向上颌窦迁移。在骨高度极低的情况下,应在植入种植体前进行上颌窦提升术。事实证明,使用 Caldwell Luc 方法取回推入上颌窦内的种植体是一种可靠的技术。
本文章由计算机程序翻译,如有差异,请以英文原文为准。
求助全文
约1分钟内获得全文 求助全文
来源期刊
CiteScore
0.50
自引率
0.00%
发文量
0
×
引用
GB/T 7714-2015
复制
MLA
复制
APA
复制
导出至
BibTeX EndNote RefMan NoteFirst NoteExpress
×
提示
您的信息不完整,为了账户安全,请先补充。
现在去补充
×
提示
您因"违规操作"
具体请查看互助需知
我知道了
×
提示
确定
请完成安全验证×
copy
已复制链接
快去分享给好友吧!
我知道了
右上角分享
点击右上角分享
0
联系我们:info@booksci.cn Book学术提供免费学术资源搜索服务,方便国内外学者检索中英文文献。致力于提供最便捷和优质的服务体验。 Copyright © 2023 布克学术 All rights reserved.
京ICP备2023020795号-1
ghs 京公网安备 11010802042870号
Book学术文献互助
Book学术文献互助群
群 号:604180095
Book学术官方微信