Quadricuspid Aortic Valve and Rheumatoid Arthritis: A Coincidence or Interconnection.

IF 0.6 Q3 MEDICINE, GENERAL & INTERNAL
Clinical Medicine Insights. Case Reports Pub Date : 2024-03-14 eCollection Date: 2024-01-01 DOI:10.1177/11795476241238941
Aurora Bakalli, Rrezarta Alihajdaraj, Mjellma Rexhepi, Korona Bince, Xhevdet Krasniqi
{"title":"Quadricuspid Aortic Valve and Rheumatoid Arthritis: A Coincidence or Interconnection.","authors":"Aurora Bakalli, Rrezarta Alihajdaraj, Mjellma Rexhepi, Korona Bince, Xhevdet Krasniqi","doi":"10.1177/11795476241238941","DOIUrl":null,"url":null,"abstract":"<p><p>Quadricuspid aortic valve is a very rare congenital anomaly. Its association with rheumatoid arthritis is exceptional with this being the third case reported in the literature. We report a case of a 52 year old female patient with quadricuspid aortic valve type C accompanied by moderate to severe aortic regurgitation and longstanding, advanced form of rheumatoid arthritis. Having refused surgical aortic valve intervention 4 years ago, the patient is currently under a watchful follow-up strategy. The patient received a diagnosis of rheumatoid arthritis over 15 years before and presently has serious deformities in the hands, legs, feet, and spine. In conclusion, quadricuspid aortic valve and rheumatoid arthritis together are extremely rare. While it is possible that this association is coincidental, considering the genetic background of both disorders, there is a potential for them to be interconnected comorbidities. This report is the first to highlight the association between the 2 disorders.</p>","PeriodicalId":10357,"journal":{"name":"Clinical Medicine Insights. Case Reports","volume":"17 ","pages":"11795476241238941"},"PeriodicalIF":0.6000,"publicationDate":"2024-03-14","publicationTypes":"Journal Article","fieldsOfStudy":null,"isOpenAccess":false,"openAccessPdf":"https://www.ncbi.nlm.nih.gov/pmc/articles/PMC10943700/pdf/","citationCount":"0","resultStr":null,"platform":"Semanticscholar","paperid":null,"PeriodicalName":"Clinical Medicine Insights. Case Reports","FirstCategoryId":"1085","ListUrlMain":"https://doi.org/10.1177/11795476241238941","RegionNum":0,"RegionCategory":null,"ArticlePicture":[],"TitleCN":null,"AbstractTextCN":null,"PMCID":null,"EPubDate":"2024/1/1 0:00:00","PubModel":"eCollection","JCR":"Q3","JCRName":"MEDICINE, GENERAL & INTERNAL","Score":null,"Total":0}
引用次数: 0

Abstract

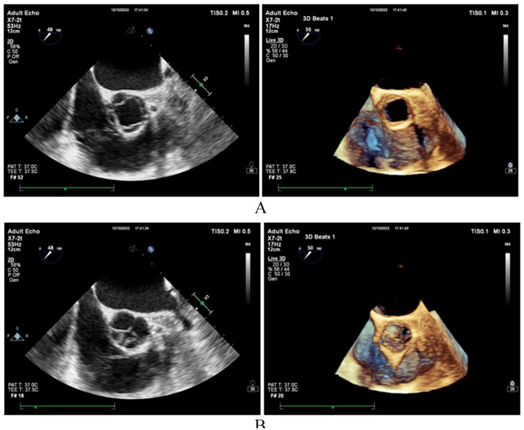
Quadricuspid aortic valve is a very rare congenital anomaly. Its association with rheumatoid arthritis is exceptional with this being the third case reported in the literature. We report a case of a 52 year old female patient with quadricuspid aortic valve type C accompanied by moderate to severe aortic regurgitation and longstanding, advanced form of rheumatoid arthritis. Having refused surgical aortic valve intervention 4 years ago, the patient is currently under a watchful follow-up strategy. The patient received a diagnosis of rheumatoid arthritis over 15 years before and presently has serious deformities in the hands, legs, feet, and spine. In conclusion, quadricuspid aortic valve and rheumatoid arthritis together are extremely rare. While it is possible that this association is coincidental, considering the genetic background of both disorders, there is a potential for them to be interconnected comorbidities. This report is the first to highlight the association between the 2 disorders.

Abstract Image

Abstract Image

Abstract Image

四尖瓣主动脉瓣与类风湿关节炎:巧合还是关联?
四尖瓣主动脉瓣是一种非常罕见的先天性畸形。它与类风湿性关节炎的关系非常特殊,这是文献中报道的第三例。我们报告了一例 52 岁女性患者的病例,她患有四尖瓣主动脉瓣 C 型,伴有中重度主动脉瓣反流和长期晚期类风湿性关节炎。4 年前,患者拒绝接受主动脉瓣手术治疗,目前正处于观察随访阶段。患者在 15 年前被诊断出患有类风湿性关节炎,目前手、腿、脚和脊柱严重变形。总之,四尖瓣主动脉瓣和类风湿性关节炎同时出现的情况极为罕见。虽然这种关联可能是巧合,但考虑到这两种疾病的遗传背景,它们有可能是相互关联的合并症。本报告首次强调了这两种疾病之间的关联。
本文章由计算机程序翻译,如有差异,请以英文原文为准。
求助全文
约1分钟内获得全文 求助全文
来源期刊
Clinical Medicine Insights. Case Reports
Clinical Medicine Insights. Case Reports MEDICINE, GENERAL & INTERNAL-
CiteScore
1.10
自引率
0.00%
发文量
57
审稿时长
8 weeks
×
引用
GB/T 7714-2015
复制
MLA
复制
APA
复制
导出至
BibTeX EndNote RefMan NoteFirst NoteExpress
×
提示
您的信息不完整,为了账户安全,请先补充。
现在去补充
×
提示
您因"违规操作"
具体请查看互助需知
我知道了
×
提示
确定
请完成安全验证×
copy
已复制链接
快去分享给好友吧!
我知道了
右上角分享
点击右上角分享
0
联系我们:info@booksci.cn Book学术提供免费学术资源搜索服务,方便国内外学者检索中英文文献。致力于提供最便捷和优质的服务体验。 Copyright © 2023 布克学术 All rights reserved.
京ICP备2023020795号-1
ghs 京公网安备 11010802042870号
Book学术文献互助
Book学术文献互助群
群 号:604180095
Book学术官方微信