Pre-auricular Subtemporal Approach for Intracranial Angiofibroma.

Q3 Medicine
Neizekhotuo Brian Shunyu, Zareen Lynrah, Manu C Balakrishnan, Lham Dorjee, Ratan Medhi
{"title":"Pre-auricular Subtemporal Approach for Intracranial Angiofibroma.","authors":"Neizekhotuo Brian Shunyu, Zareen Lynrah, Manu C Balakrishnan, Lham Dorjee, Ratan Medhi","doi":"10.22038/IJORL.2024.74214.3496","DOIUrl":null,"url":null,"abstract":"<p><strong>Introduction: </strong>In around 10-20% of angiofibroma cases, the tumor penetrates the skull base to involve intracranial structures, posing difficulty in treating them surgically. Today, advancement in skull base surgery has brought about a paradigm shift, and extensive angiofibroma tumors with intracranial extension are approached surgically today with minimal morbidity.</p><p><strong>Materials and methods: </strong>This study was a retrospective analysis of angiofibroma with significant intracranial extension Radkowski staging IIIb from 2011 to 2021 who came to our center. There were seven children of angiofibroma with significant intracranial extension Radkowski staging IIIb, out of whom, four patients had undergone surgical resection at our center. Three patients underwent surgery by pre-auricular lateral subtemporal approach and one patient by maxillary swing approach. Preoperative embolization was done in all the patients one day before the day of operation.</p><p><strong>Results: </strong>Gross total removal of the tumor was achieved in all three patients who had undergone pre-auricular lateral subtemporal approach with no permanent complication. All three patients had a minimum follow-up of one year with no recurrence.</p><p><strong>Conclusion: </strong>The pre-auricular lateral subtemporal approach provides the shortest shallow route to the affected skull base with direct visualization of the tumor base. Hence recommended for angiofibroma with Radkowski staging IIIb.</p>","PeriodicalId":14607,"journal":{"name":"Iranian Journal of Otorhinolaryngology","volume":"36 2","pages":"407-413"},"PeriodicalIF":0.0000,"publicationDate":"2024-03-01","publicationTypes":"Journal Article","fieldsOfStudy":null,"isOpenAccess":false,"openAccessPdf":"https://www.ncbi.nlm.nih.gov/pmc/articles/PMC10925967/pdf/","citationCount":"0","resultStr":null,"platform":"Semanticscholar","paperid":null,"PeriodicalName":"Iranian Journal of Otorhinolaryngology","FirstCategoryId":"1085","ListUrlMain":"https://doi.org/10.22038/IJORL.2024.74214.3496","RegionNum":0,"RegionCategory":null,"ArticlePicture":[],"TitleCN":null,"AbstractTextCN":null,"PMCID":null,"EPubDate":"","PubModel":"","JCR":"Q3","JCRName":"Medicine","Score":null,"Total":0}
引用次数: 0

Abstract

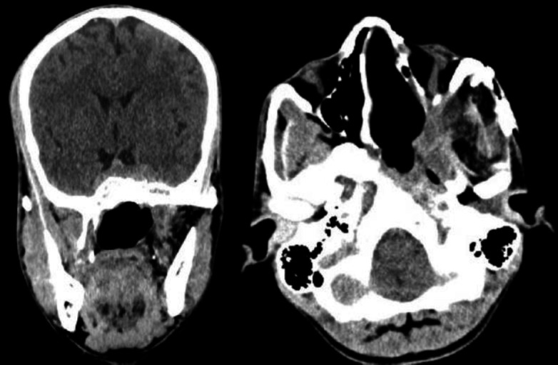
Introduction: In around 10-20% of angiofibroma cases, the tumor penetrates the skull base to involve intracranial structures, posing difficulty in treating them surgically. Today, advancement in skull base surgery has brought about a paradigm shift, and extensive angiofibroma tumors with intracranial extension are approached surgically today with minimal morbidity.

Materials and methods: This study was a retrospective analysis of angiofibroma with significant intracranial extension Radkowski staging IIIb from 2011 to 2021 who came to our center. There were seven children of angiofibroma with significant intracranial extension Radkowski staging IIIb, out of whom, four patients had undergone surgical resection at our center. Three patients underwent surgery by pre-auricular lateral subtemporal approach and one patient by maxillary swing approach. Preoperative embolization was done in all the patients one day before the day of operation.

Results: Gross total removal of the tumor was achieved in all three patients who had undergone pre-auricular lateral subtemporal approach with no permanent complication. All three patients had a minimum follow-up of one year with no recurrence.

Conclusion: The pre-auricular lateral subtemporal approach provides the shortest shallow route to the affected skull base with direct visualization of the tumor base. Hence recommended for angiofibroma with Radkowski staging IIIb.

Abstract Image

Abstract Image

Abstract Image

耳前颞下入路治疗颅内血管纤维瘤
导言:约有 10-20% 的血管纤维瘤病例,肿瘤穿透颅底,累及颅内结构,给手术治疗带来困难。如今,颅底手术的进步带来了模式的转变,广泛的血管纤维瘤肿瘤向颅内扩展,如今可通过手术治疗,且发病率极低:本研究是对2011年至2021年期间来我中心就诊的颅内明显扩展的血管纤维瘤Radkowski分期IIIb患者的回顾性分析。本中心共收治 7 例颅内明显扩展的血管纤维瘤 Radkowski 分期 IIIb 患儿,其中 4 例已接受手术切除。三名患者采用耳前侧颞下入路手术,一名患者采用上颌下摆入路手术。所有患者都在手术前一天进行了术前栓塞:结果:接受耳前颞下外侧入路手术的三名患者均完全切除了肿瘤,且无永久性并发症。结论:耳前侧颞下入路手术是一种有效的治疗方法:结论:耳前颞下外侧入路是通往受累颅底的最短浅层入路,可直接观察到肿瘤基底。因此,推荐用于拉德考斯基分期为 IIIb 的血管纤维瘤。
本文章由计算机程序翻译,如有差异,请以英文原文为准。
求助全文
约1分钟内获得全文 求助全文
来源期刊
Iranian Journal of Otorhinolaryngology
Iranian Journal of Otorhinolaryngology Medicine-Otorhinolaryngology
CiteScore
1.30
自引率
0.00%
发文量
72
审稿时长
12 weeks
×
引用
GB/T 7714-2015
复制
MLA
复制
APA
复制
导出至
BibTeX EndNote RefMan NoteFirst NoteExpress
×
提示
您的信息不完整,为了账户安全,请先补充。
现在去补充
×
提示
您因"违规操作"
具体请查看互助需知
我知道了
×
提示
确定
请完成安全验证×
copy
已复制链接
快去分享给好友吧!
我知道了
右上角分享
点击右上角分享
0
联系我们:info@booksci.cn Book学术提供免费学术资源搜索服务,方便国内外学者检索中英文文献。致力于提供最便捷和优质的服务体验。 Copyright © 2023 布克学术 All rights reserved.
京ICP备2023020795号-1
ghs 京公网安备 11010802042870号
Book学术文献互助
Book学术文献互助群
群 号:604180095
Book学术官方微信