Histopathologic Evaluation of Periapical Radiolucencies Clinico-Radiographically Diagnosed as Endodontic Lesions: A Retrospective Analysis.

Saede Atarbashi-Moghadam, Mehrdad Azar, Shaghayegheh Dowdani
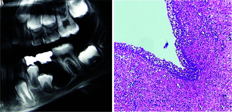
{"title":"Histopathologic Evaluation of Periapical Radiolucencies Clinico-Radiographically Diagnosed as Endodontic Lesions: A Retrospective Analysis.","authors":"Saede Atarbashi-Moghadam, Mehrdad Azar, Shaghayegheh Dowdani","doi":"10.30476/dentjods.2023.96819.1967","DOIUrl":null,"url":null,"abstract":"<p><strong>Statement of the problem: </strong>Periapical cyst and granuloma are inflammatory endodontic lesions. Periapical granuloma usually heals spontaneously after endodontic treatment; however, periapical cyst mostly needs to be removed via surgical approaches. Although some clinicians believe that microscopic examination of periapical lesions is unnecessary, it is proved that some of them has non-endodontic nature that need critical consideration.</p><p><strong>Purpose: </strong>The purpose of this study was to assess the disagreement between clinico-radiographic and microscopic diagnosis of periapical cysts and granulomas in a major center of oral pathology service in Iran.</p><p><strong>Materials and method: </strong>In this retrospective, descriptive cross-sectional study, the archives of the oral and maxillofacial pathology department of Shahid Beheshti University of Medical Sciences served as the source of the material during an 18-year-period for this retrospective, descriptive cross-sectional study. The reports of all patients whose initial clinical diagnosis was a periapical cyst/granuloma were extracted.</p><p><strong>Results: </strong> In the present study, 474 cases were diagnosed with a periapical cyst/granuloma clinico-radiographically, of which 61 cases (12.86%) received a microscopic diagnosis of a non-endodontic pathology. The most frequent lesion was odontogenic keratocyst (n= 12, 19.67%) followed by infected odontogenic cyst (n= 12, 19.67%). About 21.31% of diagnoses were non-cystic lesions and 4.9% were malignancies. The most odontogenic tumors that were diagnosed as periapical cyst/granuloma in clinico-radiography were the ameloblastoma variants (n= 4, 6.55%).</p><p><strong>Conclusion: </strong> A wide variety of microscopic diagnoses, including aggressive lesions such as ameloblastoma, as well as other malignant lesions was noted in this study. These misdiagnoses can lead to an inappropriate treatment plan. It is important to microscopically examine all lesions removed from the jaw.</p>","PeriodicalId":73702,"journal":{"name":"Journal of dentistry (Shiraz, Iran)","volume":"25 1","pages":"39-44"},"PeriodicalIF":0.0000,"publicationDate":"2024-03-01","publicationTypes":"Journal Article","fieldsOfStudy":null,"isOpenAccess":false,"openAccessPdf":"https://www.ncbi.nlm.nih.gov/pmc/articles/PMC10963870/pdf/","citationCount":"0","resultStr":null,"platform":"Semanticscholar","paperid":null,"PeriodicalName":"Journal of dentistry (Shiraz, Iran)","FirstCategoryId":"1085","ListUrlMain":"https://doi.org/10.30476/dentjods.2023.96819.1967","RegionNum":0,"RegionCategory":null,"ArticlePicture":[],"TitleCN":null,"AbstractTextCN":null,"PMCID":null,"EPubDate":"","PubModel":"","JCR":"","JCRName":"","Score":null,"Total":0}
引用次数: 0

Abstract

Statement of the problem: Periapical cyst and granuloma are inflammatory endodontic lesions. Periapical granuloma usually heals spontaneously after endodontic treatment; however, periapical cyst mostly needs to be removed via surgical approaches. Although some clinicians believe that microscopic examination of periapical lesions is unnecessary, it is proved that some of them has non-endodontic nature that need critical consideration.

Purpose: The purpose of this study was to assess the disagreement between clinico-radiographic and microscopic diagnosis of periapical cysts and granulomas in a major center of oral pathology service in Iran.

Materials and method: In this retrospective, descriptive cross-sectional study, the archives of the oral and maxillofacial pathology department of Shahid Beheshti University of Medical Sciences served as the source of the material during an 18-year-period for this retrospective, descriptive cross-sectional study. The reports of all patients whose initial clinical diagnosis was a periapical cyst/granuloma were extracted.

Results:  In the present study, 474 cases were diagnosed with a periapical cyst/granuloma clinico-radiographically, of which 61 cases (12.86%) received a microscopic diagnosis of a non-endodontic pathology. The most frequent lesion was odontogenic keratocyst (n= 12, 19.67%) followed by infected odontogenic cyst (n= 12, 19.67%). About 21.31% of diagnoses were non-cystic lesions and 4.9% were malignancies. The most odontogenic tumors that were diagnosed as periapical cyst/granuloma in clinico-radiography were the ameloblastoma variants (n= 4, 6.55%).

Conclusion:  A wide variety of microscopic diagnoses, including aggressive lesions such as ameloblastoma, as well as other malignant lesions was noted in this study. These misdiagnoses can lead to an inappropriate treatment plan. It is important to microscopically examine all lesions removed from the jaw.

Abstract Image

Abstract Image

Abstract Image

组织病理学评估根尖周放射线病变的临床放射学诊断:回顾性分析
问题陈述:根尖周囊肿和肉芽肿是牙髓炎性病变。根尖周肉芽肿通常会在牙髓治疗后自愈,但根尖周囊肿大多需要通过手术切除。目的:本研究的目的是评估伊朗一家主要口腔病理服务中心对根尖周囊肿和肉芽肿的临床放射学诊断和显微镜诊断之间的分歧:在这项回顾性、描述性横断面研究中,沙希德-贝赫什提医科大学口腔颌面病理系的档案是这项回顾性、描述性横断面研究18年来的材料来源。研究提取了所有临床初步诊断为根尖周囊肿/肉芽肿的患者的报告: 结果:在本研究中,474 例患者经临床放射影像学诊断为根尖周囊肿/肉芽肿,其中 61 例(12.86%)经显微镜诊断为非牙髓病变。最常见的病变是牙源性角化囊肿(12 例,19.67%),其次是感染性牙源性囊肿(12 例,19.67%)。约21.31%的诊断结果为非囊肿性病变,4.9%为恶性肿瘤。临床放射学诊断为根尖周囊肿/肉芽肿的大多数牙源性肿瘤是釉母细胞瘤变体(n= 4,6.55%): 本研究发现了多种显微诊断,包括侵袭性病变(如釉母细胞瘤)以及其他恶性病变。这些误诊可能导致不恰当的治疗方案。对从颌骨切除的所有病变进行显微镜检查非常重要。
本文章由计算机程序翻译,如有差异,请以英文原文为准。
求助全文
约1分钟内获得全文 求助全文
来源期刊
CiteScore
0.50
自引率
0.00%
发文量
0
×
引用
GB/T 7714-2015
复制
MLA
复制
APA
复制
导出至
BibTeX EndNote RefMan NoteFirst NoteExpress
×
提示
您的信息不完整,为了账户安全,请先补充。
现在去补充
×
提示
您因"违规操作"
具体请查看互助需知
我知道了
×
提示
确定
请完成安全验证×
copy
已复制链接
快去分享给好友吧!
我知道了
右上角分享
点击右上角分享
0
联系我们:info@booksci.cn Book学术提供免费学术资源搜索服务,方便国内外学者检索中英文文献。致力于提供最便捷和优质的服务体验。 Copyright © 2023 布克学术 All rights reserved.
京ICP备2023020795号-1
ghs 京公网安备 11010802042870号
Book学术文献互助
Book学术文献互助群
群 号:604180095
Book学术官方微信