Relevance of Tumor Budding and Pattern of Invasion in Oral Squamous Cell Carcinoma.

IF 0.8 Q3 MEDICINE, GENERAL & INTERNAL
Nikhil Sanjay Deshpande, Anil B Munemane, Ravindra Raosaheb Karle, Suryakant Dattatreya Dongre
{"title":"Relevance of Tumor Budding and Pattern of Invasion in Oral Squamous Cell Carcinoma.","authors":"Nikhil Sanjay Deshpande, Anil B Munemane, Ravindra Raosaheb Karle, Suryakant Dattatreya Dongre","doi":"10.4103/ijabmr.ijabmr_391_23","DOIUrl":null,"url":null,"abstract":"<p><strong>Background: </strong>Standard histopathological parameters such as depth of invasion (DOI), lymphovascular invasion (LVI), and perineural invasion (PNI) are known parameters that can correlate with the prognosis and aggressiveness of oral squamous cell carcinomas (OSCCs). Tumor budding (TB) (≤5 tumor cells at infiltrating borders) and pattern of invasion (POI) are emerging histopathological parameters that have shown promising results as reliable risk factors in predicting nodal metastasis in early OSCCs.</p><p><strong>Aim: </strong>The aim of the study was to assess TB and POI in OSCCs.</p><p><strong>Materials and methods: </strong>A total of 33 surgical resection specimens of OSCC, including buccal mucosa and tongue with neck dissection, were selected. TB and POI along with standard parameters such as grade, DOI, LVI, PNI, lymph node status, and pathological staging were evaluated. These parameters were analyzed in comparison with lymph node involvement and pathological stage of the tumor using the Chi-square and Fischer's exact test. The SPSS software, v21, was used for statistical analyses.</p><p><strong>Results: </strong>Most of OSCC were moderately differentiated tumors (63.64%). TB was present in 23 cases, in which 69.57% of cases showed low TB (<5 buds), while 30.43% of cases had higher TB (>5 buds). The worst POI (Patterns 4 and 5) was seen in 75.76% of cases. TB, POI, grade, PNI, DOI, and stromal pattern were significantly associated with the pathological stage of the tumor.</p><p><strong>Conclusion: </strong>TB and POI are important and reliable in histopathological parameters in OSCCs.</p>","PeriodicalId":13727,"journal":{"name":"International Journal of Applied and Basic Medical Research","volume":"14 1","pages":"29-34"},"PeriodicalIF":0.8000,"publicationDate":"2024-01-01","publicationTypes":"Journal Article","fieldsOfStudy":null,"isOpenAccess":false,"openAccessPdf":"https://www.ncbi.nlm.nih.gov/pmc/articles/PMC10947764/pdf/","citationCount":"0","resultStr":null,"platform":"Semanticscholar","paperid":null,"PeriodicalName":"International Journal of Applied and Basic Medical Research","FirstCategoryId":"1085","ListUrlMain":"https://doi.org/10.4103/ijabmr.ijabmr_391_23","RegionNum":0,"RegionCategory":null,"ArticlePicture":[],"TitleCN":null,"AbstractTextCN":null,"PMCID":null,"EPubDate":"2024/2/20 0:00:00","PubModel":"Epub","JCR":"Q3","JCRName":"MEDICINE, GENERAL & INTERNAL","Score":null,"Total":0}
引用次数: 0

Abstract

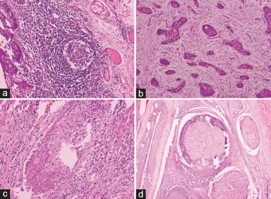
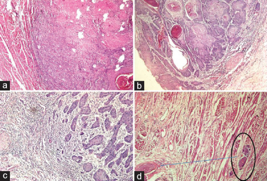
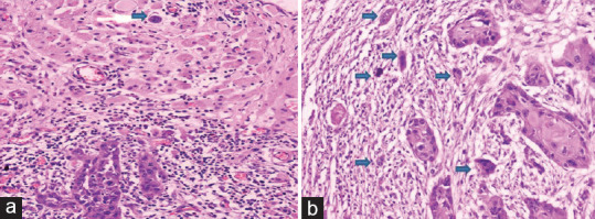
Background: Standard histopathological parameters such as depth of invasion (DOI), lymphovascular invasion (LVI), and perineural invasion (PNI) are known parameters that can correlate with the prognosis and aggressiveness of oral squamous cell carcinomas (OSCCs). Tumor budding (TB) (≤5 tumor cells at infiltrating borders) and pattern of invasion (POI) are emerging histopathological parameters that have shown promising results as reliable risk factors in predicting nodal metastasis in early OSCCs.

Aim: The aim of the study was to assess TB and POI in OSCCs.

Materials and methods: A total of 33 surgical resection specimens of OSCC, including buccal mucosa and tongue with neck dissection, were selected. TB and POI along with standard parameters such as grade, DOI, LVI, PNI, lymph node status, and pathological staging were evaluated. These parameters were analyzed in comparison with lymph node involvement and pathological stage of the tumor using the Chi-square and Fischer's exact test. The SPSS software, v21, was used for statistical analyses.

Results: Most of OSCC were moderately differentiated tumors (63.64%). TB was present in 23 cases, in which 69.57% of cases showed low TB (<5 buds), while 30.43% of cases had higher TB (>5 buds). The worst POI (Patterns 4 and 5) was seen in 75.76% of cases. TB, POI, grade, PNI, DOI, and stromal pattern were significantly associated with the pathological stage of the tumor.

Conclusion: TB and POI are important and reliable in histopathological parameters in OSCCs.

Abstract Image

Abstract Image

Abstract Image

口腔鳞状细胞癌中肿瘤萌发和侵袭模式的相关性
背景:侵袭深度(DOI)、淋巴管侵袭(LVI)和神经周围侵袭(PNI)等标准组织病理学参数是与口腔鳞状细胞癌(OSCC)的预后和侵袭性相关的已知参数。肿瘤萌芽(TB)(浸润边界的肿瘤细胞≤5个)和侵袭模式(POI)是新出现的组织病理学参数,作为预测早期OSCC结节转移的可靠风险因素,已显示出良好的效果:材料和方法:共选择了33例OSCC手术切除标本,包括口腔粘膜和舌,并进行了颈部解剖。对TB和POI以及等级、DOI、LVI、PNI、淋巴结状态和病理分期等标准参数进行了评估。这些参数与淋巴结受累情况和肿瘤病理分期的比较分析采用了 Chi-square 和 Fischer's 精确检验法。统计分析采用 SPSS 软件 v21:大多数 OSCC 为中度分化肿瘤(63.64%)。23例存在TB,其中69.57%的病例表现为低TB(5个芽)。75.76%的病例的POI最差(模式4和5)。TB、POI、分级、PNI、DOI和基质形态与肿瘤的病理分期显著相关:结论:TB 和 POI 是 OSCC 重要而可靠的组织病理学参数。
本文章由计算机程序翻译,如有差异,请以英文原文为准。
求助全文
约1分钟内获得全文 求助全文
来源期刊
自引率
0.00%
发文量
46
×
引用
GB/T 7714-2015
复制
MLA
复制
APA
复制
导出至
BibTeX EndNote RefMan NoteFirst NoteExpress
×
提示
您的信息不完整,为了账户安全,请先补充。
现在去补充
×
提示
您因"违规操作"
具体请查看互助需知
我知道了
×
提示
确定
请完成安全验证×
copy
已复制链接
快去分享给好友吧!
我知道了
右上角分享
点击右上角分享
0
联系我们:info@booksci.cn Book学术提供免费学术资源搜索服务,方便国内外学者检索中英文文献。致力于提供最便捷和优质的服务体验。 Copyright © 2023 布克学术 All rights reserved.
京ICP备2023020795号-1
ghs 京公网安备 11010802042870号
Book学术文献互助
Book学术文献互助群
群 号:604180095
Book学术官方微信