Delineating thrombus versus myxoma: Perioperative 3D transesophageal echocardiography to the rescue!

IF 1.3 Q3 RADIOLOGY, NUCLEAR MEDICINE & MEDICAL IMAGING
Journal of Clinical Imaging Science Pub Date : 2024-02-29 eCollection Date: 2024-01-01 DOI:10.25259/JCIS_136_2023
Mohanish Badge, Poonam Malhotra Kapoor, T Thiruselvan, Jijo Francis
{"title":"Delineating thrombus versus myxoma: Perioperative 3D transesophageal echocardiography to the rescue!","authors":"Mohanish Badge, Poonam Malhotra Kapoor, T Thiruselvan, Jijo Francis","doi":"10.25259/JCIS_136_2023","DOIUrl":null,"url":null,"abstract":"<p><p>Cardiac masses are a significant cause of patient morbidity and mortality by virtue of their symptoms and surgical removal. Preoperative diagnosis of a cardiac mass is usually based on clinical correlation and transthoracic echocardiography findings. Myxomas are the most common benign cardiac tumors, commonly occurring in the left atrium attached to the interatrial septum near the fossa ovalis. Although, at times atypical location and unusual morphology may pose a diagnostic dilemma with 2D echocardiography. 3D echocardiography with its multifaceted advantages, including multiplanar cropping abilities and superior imaging quality can help distinguish between a clot and a myxoma.</p>","PeriodicalId":15512,"journal":{"name":"Journal of Clinical Imaging Science","volume":"14 ","pages":"6"},"PeriodicalIF":1.3000,"publicationDate":"2024-02-29","publicationTypes":"Journal Article","fieldsOfStudy":null,"isOpenAccess":false,"openAccessPdf":"https://www.ncbi.nlm.nih.gov/pmc/articles/PMC10927041/pdf/","citationCount":"0","resultStr":null,"platform":"Semanticscholar","paperid":null,"PeriodicalName":"Journal of Clinical Imaging Science","FirstCategoryId":"1085","ListUrlMain":"https://doi.org/10.25259/JCIS_136_2023","RegionNum":0,"RegionCategory":null,"ArticlePicture":[],"TitleCN":null,"AbstractTextCN":null,"PMCID":null,"EPubDate":"2024/1/1 0:00:00","PubModel":"eCollection","JCR":"Q3","JCRName":"RADIOLOGY, NUCLEAR MEDICINE & MEDICAL IMAGING","Score":null,"Total":0}
引用次数: 0

Abstract

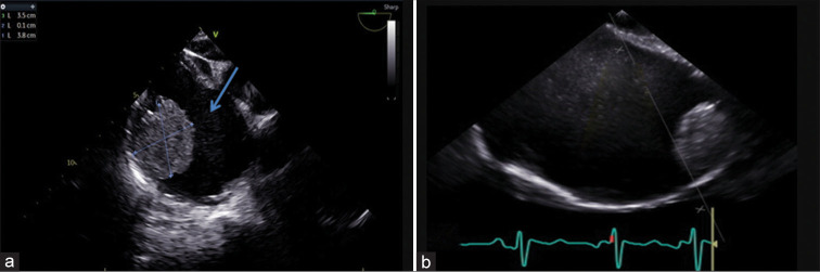
Cardiac masses are a significant cause of patient morbidity and mortality by virtue of their symptoms and surgical removal. Preoperative diagnosis of a cardiac mass is usually based on clinical correlation and transthoracic echocardiography findings. Myxomas are the most common benign cardiac tumors, commonly occurring in the left atrium attached to the interatrial septum near the fossa ovalis. Although, at times atypical location and unusual morphology may pose a diagnostic dilemma with 2D echocardiography. 3D echocardiography with its multifaceted advantages, including multiplanar cropping abilities and superior imaging quality can help distinguish between a clot and a myxoma.

Abstract Image

Abstract Image

Abstract Image

区分血栓与肌瘤:围手术期三维经食道超声心动图来救场!
心脏肿块因其症状和手术切除而成为患者发病和死亡的重要原因。心脏肿块的术前诊断通常基于临床相关性和经胸超声心动图检查结果。肌瘤是最常见的良性心脏肿瘤,通常发生在左心房,附着在卵圆窝附近的房间隔上。不过,有时不典型的位置和异常的形态可能会给二维超声心动图的诊断带来困难。三维超声心动图具有多方面的优势,包括多平面裁剪能力和卓越的成像质量,有助于区分血栓和肌瘤。
本文章由计算机程序翻译,如有差异,请以英文原文为准。
求助全文
约1分钟内获得全文 求助全文
来源期刊
Journal of Clinical Imaging Science
Journal of Clinical Imaging Science RADIOLOGY, NUCLEAR MEDICINE & MEDICAL IMAGING-
CiteScore
2.00
自引率
0.00%
发文量
65
期刊介绍: The Journal of Clinical Imaging Science (JCIS) is an open access peer-reviewed journal committed to publishing high-quality articles in the field of Imaging Science. The journal aims to present Imaging Science and relevant clinical information in an understandable and useful format. The journal is owned and published by the Scientific Scholar. Audience Our audience includes Radiologists, Researchers, Clinicians, medical professionals and students. Review process JCIS has a highly rigorous peer-review process that makes sure that manuscripts are scientifically accurate, relevant, novel and important. Authors disclose all conflicts, affiliations and financial associations such that the published content is not biased.
×
引用
GB/T 7714-2015
复制
MLA
复制
APA
复制
导出至
BibTeX EndNote RefMan NoteFirst NoteExpress
×
提示
您的信息不完整,为了账户安全,请先补充。
现在去补充
×
提示
您因"违规操作"
具体请查看互助需知
我知道了
×
提示
确定
请完成安全验证×
copy
已复制链接
快去分享给好友吧!
我知道了
右上角分享
点击右上角分享
0
联系我们:info@booksci.cn Book学术提供免费学术资源搜索服务,方便国内外学者检索中英文文献。致力于提供最便捷和优质的服务体验。 Copyright © 2023 布克学术 All rights reserved.
京ICP备2023020795号-1
ghs 京公网安备 11010802042870号
Book学术文献互助
Book学术文献互助群
群 号:604180095
Book学术官方微信