Computer Assisted Bone Age Estimation Using Dimensions of Metacarpal Bones and Metacarpophalangeal Joints Based on Neural Network.

Abdolaziz Haghnegahdar, Hamid Reza Pakshir, Mojtaba Zandieh, Ilnaz Ghanbari
{"title":"Computer Assisted Bone Age Estimation Using Dimensions of Metacarpal Bones and Metacarpophalangeal Joints Based on Neural Network.","authors":"Abdolaziz Haghnegahdar, Hamid Reza Pakshir, Mojtaba Zandieh, Ilnaz Ghanbari","doi":"10.30476/dentjods.2023.95629.1882","DOIUrl":null,"url":null,"abstract":"<p><strong>Statement of the problem: </strong>Bone age is a more accurate assessment for biologic development than chronological age. The most common method for bone age estimation is using Pyle and Greulich Atlas. Today, computer-based techniques are becoming more favorable among investigators. However, the morphological features in Greulich and Pyle method are difficult to be converted into quantitative measures. During recent years, metacarpal bones and metacarpophalangeal joints dimensions were shown to be highly correlated with skeletal age.</p><p><strong>Purpose: </strong>In this study, we have evaluated the accuracy and reliability of a trained neural network for bone age estimation with quantitative and recently introduced related data, including chronological age, height, trunk height, weight, metacarpal bones, and metacarpophalangeal joints dimensions.</p><p><strong>Materials and method: </strong>In this cross sectional retrospective study, aneural network, using MATLAB, was utilized to determine bone age by employing quantitative features for 304 subjects. To evaluate the accuracy of age estimation software, paired t-test, and inter-class correlation was used.</p><p><strong>Results: </strong>The difference between the mean bone ages determined by the radiologists and the mean bone ages assessed by the age estimation software was not significant (<i>p</i> Value= 0.119 in male subjects and <i>p</i>= 0.922 in female subjects). The results from the software and radiologists showed a strong correlation -ICC=0.990 in male subjects and ICC=0.986 in female subjects (<i>p</i>< 0.001).</p><p><strong>Conclusion: </strong>The results have shown an acceptable accuracy in bone age estimation with training neural network and using dimensions of bones and joints.</p>","PeriodicalId":73702,"journal":{"name":"Journal of dentistry (Shiraz, Iran)","volume":"25 1","pages":"51-58"},"PeriodicalIF":0.0000,"publicationDate":"2024-03-01","publicationTypes":"Journal Article","fieldsOfStudy":null,"isOpenAccess":false,"openAccessPdf":"https://www.ncbi.nlm.nih.gov/pmc/articles/PMC10963864/pdf/","citationCount":"0","resultStr":null,"platform":"Semanticscholar","paperid":null,"PeriodicalName":"Journal of dentistry (Shiraz, Iran)","FirstCategoryId":"1085","ListUrlMain":"https://doi.org/10.30476/dentjods.2023.95629.1882","RegionNum":0,"RegionCategory":null,"ArticlePicture":[],"TitleCN":null,"AbstractTextCN":null,"PMCID":null,"EPubDate":"","PubModel":"","JCR":"","JCRName":"","Score":null,"Total":0}
引用次数: 0

Abstract

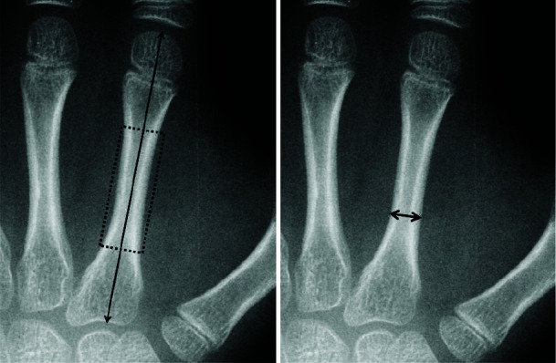
Statement of the problem: Bone age is a more accurate assessment for biologic development than chronological age. The most common method for bone age estimation is using Pyle and Greulich Atlas. Today, computer-based techniques are becoming more favorable among investigators. However, the morphological features in Greulich and Pyle method are difficult to be converted into quantitative measures. During recent years, metacarpal bones and metacarpophalangeal joints dimensions were shown to be highly correlated with skeletal age.

Purpose: In this study, we have evaluated the accuracy and reliability of a trained neural network for bone age estimation with quantitative and recently introduced related data, including chronological age, height, trunk height, weight, metacarpal bones, and metacarpophalangeal joints dimensions.

Materials and method: In this cross sectional retrospective study, aneural network, using MATLAB, was utilized to determine bone age by employing quantitative features for 304 subjects. To evaluate the accuracy of age estimation software, paired t-test, and inter-class correlation was used.

Results: The difference between the mean bone ages determined by the radiologists and the mean bone ages assessed by the age estimation software was not significant (p Value= 0.119 in male subjects and p= 0.922 in female subjects). The results from the software and radiologists showed a strong correlation -ICC=0.990 in male subjects and ICC=0.986 in female subjects (p< 0.001).

Conclusion: The results have shown an acceptable accuracy in bone age estimation with training neural network and using dimensions of bones and joints.

Abstract Image

Abstract Image

Abstract Image

利用基于神经网络的掌骨和掌指关节尺寸进行计算机辅助骨龄估计
问题陈述:骨龄是比实际年龄更准确的生物发育评估方法。最常用的骨龄估计方法是使用 Pyle 和 Greulich 图集。如今,计算机技术越来越受到研究人员的青睐。然而,Greulich 和 Pyle 方法中的形态特征很难转化为定量测量。近年来,掌骨和掌指关节的尺寸被证明与骨骼年龄高度相关。目的:在这项研究中,我们利用定量和最新引入的相关数据,包括年代年龄、身高、躯干高度、体重、掌骨和掌指关节尺寸,评估了训练有素的神经网络在骨龄估计方面的准确性和可靠性:在这项横断面回顾性研究中,利用 MATLAB 神经网络,通过定量特征确定 304 名受试者的骨龄。为了评估年龄估算软件的准确性,采用了配对 t 检验和类间相关性检验:结果:放射科医生确定的平均骨龄与年龄估算软件评估的平均骨龄之间的差异不显著(男性受试者的 p 值= 0.119,女性受试者的 p= 0.922)。软件和放射科医生的结果显示出很强的相关性--男性受试者的ICC=0.990,女性受试者的ICC=0.986(p< 0.001):结果表明,通过训练神经网络并使用骨骼和关节的尺寸估算骨龄的准确性是可以接受的。
本文章由计算机程序翻译,如有差异,请以英文原文为准。
求助全文
约1分钟内获得全文 求助全文
来源期刊
CiteScore
0.50
自引率
0.00%
发文量
0
×
引用
GB/T 7714-2015
复制
MLA
复制
APA
复制
导出至
BibTeX EndNote RefMan NoteFirst NoteExpress
×
提示
您的信息不完整,为了账户安全,请先补充。
现在去补充
×
提示
您因"违规操作"
具体请查看互助需知
我知道了
×
提示
确定
请完成安全验证×
copy
已复制链接
快去分享给好友吧!
我知道了
右上角分享
点击右上角分享
0
联系我们:info@booksci.cn Book学术提供免费学术资源搜索服务,方便国内外学者检索中英文文献。致力于提供最便捷和优质的服务体验。 Copyright © 2023 布克学术 All rights reserved.
京ICP备2023020795号-1
ghs 京公网安备 11010802042870号
Book学术文献互助
Book学术文献互助群
群 号:604180095
Book学术官方微信