Diffuse Lichen Planopilaris Masquerading as Diffuse Alopecia Areata.

IF 0.8 Q4 DERMATOLOGY
Case Reports in Dermatology Pub Date : 2024-03-25 eCollection Date: 2024-01-01 DOI:10.1159/000538064
Li Jie Helena Yoo, Nekma Meah, Dmitri Wall, Ian McDonald
{"title":"Diffuse Lichen Planopilaris Masquerading as Diffuse Alopecia Areata.","authors":"Li Jie Helena Yoo, Nekma Meah, Dmitri Wall, Ian McDonald","doi":"10.1159/000538064","DOIUrl":null,"url":null,"abstract":"<p><strong>Introduction: </strong>Lichen planopilaris (LPP) is a primary lymphocytic cicatricial alopecia that represents a form of follicular lichen planus.</p><p><strong>Case presentation: </strong>We describe a case of coexisting diffuse LPP and female pattern hair loss masquerading as diffuse alopecia areata in a 32-year-old female.</p><p><strong>Discussion: </strong>In complex cases such as this, dermoscopy-guided vertical and horizontal biopsies from androgen sensitive and insensitive areas are helpful in increasing diagnostic yield. Prompt initiation of treatment is key to halting disease progression. Long-term follow-up is important as resolution of clinical signs does not always correlate with the absence of disease progression.</p>","PeriodicalId":9619,"journal":{"name":"Case Reports in Dermatology","volume":"16 1","pages":"83-87"},"PeriodicalIF":0.8000,"publicationDate":"2024-03-25","publicationTypes":"Journal Article","fieldsOfStudy":null,"isOpenAccess":false,"openAccessPdf":"https://www.ncbi.nlm.nih.gov/pmc/articles/PMC10963056/pdf/","citationCount":"0","resultStr":null,"platform":"Semanticscholar","paperid":null,"PeriodicalName":"Case Reports in Dermatology","FirstCategoryId":"1085","ListUrlMain":"https://doi.org/10.1159/000538064","RegionNum":0,"RegionCategory":null,"ArticlePicture":[],"TitleCN":null,"AbstractTextCN":null,"PMCID":null,"EPubDate":"2024/1/1 0:00:00","PubModel":"eCollection","JCR":"Q4","JCRName":"DERMATOLOGY","Score":null,"Total":0}
引用次数: 0

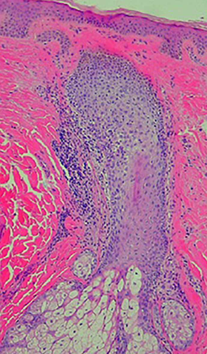
Abstract

Introduction: Lichen planopilaris (LPP) is a primary lymphocytic cicatricial alopecia that represents a form of follicular lichen planus.

Case presentation: We describe a case of coexisting diffuse LPP and female pattern hair loss masquerading as diffuse alopecia areata in a 32-year-old female.

Discussion: In complex cases such as this, dermoscopy-guided vertical and horizontal biopsies from androgen sensitive and insensitive areas are helpful in increasing diagnostic yield. Prompt initiation of treatment is key to halting disease progression. Long-term follow-up is important as resolution of clinical signs does not always correlate with the absence of disease progression.

Abstract Image

Abstract Image

伪装成弥漫性脱发的弥漫性扁平苔癣
导言:扁平苔藓(LPP)是一种原发性淋巴细胞环状脱发,是毛囊性扁平苔藓的一种表现形式:我们描述了一例 32 岁女性同时患有弥漫性扁平苔藓和伪装成弥漫性脱发的女性型脱发病例:对于此类复杂病例,在皮肤镜引导下从雄激素敏感和不敏感区域进行垂直和水平活检有助于提高诊断率。及时开始治疗是阻止疾病进展的关键。长期随访非常重要,因为临床症状的缓解并不总是与疾病无进展相关联。
本文章由计算机程序翻译,如有差异,请以英文原文为准。
求助全文
约1分钟内获得全文 求助全文
来源期刊
CiteScore
1.60
自引率
0.00%
发文量
57
审稿时长
9 weeks
×
引用
GB/T 7714-2015
复制
MLA
复制
APA
复制
导出至
BibTeX EndNote RefMan NoteFirst NoteExpress
×
提示
您的信息不完整,为了账户安全,请先补充。
现在去补充
×
提示
您因"违规操作"
具体请查看互助需知
我知道了
×
提示
确定
请完成安全验证×
copy
已复制链接
快去分享给好友吧!
我知道了
右上角分享
点击右上角分享
0
联系我们:info@booksci.cn Book学术提供免费学术资源搜索服务,方便国内外学者检索中英文文献。致力于提供最便捷和优质的服务体验。 Copyright © 2023 布克学术 All rights reserved.
京ICP备2023020795号-1
ghs 京公网安备 11010802042870号
Book学术文献互助
Book学术文献互助群
群 号:604180095
Book学术官方微信