Case Study: Rosai-Dorfman Disease and Its Multifaceted Aspects.

IF 2.7 Q3 HEMATOLOGY
Journal of Blood Medicine Pub Date : 2024-03-11 eCollection Date: 2024-01-01 DOI:10.2147/JBM.S436720
Daniela Oliveira Werneck Rodrigues, Roberta Wolp Diniz, Leonardo Cunha Dentz, Monica de Albuquerque Costa, Roberto Heleno Lopes, Lucas Fernandes Suassuna, Jane Rocha Duarte Cintra, Christian Domenge
{"title":"Case Study: Rosai-Dorfman Disease and Its Multifaceted Aspects.","authors":"Daniela Oliveira Werneck Rodrigues, Roberta Wolp Diniz, Leonardo Cunha Dentz, Monica de Albuquerque Costa, Roberto Heleno Lopes, Lucas Fernandes Suassuna, Jane Rocha Duarte Cintra, Christian Domenge","doi":"10.2147/JBM.S436720","DOIUrl":null,"url":null,"abstract":"<p><p>Rosai-Dorfman Disease (RDD) is a rare non-Langerhans histiocytosis, usually self-limited and presenting with massive, painless, bilateral cervical lymphadenopathy, with or without constitutional symptoms. Extranodal disease is frequently present, and may happen in the absence of lymph node involvement, symptomatology and differential diagnosis will depend on the site affected and fatal cases may occur. The authors present two cases of Rosai-Dorfman disease (RDD), diagnosed through immunohistochemistry, with different progressions, one with complete remission and one culminating in death, highlighting the variety of presentations and the diagnostic difficulty. RDD is a rare condition with clinical presentations similar to several diseases, and should be considered in the differential diagnosis of lymphadenopathy with extranodal lesions.</p>","PeriodicalId":15166,"journal":{"name":"Journal of Blood Medicine","volume":"15 ","pages":"123-128"},"PeriodicalIF":2.7000,"publicationDate":"2024-03-11","publicationTypes":"Journal Article","fieldsOfStudy":null,"isOpenAccess":false,"openAccessPdf":"https://www.ncbi.nlm.nih.gov/pmc/articles/PMC10941986/pdf/","citationCount":"0","resultStr":null,"platform":"Semanticscholar","paperid":null,"PeriodicalName":"Journal of Blood Medicine","FirstCategoryId":"1085","ListUrlMain":"https://doi.org/10.2147/JBM.S436720","RegionNum":0,"RegionCategory":null,"ArticlePicture":[],"TitleCN":null,"AbstractTextCN":null,"PMCID":null,"EPubDate":"2024/1/1 0:00:00","PubModel":"eCollection","JCR":"Q3","JCRName":"HEMATOLOGY","Score":null,"Total":0}
引用次数: 0

Abstract

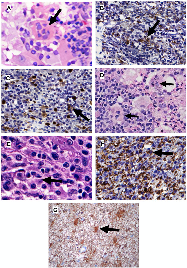
Rosai-Dorfman Disease (RDD) is a rare non-Langerhans histiocytosis, usually self-limited and presenting with massive, painless, bilateral cervical lymphadenopathy, with or without constitutional symptoms. Extranodal disease is frequently present, and may happen in the absence of lymph node involvement, symptomatology and differential diagnosis will depend on the site affected and fatal cases may occur. The authors present two cases of Rosai-Dorfman disease (RDD), diagnosed through immunohistochemistry, with different progressions, one with complete remission and one culminating in death, highlighting the variety of presentations and the diagnostic difficulty. RDD is a rare condition with clinical presentations similar to several diseases, and should be considered in the differential diagnosis of lymphadenopathy with extranodal lesions.

Abstract Image

病例研究:罗赛-多夫曼病及其多面性。
罗赛-多夫曼病(RDD)是一种罕见的非朗格汉斯组织细胞增生症,通常为自限性疾病,表现为巨大、无痛、双侧颈淋巴结肿大,伴或不伴全身症状。经常出现结节外疾病,也可能在没有淋巴结受累的情况下发生,症状和鉴别诊断取决于受累部位,也可能出现致命病例。作者介绍了两例通过免疫组化确诊的罗赛-多夫曼病(RDD)病例,病情发展各不相同,其中一例完全缓解,另一例最终死亡,突显了该病表现的多样性和诊断的困难性。RDD是一种罕见病,临床表现与多种疾病相似,在鉴别诊断淋巴腺病伴有结节外病变时应加以考虑。
本文章由计算机程序翻译,如有差异,请以英文原文为准。
求助全文
约1分钟内获得全文 求助全文
来源期刊
CiteScore
3.50
自引率
0.00%
发文量
94
审稿时长
16 weeks
期刊介绍: The Journal of Blood Medicine is an international, peer-reviewed, open access, online journal publishing laboratory, experimental and clinical aspects of all topics pertaining to blood based medicine including but not limited to: Transfusion Medicine (blood components, stem cell transplantation, apheresis, gene based therapeutics), Blood collection, Donor issues, Transmittable diseases, and Blood banking logistics, Immunohematology, Artificial and alternative blood based therapeutics, Hematology including disorders/pathology related to leukocytes/immunology, red cells, platelets and hemostasis, Biotechnology/nanotechnology of blood related medicine, Legal aspects of blood medicine, Historical perspectives. Original research, short reports, reviews, case reports and commentaries are invited.
×
引用
GB/T 7714-2015
复制
MLA
复制
APA
复制
导出至
BibTeX EndNote RefMan NoteFirst NoteExpress
×
提示
您的信息不完整,为了账户安全,请先补充。
现在去补充
×
提示
您因"违规操作"
具体请查看互助需知
我知道了
×
提示
确定
请完成安全验证×
copy
已复制链接
快去分享给好友吧!
我知道了
右上角分享
点击右上角分享
0
联系我们:info@booksci.cn Book学术提供免费学术资源搜索服务,方便国内外学者检索中英文文献。致力于提供最便捷和优质的服务体验。 Copyright © 2023 布克学术 All rights reserved.
京ICP备2023020795号-1
ghs 京公网安备 11010802042870号
Book学术文献互助
Book学术文献互助群
群 号:604180095
Book学术官方微信