Hydropic leiomyoma-like ovarian tumor: a case report.

IF 0.9 Q3 MEDICINE, GENERAL & INTERNAL
Fukushima Journal of Medical Science Pub Date : 2024-04-26 Epub Date: 2024-03-15 DOI:10.5387/fms.2023-22
Tomoko Yamaguchi, Hyo Kyozuka, Yoshihiro Kochi, Fumihiro Ito, Hajime Odajima, Daisuke Suzuki, Yasuhisa Nomura
{"title":"Hydropic leiomyoma-like ovarian tumor: a case report.","authors":"Tomoko Yamaguchi, Hyo Kyozuka, Yoshihiro Kochi, Fumihiro Ito, Hajime Odajima, Daisuke Suzuki, Yasuhisa Nomura","doi":"10.5387/fms.2023-22","DOIUrl":null,"url":null,"abstract":"<p><p>Uterine leiomyomas, benign tumors common in reproductive-aged women, can display rare variants such as hydropic leiomyoma (HL), which exhibit unique histological features like zonal edema and increased vascularity. However, due to its rarity, comprehensive clinical knowledge about HL is limited. We report a case of a 49-year-old Japanese woman who was premenopausal and nulliparous, presenting with a two-year history of abdominal distension. An MRI scan revealed a 20 cm mass in the posterior part of the uterus, exhibiting characteristics suggestive of an ovarian tumor. During laparotomy, a cystic tumor connected with a swollen fibroid was found, and pathology confirmed HL. This case emphasizes that hydropic leiomyomas can mimic malignant tumors on ultrasonography due to their atypical features, necessitating additional evaluations using alternative imaging techniques or histopathological examinations for accurate diagnosis and appropriate management. The patient recovered uneventfully, broadening our understanding of HL's clinical presentation.</p>","PeriodicalId":44831,"journal":{"name":"Fukushima Journal of Medical Science","volume":" ","pages":"93-98"},"PeriodicalIF":0.9000,"publicationDate":"2024-04-26","publicationTypes":"Journal Article","fieldsOfStudy":null,"isOpenAccess":false,"openAccessPdf":"https://www.ncbi.nlm.nih.gov/pmc/articles/PMC11140197/pdf/","citationCount":"0","resultStr":null,"platform":"Semanticscholar","paperid":null,"PeriodicalName":"Fukushima Journal of Medical Science","FirstCategoryId":"1085","ListUrlMain":"https://doi.org/10.5387/fms.2023-22","RegionNum":0,"RegionCategory":null,"ArticlePicture":[],"TitleCN":null,"AbstractTextCN":null,"PMCID":null,"EPubDate":"2024/3/15 0:00:00","PubModel":"Epub","JCR":"Q3","JCRName":"MEDICINE, GENERAL & INTERNAL","Score":null,"Total":0}
引用次数: 0

Abstract

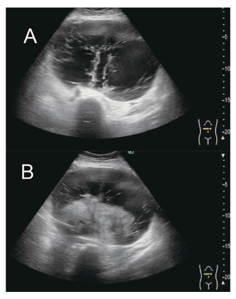
Uterine leiomyomas, benign tumors common in reproductive-aged women, can display rare variants such as hydropic leiomyoma (HL), which exhibit unique histological features like zonal edema and increased vascularity. However, due to its rarity, comprehensive clinical knowledge about HL is limited. We report a case of a 49-year-old Japanese woman who was premenopausal and nulliparous, presenting with a two-year history of abdominal distension. An MRI scan revealed a 20 cm mass in the posterior part of the uterus, exhibiting characteristics suggestive of an ovarian tumor. During laparotomy, a cystic tumor connected with a swollen fibroid was found, and pathology confirmed HL. This case emphasizes that hydropic leiomyomas can mimic malignant tumors on ultrasonography due to their atypical features, necessitating additional evaluations using alternative imaging techniques or histopathological examinations for accurate diagnosis and appropriate management. The patient recovered uneventfully, broadening our understanding of HL's clinical presentation.

Abstract Image

Abstract Image

Abstract Image

水瘤样卵巢肿瘤:病例报告。
子宫纵膈肌瘤是育龄妇女常见的良性肿瘤,可出现水肿性子宫纵膈肌瘤(HL)等罕见变异,表现出独特的组织学特征,如带状水肿和血管增多。然而,由于其罕见性,有关 HL 的全面临床知识非常有限。我们报告了一例 49 岁日本女性的病例,她绝经前无子宫,腹胀病史长达两年。核磁共振扫描发现子宫后部有一个 20 厘米的肿块,显示出卵巢肿瘤的特征。在腹腔镜手术中,发现了一个与肿大的子宫肌瘤相连的囊性肿瘤,病理证实为 HL。该病例强调,水瘤型子宫肌瘤由于其不典型特征,在超声波检查中可能会与恶性肿瘤相混淆,因此有必要使用其他成像技术或组织病理学检查进行额外评估,以获得准确诊断和适当处理。该患者顺利康复,拓宽了我们对HL临床表现的认识。
本文章由计算机程序翻译,如有差异,请以英文原文为准。
求助全文
约1分钟内获得全文 求助全文
来源期刊
Fukushima Journal of Medical Science
Fukushima Journal of Medical Science MEDICINE, GENERAL & INTERNAL-
CiteScore
1.70
自引率
12.50%
发文量
24
×
引用
GB/T 7714-2015
复制
MLA
复制
APA
复制
导出至
BibTeX EndNote RefMan NoteFirst NoteExpress
×
提示
您的信息不完整,为了账户安全,请先补充。
现在去补充
×
提示
您因"违规操作"
具体请查看互助需知
我知道了
×
提示
确定
请完成安全验证×
copy
已复制链接
快去分享给好友吧!
我知道了
右上角分享
点击右上角分享
0
联系我们:info@booksci.cn Book学术提供免费学术资源搜索服务,方便国内外学者检索中英文文献。致力于提供最便捷和优质的服务体验。 Copyright © 2023 布克学术 All rights reserved.
京ICP备2023020795号-1
ghs 京公网安备 11010802042870号
Book学术文献互助
Book学术文献互助群
群 号:604180095
Book学术官方微信