Congenital Riedel's lobe of the liver: A case report.

IF 2.1 Q4 GASTROENTEROLOGY & HEPATOLOGY
Hepatology Forum Pub Date : 2024-02-12 eCollection Date: 2024-01-01 DOI:10.14744/hf.2023.2023.0007
Ankoor H Patel, Rajan Amin, George Abdelsayed
{"title":"Congenital Riedel's lobe of the liver: A case report.","authors":"Ankoor H Patel, Rajan Amin, George Abdelsayed","doi":"10.14744/hf.2023.2023.0007","DOIUrl":null,"url":null,"abstract":"<p><p>Riedel's lobe of the liver is a rare anatomical variant often incidentally found on imaging or through the presence of hepatomegaly on physical examination. While patients are usually asymptomatic, the presentation of this condition can vary, ranging from nonspecific symptoms to more severe issues such as torsion, obstruction, rupture, and bleeding. We present a case of a patient with asymptomatic hepatomegaly who was incidentally found to have Riedel's lobe of the liver, accompanied by an elevated IgG mitochondrial antibody. The range of symptoms associated with this rare anatomical variation underscores its importance in diagnosis and surveillance within this patient population.</p>","PeriodicalId":29722,"journal":{"name":"Hepatology Forum","volume":"5 2","pages":"87-89"},"PeriodicalIF":2.1000,"publicationDate":"2024-02-12","publicationTypes":"Journal Article","fieldsOfStudy":null,"isOpenAccess":false,"openAccessPdf":"https://www.ncbi.nlm.nih.gov/pmc/articles/PMC10936122/pdf/","citationCount":"0","resultStr":null,"platform":"Semanticscholar","paperid":null,"PeriodicalName":"Hepatology Forum","FirstCategoryId":"1085","ListUrlMain":"https://doi.org/10.14744/hf.2023.2023.0007","RegionNum":0,"RegionCategory":null,"ArticlePicture":[],"TitleCN":null,"AbstractTextCN":null,"PMCID":null,"EPubDate":"2024/1/1 0:00:00","PubModel":"eCollection","JCR":"Q4","JCRName":"GASTROENTEROLOGY & HEPATOLOGY","Score":null,"Total":0}
引用次数: 0

Abstract

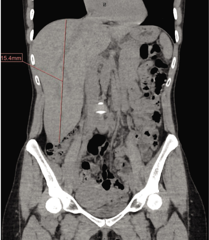
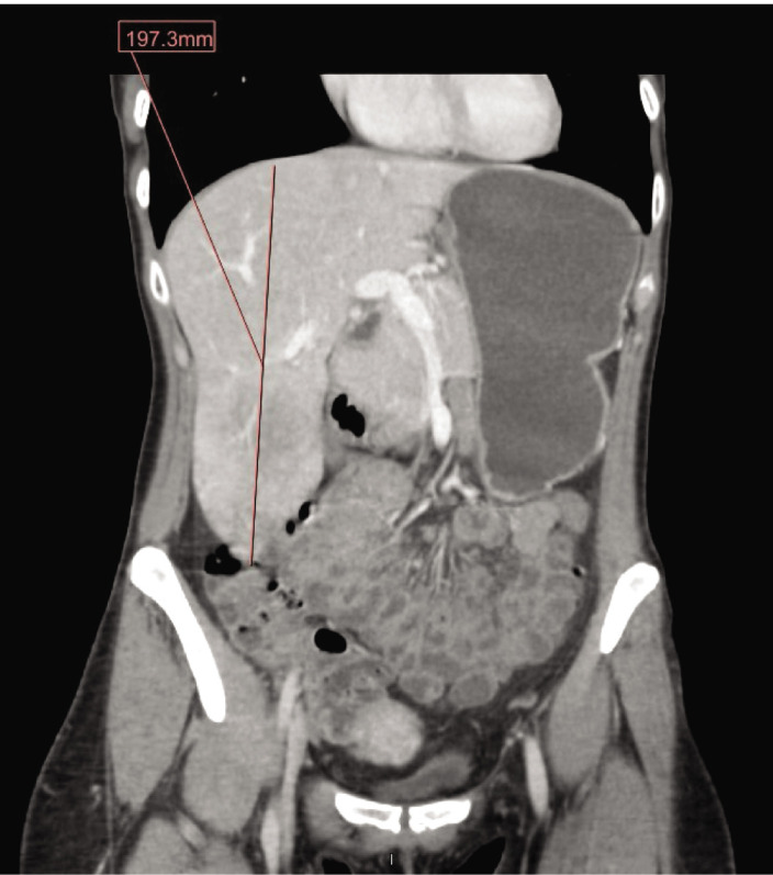
Riedel's lobe of the liver is a rare anatomical variant often incidentally found on imaging or through the presence of hepatomegaly on physical examination. While patients are usually asymptomatic, the presentation of this condition can vary, ranging from nonspecific symptoms to more severe issues such as torsion, obstruction, rupture, and bleeding. We present a case of a patient with asymptomatic hepatomegaly who was incidentally found to have Riedel's lobe of the liver, accompanied by an elevated IgG mitochondrial antibody. The range of symptoms associated with this rare anatomical variation underscores its importance in diagnosis and surveillance within this patient population.

Abstract Image

Abstract Image

先天性里德尔肝叶:病例报告。
雷德尔肝叶是一种罕见的解剖变异,通常是在影像学检查中偶然发现,或在体检时发现肝脏肿大。虽然患者通常没有症状,但这种病症的表现却各不相同,有的表现为非特异性症状,有的则表现为扭转、梗阻、破裂和出血等更严重的问题。我们介绍了一例无症状肝脏肿大患者的病例,该患者被偶然发现患有里德尔肝叶,同时伴有线粒体抗体 IgG 升高。与这种罕见的解剖变异相关的一系列症状凸显了它在诊断和监测这类患者时的重要性。
本文章由计算机程序翻译,如有差异,请以英文原文为准。
求助全文
约1分钟内获得全文 求助全文
来源期刊
CiteScore
1.90
自引率
12.50%
发文量
0
×
引用
GB/T 7714-2015
复制
MLA
复制
APA
复制
导出至
BibTeX EndNote RefMan NoteFirst NoteExpress
×
提示
您的信息不完整,为了账户安全,请先补充。
现在去补充
×
提示
您因"违规操作"
具体请查看互助需知
我知道了
×
提示
确定
请完成安全验证×
copy
已复制链接
快去分享给好友吧!
我知道了
右上角分享
点击右上角分享
0
联系我们:info@booksci.cn Book学术提供免费学术资源搜索服务,方便国内外学者检索中英文文献。致力于提供最便捷和优质的服务体验。 Copyright © 2023 布克学术 All rights reserved.
京ICP备2023020795号-1
ghs 京公网安备 11010802042870号
Book学术文献互助
Book学术文献互助群
群 号:604180095
Book学术官方微信