Fallopian Tube Hemangioma Discovered on Follow-up for Uterine Leiomyoma.

IF 1.1 Q2 MEDICINE, GENERAL & INTERNAL
Dmitrii Sumtsov, Georgii Sumtsov, Natalia Hyriavenko, Mykola Lyndin, Kateryna Sikora, Volodymyr Kolyshkin, Yulia Redko, Igor Gladchuk
{"title":"Fallopian Tube Hemangioma Discovered on Follow-up for Uterine Leiomyoma.","authors":"Dmitrii Sumtsov, Georgii Sumtsov, Natalia Hyriavenko, Mykola Lyndin, Kateryna Sikora, Volodymyr Kolyshkin, Yulia Redko, Igor Gladchuk","doi":"10.4274/MMJ.galenos.2024.50687","DOIUrl":null,"url":null,"abstract":"<p><p>Hemangioma in female reproductive organs, particularly in the fallopian tube (FT), is a sporadic disease. In this report, we describe a case of hidden capillary hemangioma in FT in a 39-year-old woman who suffered from uterine leiomyoma. During the preoperative stage, pelvic sonography, computed tomography, and diagnostic laparoscopy revealed a subserous leiomyomatous nodule located along the posterior wall of the uterus. Despite this, intraoperatively, a benign vascular neoplasm was diagnosed. Histologically, it is characterized by multiple thin-walled vascular spaces lined with a single layer of endothelial cells, in which single mitoses were observed. The diagnosis was then confirmed immunohistochemically by CD31 and CD34 expression in the endothelial cells lining the inner surface of the spaces and the low mitotic activity of the tumor cells. It is virtually impossible to diagnose this asymptomatic neoplasm before and during surgery, which can result in an inadequate number of surgeries. Incorrect interpretation of a benign tumor at a young age can lead to unnecessary radical surgery with a resulting loss of fertility, and an unrevealed malignant process can threaten life.</p>","PeriodicalId":37427,"journal":{"name":"Medeniyet medical journal","volume":"39 1","pages":"62-65"},"PeriodicalIF":1.1000,"publicationDate":"2024-03-21","publicationTypes":"Journal Article","fieldsOfStudy":null,"isOpenAccess":false,"openAccessPdf":"https://www.ncbi.nlm.nih.gov/pmc/articles/PMC10961665/pdf/","citationCount":"0","resultStr":null,"platform":"Semanticscholar","paperid":null,"PeriodicalName":"Medeniyet medical journal","FirstCategoryId":"1085","ListUrlMain":"https://doi.org/10.4274/MMJ.galenos.2024.50687","RegionNum":0,"RegionCategory":null,"ArticlePicture":[],"TitleCN":null,"AbstractTextCN":null,"PMCID":null,"EPubDate":"","PubModel":"","JCR":"Q2","JCRName":"MEDICINE, GENERAL & INTERNAL","Score":null,"Total":0}
引用次数: 0

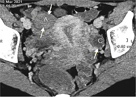
Abstract

Hemangioma in female reproductive organs, particularly in the fallopian tube (FT), is a sporadic disease. In this report, we describe a case of hidden capillary hemangioma in FT in a 39-year-old woman who suffered from uterine leiomyoma. During the preoperative stage, pelvic sonography, computed tomography, and diagnostic laparoscopy revealed a subserous leiomyomatous nodule located along the posterior wall of the uterus. Despite this, intraoperatively, a benign vascular neoplasm was diagnosed. Histologically, it is characterized by multiple thin-walled vascular spaces lined with a single layer of endothelial cells, in which single mitoses were observed. The diagnosis was then confirmed immunohistochemically by CD31 and CD34 expression in the endothelial cells lining the inner surface of the spaces and the low mitotic activity of the tumor cells. It is virtually impossible to diagnose this asymptomatic neoplasm before and during surgery, which can result in an inadequate number of surgeries. Incorrect interpretation of a benign tumor at a young age can lead to unnecessary radical surgery with a resulting loss of fertility, and an unrevealed malignant process can threaten life.

Abstract Image

Abstract Image

Abstract Image

子宫肌瘤随访时发现输卵管血管瘤
女性生殖器官血管瘤,尤其是输卵管(FT)血管瘤,是一种散发性疾病。在本报告中,我们描述了一例隐藏在输卵管中的毛细血管瘤,患者是一名 39 岁的女性,曾患有子宫肌瘤。在术前阶段,盆腔超声波检查、计算机断层扫描和诊断性腹腔镜检查发现了一个位于子宫后壁的浆膜下子宫白肌瘤结节。尽管如此,术中还是诊断出了良性血管肿瘤。从组织学角度看,其特征是多个薄壁血管间隙内衬单层内皮细胞,其中可观察到单个有丝分裂。然后,通过免疫组化检查,证实了这一诊断,即内衬于空隙内表面的内皮细胞有 CD31 和 CD34 表达,且肿瘤细胞的有丝分裂活性较低。要在手术前和手术中诊断出这种无症状的肿瘤几乎是不可能的,这可能导致手术次数不足。年轻时对良性肿瘤的错误判断可能会导致不必要的根治性手术,从而丧失生育能力,而未被发现的恶性肿瘤过程则可能会威胁生命。
本文章由计算机程序翻译,如有差异,请以英文原文为准。
求助全文
约1分钟内获得全文 求助全文
来源期刊
Medeniyet medical journal
Medeniyet medical journal Medicine-Medicine (all)
CiteScore
1.70
自引率
0.00%
发文量
88
审稿时长
5 weeks
期刊介绍: The Medeniyet Medical Journal (Medeniyet Med J) is an open access, peer-reviewed, and scientific journal of Istanbul Medeniyet University Faculty of Medicine on various academic disciplines in medicine, which is published in English four times a year, in March, June, September, and December by a group of academics. Medeniyet Medical Journal is the continuation of Göztepe Medical Journal (ISSN: 1300-526X) which was started publishing in 1985. It changed the name as Medeniyet Medical Journal in 2015. Submission and publication are free of charge. No fees are asked from the authors for evaluation or publication process. All published articles are available online in the journal website (www.medeniyetmedicaljournal.org) without any fee. The journal publishes intradisciplinary or interdisciplinary clinical, experimental, and basic researches as well as original case reports, reviews, invited reviews, or letters to the editor, Being published since 1985, the Medeniyet Med J recognizes that the best science should lead to better lives based on the fact that the medicine should serve to the needs of society, and knowledge should transform society. The journal aims to address current issues at both national and international levels, start debates, and exert an influence on decision-makers all over the world by integrating science in everyday life. Medeniyet Med J is committed to serve the public and influence people’s lives in a positive way by making science widely accessible. Believing that the only goal is improving lives, and research has an impact on people’s lives, we select the best research papers in line with this goal.
×
引用
GB/T 7714-2015
复制
MLA
复制
APA
复制
导出至
BibTeX EndNote RefMan NoteFirst NoteExpress
×
提示
您的信息不完整,为了账户安全,请先补充。
现在去补充
×
提示
您因"违规操作"
具体请查看互助需知
我知道了
×
提示
确定
请完成安全验证×
copy
已复制链接
快去分享给好友吧!
我知道了
右上角分享
点击右上角分享
0
联系我们:info@booksci.cn Book学术提供免费学术资源搜索服务,方便国内外学者检索中英文文献。致力于提供最便捷和优质的服务体验。 Copyright © 2023 布克学术 All rights reserved.
京ICP备2023020795号-1
ghs 京公网安备 11010802042870号
Book学术文献互助
Book学术文献互助群
群 号:604180095
Book学术官方微信