Pneumocystis jirovecii Pneumonia Secondary to Blinatumomab Therapy: A Case Report.

IF 1.7 4区 医学 Q3 ONCOLOGY
Chemotherapy Pub Date : 2024-01-01 Epub Date: 2024-03-20 DOI:10.1159/000538256
Yue Yin, Kaini Shen, Hanyu Li, Lu Zhang
{"title":"Pneumocystis jirovecii Pneumonia Secondary to Blinatumomab Therapy: A Case Report.","authors":"Yue Yin, Kaini Shen, Hanyu Li, Lu Zhang","doi":"10.1159/000538256","DOIUrl":null,"url":null,"abstract":"<p><strong>Introduction: </strong>With the increasing use of blinatumomab in relapsed or refractory B-cell precursor acute lymphoblastic leukemia (ALL), including minimal residual disease (MRD)-positive cases, awareness of its adverse effects has gradually improved. Pneumocystis jirovecii pneumonia (PCP) associated with blinatumomab therapy is rare.</p><p><strong>Case presentation: </strong>We present a case of PCP in a patient undergoing blinatumomab therapy. A 70-year-old female diagnosed with Philadelphia-like CRLF2 overexpression B-cell precursor ALL received blinatumomab as consolidation therapy after achieving complete remission with prior induction chemotherapy. On the second day of blinatumomab infusion, she developed intermittent low-grade fever, and chest computed tomography (CT) revealed subtle infiltrates and nodules. Despite empiric trimethoprim-sulfamethoxazole (TMP-SMX) prophylaxis, she progressed to significant shortness of breath and type I respiratory failure, with increased lactate dehydrogenase and β-D-glucan assays. Chest CT showed diffuse ground-glass opacities with scattered small nodules. The dry cough prompted next-generation sequencing of peripheral blood, which tested positive for pneumocystis jirovecii without evidence of other pathogens. Consequently, the patient was diagnosed with PCP. The first cycle of blinatumomab had to be discontinued, and therapeutic dosages of TMP-SMX and dexamethasone were administered, resulting in full recovery and stable condition during follow-ups.</p><p><strong>Conclusion: </strong>PCP is rare in B-cell precursor ALL patients receiving blinatumomab therapy but manifests with early onset and rapid disease progression. Despite prophylaxis, PCP infection cannot be ignored during blinatumomab therapy. Therefore, heightened attention is warranted when using blinatumomab therapy.</p>","PeriodicalId":10047,"journal":{"name":"Chemotherapy","volume":" ","pages":"104-107"},"PeriodicalIF":1.7000,"publicationDate":"2024-01-01","publicationTypes":"Journal Article","fieldsOfStudy":null,"isOpenAccess":false,"openAccessPdf":"https://www.ncbi.nlm.nih.gov/pmc/articles/PMC11152014/pdf/","citationCount":"0","resultStr":null,"platform":"Semanticscholar","paperid":null,"PeriodicalName":"Chemotherapy","FirstCategoryId":"3","ListUrlMain":"https://doi.org/10.1159/000538256","RegionNum":4,"RegionCategory":"医学","ArticlePicture":[],"TitleCN":null,"AbstractTextCN":null,"PMCID":null,"EPubDate":"2024/3/20 0:00:00","PubModel":"Epub","JCR":"Q3","JCRName":"ONCOLOGY","Score":null,"Total":0}
引用次数: 0

Abstract

Introduction: With the increasing use of blinatumomab in relapsed or refractory B-cell precursor acute lymphoblastic leukemia (ALL), including minimal residual disease (MRD)-positive cases, awareness of its adverse effects has gradually improved. Pneumocystis jirovecii pneumonia (PCP) associated with blinatumomab therapy is rare.

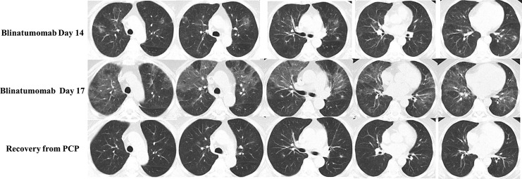
Case presentation: We present a case of PCP in a patient undergoing blinatumomab therapy. A 70-year-old female diagnosed with Philadelphia-like CRLF2 overexpression B-cell precursor ALL received blinatumomab as consolidation therapy after achieving complete remission with prior induction chemotherapy. On the second day of blinatumomab infusion, she developed intermittent low-grade fever, and chest computed tomography (CT) revealed subtle infiltrates and nodules. Despite empiric trimethoprim-sulfamethoxazole (TMP-SMX) prophylaxis, she progressed to significant shortness of breath and type I respiratory failure, with increased lactate dehydrogenase and β-D-glucan assays. Chest CT showed diffuse ground-glass opacities with scattered small nodules. The dry cough prompted next-generation sequencing of peripheral blood, which tested positive for pneumocystis jirovecii without evidence of other pathogens. Consequently, the patient was diagnosed with PCP. The first cycle of blinatumomab had to be discontinued, and therapeutic dosages of TMP-SMX and dexamethasone were administered, resulting in full recovery and stable condition during follow-ups.

Conclusion: PCP is rare in B-cell precursor ALL patients receiving blinatumomab therapy but manifests with early onset and rapid disease progression. Despite prophylaxis, PCP infection cannot be ignored during blinatumomab therapy. Therefore, heightened attention is warranted when using blinatumomab therapy.

Abstract Image

继发于 Blinatumomab 治疗的吉罗韦氏肺囊虫肺炎:病例报告。
导言:随着Blinatumomab越来越多地用于复发或难治性B细胞前体急性淋巴细胞白血病(ALL),包括MRD阳性病例,人们对其不良反应的认识也逐渐提高。与Blinatumomab治疗相关的肺孢子菌肺炎(PCP)非常罕见。病例介绍 我们报告了一例接受Blinatumomab治疗的患者的PCP病例。一名70岁的女性患者被诊断为费城样、CRLF2过表达B细胞前体 ALL,在接受诱导化疗获得完全缓解后接受了Blinatumomab作为巩固治疗。在输注Blinatumomab的第二天,她出现了间歇性低烧,胸部计算机断层扫描发现了细微的浸润和结节。尽管对她进行了三甲双氨-磺胺甲恶唑(TMP-SMX)预防治疗,但她还是出现了明显的气短和I型呼吸衰竭,乳酸脱氢酶和β-D-葡聚糖检测值升高。胸部计算机断层扫描显示弥漫性磨玻璃不透明,并伴有散在的小结节。干咳促使对外周血进行下一代测序,结果显示吉罗韦氏肺囊虫检测呈阳性,但未发现其他病原体。因此,患者被诊断为五氯苯酚。患者不得不停用第一周期的 Blinatumomab,并服用了治疗剂量的 TMP-SMX 和地塞米松,结果完全康复,随访期间病情稳定。结论 在接受Blinatumomab治疗的B细胞前体ALL患者中,五氯苯酚罕见,但表现为发病早、病情进展快。尽管采取了预防措施,但在Blinatumomab治疗期间仍不能忽视PCP感染。因此,在使用Blinatumomab治疗时应提高警惕。
本文章由计算机程序翻译,如有差异,请以英文原文为准。
求助全文
约1分钟内获得全文 求助全文
来源期刊
Chemotherapy
Chemotherapy 医学-药学
CiteScore
5.80
自引率
0.00%
发文量
34
审稿时长
6-12 weeks
期刊介绍: This journal publishes original research articles and state-of-the-art reviews on all aspects of antimicrobial and antitumor chemotherapy. The results of experimental and clinical investigations into the microbiological and pharmacologic properties of antibacterial, antiviral and antitumor compounds are major topics of publication. Papers selected for the journal offer data concerning the efficacy, toxicology, and interactions of new drugs in single or combined applications. Studies designed to determine the pharmacokinetic and pharmacodynamics properties of similar preparations and comparing their efficacy are also included. Special emphasis is given to the development of drug-resistance, an increasing problem worldwide.
×
引用
GB/T 7714-2015
复制
MLA
复制
APA
复制
导出至
BibTeX EndNote RefMan NoteFirst NoteExpress
×
提示
您的信息不完整,为了账户安全,请先补充。
现在去补充
×
提示
您因"违规操作"
具体请查看互助需知
我知道了
×
提示
确定
请完成安全验证×
copy
已复制链接
快去分享给好友吧!
我知道了
右上角分享
点击右上角分享
0
联系我们:info@booksci.cn Book学术提供免费学术资源搜索服务,方便国内外学者检索中英文文献。致力于提供最便捷和优质的服务体验。 Copyright © 2023 布克学术 All rights reserved.
京ICP备2023020795号-1
ghs 京公网安备 11010802042870号
Book学术文献互助
Book学术文献互助群
群 号:604180095
Book学术官方微信