Echocardiography in Simple Congenital Heart Diseases: Guiding Adult Patient Management.

IF 1 Q4 CARDIAC & CARDIOVASCULAR SYSTEMS
Journal of Cardiovascular Echography Pub Date : 2023-10-01 Epub Date: 2024-02-26 DOI:10.4103/jcecho.jcecho_52_23
Domenico Galzerano, Valeria Pergola, Abdalla Eltayeb, Fulgione Ludovica, Lana Arbili, Loay Tashkandi, Sara Di Michele, Agatella Barchitta, Maurizio Vito Parato, Giovanni Di Salvo
{"title":"Echocardiography in Simple Congenital Heart Diseases: Guiding Adult Patient Management.","authors":"Domenico Galzerano, Valeria Pergola, Abdalla Eltayeb, Fulgione Ludovica, Lana Arbili, Loay Tashkandi, Sara Di Michele, Agatella Barchitta, Maurizio Vito Parato, Giovanni Di Salvo","doi":"10.4103/jcecho.jcecho_52_23","DOIUrl":null,"url":null,"abstract":"<p><p>This article provides comprehensive insights into the evaluation of simple congenital heart diseases (CHDs) in adults, emphasizing the pivotal role of echocardiography. By focusing on conditions such as congenital aortic stenosis, aortic coarctation, patent ductus arteriosus, atrial septal defects (ASDs), and ventricular septal defects (VSDs), the review underscores echocardiography's intricate contributions to precise clinical decision-making. Echocardiography serves as the primary imaging modality, offering high-resolution visualization of anatomical anomalies and quantification of hemodynamic parameters. It enables tailored therapeutic strategies through its capacity to discern the dimensions, spatial orientation, and dynamic shunt dynamics of defects such as ASDs and VSDs. Moreover, echocardiography's advanced techniques, such as tissue Doppler imaging and speckle tracking, provide detailed insights into atrial mechanics, diastolic function, and ventricular filling kinetics. Integration of echocardiographic findings into clinical practice empowers clinicians to create personalized interventions based on quantified ventricular function, which spans systolic and diastolic aspects. This approach facilitates risk stratification and therapeutic planning, particularly pertinent in heart failure management within the CHD patient population. In summary, echocardiography transcends its role as an imaging tool, emerging as a precision-guided instrument adept at navigating the complexities of simple CHD in adults. Its ability to expedite diagnosis, quantify hemodynamic impacts, and unravel multifaceted functional dynamics culminates in a comprehensive depiction of these conditions. The fusion of these insights with clinical expertise empowers clinicians to navigate the intricate pathways of CHD, crafting tailored therapeutic strategies characterized by precision and efficacy.</p>","PeriodicalId":15191,"journal":{"name":"Journal of Cardiovascular Echography","volume":"33 4","pages":"171-182"},"PeriodicalIF":1.0000,"publicationDate":"2023-10-01","publicationTypes":"Journal Article","fieldsOfStudy":null,"isOpenAccess":false,"openAccessPdf":"https://www.ncbi.nlm.nih.gov/pmc/articles/PMC10936704/pdf/","citationCount":"0","resultStr":null,"platform":"Semanticscholar","paperid":null,"PeriodicalName":"Journal of Cardiovascular Echography","FirstCategoryId":"1085","ListUrlMain":"https://doi.org/10.4103/jcecho.jcecho_52_23","RegionNum":0,"RegionCategory":null,"ArticlePicture":[],"TitleCN":null,"AbstractTextCN":null,"PMCID":null,"EPubDate":"2024/2/26 0:00:00","PubModel":"Epub","JCR":"Q4","JCRName":"CARDIAC & CARDIOVASCULAR SYSTEMS","Score":null,"Total":0}
引用次数: 0

Abstract

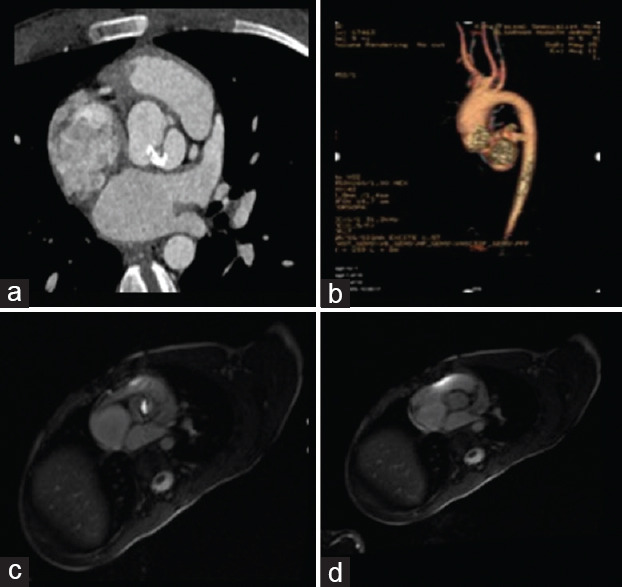
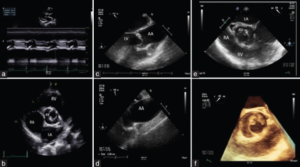
This article provides comprehensive insights into the evaluation of simple congenital heart diseases (CHDs) in adults, emphasizing the pivotal role of echocardiography. By focusing on conditions such as congenital aortic stenosis, aortic coarctation, patent ductus arteriosus, atrial septal defects (ASDs), and ventricular septal defects (VSDs), the review underscores echocardiography's intricate contributions to precise clinical decision-making. Echocardiography serves as the primary imaging modality, offering high-resolution visualization of anatomical anomalies and quantification of hemodynamic parameters. It enables tailored therapeutic strategies through its capacity to discern the dimensions, spatial orientation, and dynamic shunt dynamics of defects such as ASDs and VSDs. Moreover, echocardiography's advanced techniques, such as tissue Doppler imaging and speckle tracking, provide detailed insights into atrial mechanics, diastolic function, and ventricular filling kinetics. Integration of echocardiographic findings into clinical practice empowers clinicians to create personalized interventions based on quantified ventricular function, which spans systolic and diastolic aspects. This approach facilitates risk stratification and therapeutic planning, particularly pertinent in heart failure management within the CHD patient population. In summary, echocardiography transcends its role as an imaging tool, emerging as a precision-guided instrument adept at navigating the complexities of simple CHD in adults. Its ability to expedite diagnosis, quantify hemodynamic impacts, and unravel multifaceted functional dynamics culminates in a comprehensive depiction of these conditions. The fusion of these insights with clinical expertise empowers clinicians to navigate the intricate pathways of CHD, crafting tailored therapeutic strategies characterized by precision and efficacy.

Abstract Image

Abstract Image

Abstract Image

简单先天性心脏病的超声心动图检查:指导成人患者管理。
本文全面介绍了成人简单先天性心脏病(CHD)的评估,强调了超声心动图的关键作用。通过重点分析先天性主动脉瓣狭窄、主动脉瓣狭窄、动脉导管未闭、房间隔缺损 (ASD) 和室间隔缺损 (VSD) 等疾病,文章强调了超声心动图对精确临床决策的重要贡献。超声心动图是主要的成像方式,可提供解剖异常的高分辨率可视化和血液动力学参数的量化。超声心动图能够辨别 ASD 和 VSD 等缺损的尺寸、空间方向和动态分流动力学,从而制定有针对性的治疗策略。此外,超声心动图的先进技术,如组织多普勒成像和斑点追踪技术,还能详细了解心房力学、舒张功能和心室充盈动力学。将超声心动图检查结果与临床实践相结合,使临床医生能够根据量化的心室功能(包括收缩和舒张功能)制定个性化的干预措施。这种方法有助于进行风险分层和制定治疗计划,尤其适用于冠心病患者的心力衰竭管理。总之,超声心动图超越了其作为成像工具的角色,成为一种精确制导的仪器,善于驾驭成人简单冠心病的复杂性。超声心动图能够加快诊断、量化血流动力学影响并揭示多方面的功能动态,从而全面描述这些病症。这些洞察力与临床专业知识的融合使临床医生能够驾驭复杂的冠心病路径,制定以精确和有效为特点的定制治疗策略。
本文章由计算机程序翻译,如有差异,请以英文原文为准。
求助全文
约1分钟内获得全文 求助全文
来源期刊
Journal of Cardiovascular Echography
Journal of Cardiovascular Echography CARDIAC & CARDIOVASCULAR SYSTEMS-
CiteScore
1.40
自引率
12.50%
发文量
27
×
引用
GB/T 7714-2015
复制
MLA
复制
APA
复制
导出至
BibTeX EndNote RefMan NoteFirst NoteExpress
×
提示
您的信息不完整,为了账户安全,请先补充。
现在去补充
×
提示
您因"违规操作"
具体请查看互助需知
我知道了
×
提示
确定
请完成安全验证×
copy
已复制链接
快去分享给好友吧!
我知道了
右上角分享
点击右上角分享
0
联系我们:info@booksci.cn Book学术提供免费学术资源搜索服务,方便国内外学者检索中英文文献。致力于提供最便捷和优质的服务体验。 Copyright © 2023 布克学术 All rights reserved.
京ICP备2023020795号-1
ghs 京公网安备 11010802042870号
Book学术文献互助
Book学术文献互助群
群 号:604180095
Book学术官方微信