Mycotic Pulmonary Artery Aneurysm a Rare Complication of Ventricular Septal Defect With Infective Endocarditis: A Case Report.

IF 0.6 Q3 MEDICINE, GENERAL & INTERNAL
Clinical Medicine Insights. Case Reports Pub Date : 2024-03-16 eCollection Date: 2024-01-01 DOI:10.1177/11795476241238884
Selma Khouchoua, Lina Belkouchi, Najlaa Lrhorfi, Siham El Haddad, Nazik Allali, Latifa Chat
{"title":"Mycotic Pulmonary Artery Aneurysm a Rare Complication of Ventricular Septal Defect With Infective Endocarditis: A Case Report.","authors":"Selma Khouchoua, Lina Belkouchi, Najlaa Lrhorfi, Siham El Haddad, Nazik Allali, Latifa Chat","doi":"10.1177/11795476241238884","DOIUrl":null,"url":null,"abstract":"<p><strong>Introduction: </strong>Pulmonary artery aneurysms encompass a wide range of presentations and forms. Mycotic aneurysms represent a particular subset of focal dilatation of the vessel wall with high morbidity and mortality rates. Herein, we report the case of a 32 year old patient, with a prior history of ventricular septal defect presenting with a mycotic pulmonary artery aneurysm associated with infective endocarditis and septic emboli.</p><p><strong>Case presentation: </strong>We present the case of a 32 year old male with known history of congenital ventricular septal defect presented to the emergency department with signs of sepsis and dyspnea. Blood cultures were positive for methicillin-sensitive Staphylococcus aureus. An echocardiogram found evidence of endocarditis with multiples intra cavitary vegetations. A CT angiogram demonstrated major right ventricular dilatation, multiple nodules and peripheral opacities, scattered throughout the lungs, indicative of septic emboli. Segmental saccular dilatation of the left lateral basal pulmonary artery consistent with a mycotic aneurysm formation was found. The patient was started on intravenous antibiotics and given the overall satisfactory evolution a conservative approach was pursued. The patient was discharged with antibiotics and scheduled for surgical repair of the ventricular septal defect.</p><p><strong>Conclusion: </strong>To our knowledge, mycotic aneurysms associated to congenital heart malformation like ventricular septal wall defect remains a rare condition with few reported cases in the literature. Being aware of this entity is important for every practicing radiologist to allow for early diagnosis and treatment.</p>","PeriodicalId":10357,"journal":{"name":"Clinical Medicine Insights. Case Reports","volume":"17 ","pages":"11795476241238884"},"PeriodicalIF":0.6000,"publicationDate":"2024-03-16","publicationTypes":"Journal Article","fieldsOfStudy":null,"isOpenAccess":false,"openAccessPdf":"https://www.ncbi.nlm.nih.gov/pmc/articles/PMC10943749/pdf/","citationCount":"0","resultStr":null,"platform":"Semanticscholar","paperid":null,"PeriodicalName":"Clinical Medicine Insights. Case Reports","FirstCategoryId":"1085","ListUrlMain":"https://doi.org/10.1177/11795476241238884","RegionNum":0,"RegionCategory":null,"ArticlePicture":[],"TitleCN":null,"AbstractTextCN":null,"PMCID":null,"EPubDate":"2024/1/1 0:00:00","PubModel":"eCollection","JCR":"Q3","JCRName":"MEDICINE, GENERAL & INTERNAL","Score":null,"Total":0}
引用次数: 0

Abstract

Introduction: Pulmonary artery aneurysms encompass a wide range of presentations and forms. Mycotic aneurysms represent a particular subset of focal dilatation of the vessel wall with high morbidity and mortality rates. Herein, we report the case of a 32 year old patient, with a prior history of ventricular septal defect presenting with a mycotic pulmonary artery aneurysm associated with infective endocarditis and septic emboli.

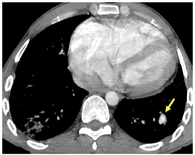
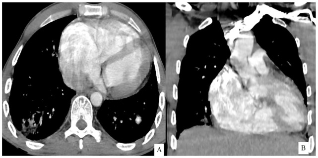
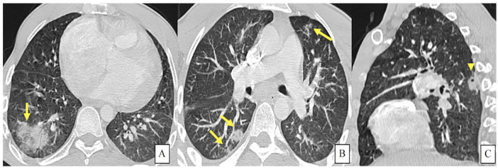
Case presentation: We present the case of a 32 year old male with known history of congenital ventricular septal defect presented to the emergency department with signs of sepsis and dyspnea. Blood cultures were positive for methicillin-sensitive Staphylococcus aureus. An echocardiogram found evidence of endocarditis with multiples intra cavitary vegetations. A CT angiogram demonstrated major right ventricular dilatation, multiple nodules and peripheral opacities, scattered throughout the lungs, indicative of septic emboli. Segmental saccular dilatation of the left lateral basal pulmonary artery consistent with a mycotic aneurysm formation was found. The patient was started on intravenous antibiotics and given the overall satisfactory evolution a conservative approach was pursued. The patient was discharged with antibiotics and scheduled for surgical repair of the ventricular septal defect.

Conclusion: To our knowledge, mycotic aneurysms associated to congenital heart malformation like ventricular septal wall defect remains a rare condition with few reported cases in the literature. Being aware of this entity is important for every practicing radiologist to allow for early diagnosis and treatment.

Abstract Image

Abstract Image

Abstract Image

霉菌性肺动脉瘤是室间隔缺损并发感染性心内膜炎的罕见并发症:病例报告。
导言:肺动脉瘤的表现和形态多种多样。霉菌性动脉瘤是血管壁局灶性扩张的一个特殊亚型,具有很高的发病率和死亡率。在此,我们报告了一例 32 岁患者的病例,该患者既往有室间隔缺损病史,出现霉菌性肺动脉瘤并伴有感染性心内膜炎和化脓性栓塞:本病例为一名 32 岁男性,已知有先天性室间隔缺损病史,因败血症和呼吸困难症状就诊于急诊科。血液培养对甲氧西林敏感的金黄色葡萄球菌呈阳性。超声心动图检查发现了心内膜炎的证据,并伴有多发性腔内植被。CT 血管造影显示右心室严重扩张,肺部散布着多个结节和周边不通透,表明存在化脓性栓子。左外侧基底肺动脉发现节段性囊状扩张,与霉菌性动脉瘤的形成一致。患者开始静脉注射抗生素,鉴于总体情况令人满意,医生采取了保守疗法。患者服用抗生素后出院,并安排了室间隔缺损的手术修复:据我们所知,与室间隔室壁缺损等先天性心脏畸形相关的霉菌性动脉瘤仍然是一种罕见病,文献中鲜有报道。对每一位放射科医生来说,了解这种疾病对早期诊断和治疗都非常重要。
本文章由计算机程序翻译,如有差异,请以英文原文为准。
求助全文
约1分钟内获得全文 求助全文
来源期刊
Clinical Medicine Insights. Case Reports
Clinical Medicine Insights. Case Reports MEDICINE, GENERAL & INTERNAL-
CiteScore
1.10
自引率
0.00%
发文量
57
审稿时长
8 weeks
×
引用
GB/T 7714-2015
复制
MLA
复制
APA
复制
导出至
BibTeX EndNote RefMan NoteFirst NoteExpress
×
提示
您的信息不完整,为了账户安全,请先补充。
现在去补充
×
提示
您因"违规操作"
具体请查看互助需知
我知道了
×
提示
确定
请完成安全验证×
copy
已复制链接
快去分享给好友吧!
我知道了
右上角分享
点击右上角分享
0
联系我们:info@booksci.cn Book学术提供免费学术资源搜索服务,方便国内外学者检索中英文文献。致力于提供最便捷和优质的服务体验。 Copyright © 2023 布克学术 All rights reserved.
京ICP备2023020795号-1
ghs 京公网安备 11010802042870号
Book学术文献互助
Book学术文献互助群
群 号:604180095
Book学术官方微信