<Editors' Choice> The relationship between preoperative foot alignment and postoperative outcomes in patients who underwent initial total knee arthroplasty.

IF 0.9 4区 医学 Q4 MEDICINE, RESEARCH & EXPERIMENTAL
Aika Hishida, Hideki Hiraiwa, Izumi Kadono, Hidetoshi Yamaguchi, Takashi Okada, Chiaki Terai, Azusa Kayamoto, Yoshihiro Nishida
{"title":"<Editors' Choice> The relationship between preoperative foot alignment and postoperative outcomes in patients who underwent initial total knee arthroplasty.","authors":"Aika Hishida, Hideki Hiraiwa, Izumi Kadono, Hidetoshi Yamaguchi, Takashi Okada, Chiaki Terai, Azusa Kayamoto, Yoshihiro Nishida","doi":"10.18999/nagjms.86.1.91","DOIUrl":null,"url":null,"abstract":"<p><p>We compared the relationship between foot alignments and quality of life in patients who underwent initial total knee arthroplasty (TKA). Among the patients with knee osteoarthritis (KOA) who underwent TKA from May 2015 to May 2017 at our hospital, we focused on those in whom weight-bearing foot radiographs had been evaluated preoperatively. The hallux valgus angle and Meary angle were measured by preoperative radiography, and those with hallux valgus angles of 20 degrees or more were classified into the hallux valgus (HV) group, and those with Meary angles of 4 degrees or more into the high arch (HA) group. Also knee and ankle range of motion, knee pain Visual Analog Scale, and the 36-item short-form health survey (SF-36) were measured preoperatively and at discharge, and the amount of these changes was compared in the presence/absence of HV and HA. Regarding HV, there were no significant differences in any of these items between the HV and non-HV groups. However, the SF-physical function was significantly lower in the HA group than in the normal group. In addition, ankle dorsiflexion was lower in the HA group than that in the normal group, although this difference was not statistically significant. There was little improvement of the ankle dorsiflexion, and it was associated with deterioration of the physical function items of SF-36. In total knee arthroplasty patients with HA, physical therapy of the ankles and feet, as well as of the knees, was considered to enhance the improvement of physical function.</p>","PeriodicalId":49014,"journal":{"name":"Nagoya Journal of Medical Science","volume":"86 1","pages":"91-103"},"PeriodicalIF":0.9000,"publicationDate":"2024-02-01","publicationTypes":"Journal Article","fieldsOfStudy":null,"isOpenAccess":false,"openAccessPdf":"https://www.ncbi.nlm.nih.gov/pmc/articles/PMC10945230/pdf/","citationCount":"0","resultStr":null,"platform":"Semanticscholar","paperid":null,"PeriodicalName":"Nagoya Journal of Medical Science","FirstCategoryId":"3","ListUrlMain":"https://doi.org/10.18999/nagjms.86.1.91","RegionNum":4,"RegionCategory":"医学","ArticlePicture":[],"TitleCN":null,"AbstractTextCN":null,"PMCID":null,"EPubDate":"","PubModel":"","JCR":"Q4","JCRName":"MEDICINE, RESEARCH & EXPERIMENTAL","Score":null,"Total":0}
引用次数: 0

Abstract

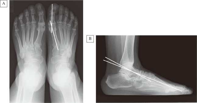
We compared the relationship between foot alignments and quality of life in patients who underwent initial total knee arthroplasty (TKA). Among the patients with knee osteoarthritis (KOA) who underwent TKA from May 2015 to May 2017 at our hospital, we focused on those in whom weight-bearing foot radiographs had been evaluated preoperatively. The hallux valgus angle and Meary angle were measured by preoperative radiography, and those with hallux valgus angles of 20 degrees or more were classified into the hallux valgus (HV) group, and those with Meary angles of 4 degrees or more into the high arch (HA) group. Also knee and ankle range of motion, knee pain Visual Analog Scale, and the 36-item short-form health survey (SF-36) were measured preoperatively and at discharge, and the amount of these changes was compared in the presence/absence of HV and HA. Regarding HV, there were no significant differences in any of these items between the HV and non-HV groups. However, the SF-physical function was significantly lower in the HA group than in the normal group. In addition, ankle dorsiflexion was lower in the HA group than that in the normal group, although this difference was not statistically significant. There was little improvement of the ankle dorsiflexion, and it was associated with deterioration of the physical function items of SF-36. In total knee arthroplasty patients with HA, physical therapy of the ankles and feet, as well as of the knees, was considered to enhance the improvement of physical function.

Abstract Image

Abstract Image

Abstract Image

<编辑推荐>初次接受全膝关节置换术的患者术前足部对位与术后效果的关系。
我们比较了初次接受全膝关节置换术(TKA)的患者足部排列与生活质量之间的关系。在我院2015年5月至2017年5月接受TKA手术的膝关节骨性关节炎(KOA)患者中,我们重点关注了术前已对负重足部X光片进行评估的患者。通过术前X光片测量踝外翻角度和Meary角度,将踝外翻角度大于等于20度者分为踝外翻(HV)组,将Meary角度大于等于4度者分为高弓(HA)组。此外,还在术前和出院时测量了膝关节和踝关节的活动范围、膝关节疼痛视觉模拟量表和 36 项短式健康调查(SF-36),并比较了有/无 HV 和 HA 时这些变化的程度。在HV方面,HV组和非HV组在任何项目上都没有显著差异。然而,HA 组的 SF 物理功能明显低于正常组。此外,HA 组的踝关节外展低于正常组,但这一差异在统计学上并不显著。踝关节背屈几乎没有改善,而且与 SF-36 身体功能项目的恶化有关。对于患有HA的全膝关节置换术患者,踝关节和足部以及膝关节的物理治疗被认为可促进身体功能的改善。
本文章由计算机程序翻译,如有差异,请以英文原文为准。
求助全文
约1分钟内获得全文 求助全文
来源期刊
Nagoya Journal of Medical Science
Nagoya Journal of Medical Science MEDICINE, RESEARCH & EXPERIMENTAL-
CiteScore
1.30
自引率
0.00%
发文量
65
审稿时长
>12 weeks
期刊介绍: The Journal publishes original papers in the areas of medical science and its related fields. Reviews, symposium reports, short communications, notes, case reports, hypothesis papers, medical image at a glance, video and announcements are also accepted. Manuscripts should be in English. It is recommended that an English check of the manuscript by a competent and knowledgeable native speaker be completed before submission.
×
引用
GB/T 7714-2015
复制
MLA
复制
APA
复制
导出至
BibTeX EndNote RefMan NoteFirst NoteExpress
×
提示
您的信息不完整,为了账户安全,请先补充。
现在去补充
×
提示
您因"违规操作"
具体请查看互助需知
我知道了
×
提示
确定
请完成安全验证×
copy
已复制链接
快去分享给好友吧!
我知道了
右上角分享
点击右上角分享
0
联系我们:info@booksci.cn Book学术提供免费学术资源搜索服务,方便国内外学者检索中英文文献。致力于提供最便捷和优质的服务体验。 Copyright © 2023 布克学术 All rights reserved.
京ICP备2023020795号-1
ghs 京公网安备 11010802042870号
Book学术文献互助
Book学术文献互助群
群 号:604180095
Book学术官方微信