Nephrocalcinosis fortuitously discovered: the role of surreptitious self administration of diuretics.

IF 1 Q3 MEDICINE, GENERAL & INTERNAL
Nery Sablón-González, Liliana Morán-Calcedo, Maria Belen Alonso-Ortiz, Yanet Parodis-López, Angelica Laurin, Emmanuel Andrès, Noel Lorenzo-Villalba
{"title":"Nephrocalcinosis fortuitously discovered: the role of surreptitious self administration of diuretics.","authors":"Nery Sablón-González, Liliana Morán-Calcedo, Maria Belen Alonso-Ortiz, Yanet Parodis-López, Angelica Laurin, Emmanuel Andrès, Noel Lorenzo-Villalba","doi":"10.22088/cjim.15.1.22","DOIUrl":null,"url":null,"abstract":"<p><strong>Background: </strong>Furosemide is a drug widely used for several medical conditions and could be used without medical prescription. Furosemide-related nephrocalcinosis can occur regardless of age, although the risk is higher in premature infants. The defining characteristic of nephrocalcinosis is generalized calcium deposition in the kidney. The most useful imaging studies for evaluation are ultrasonography and computed tomography (more effective in detecting calcification).</p><p><strong>Case presentation: </strong>A 32-year-old woman with a history of depressive syndrome was admitted for evaluation of fortuitously discovered nephrocalcinosis and hypokalemia. The studies performed revealed the presence of a metabolic alkalosis with discrete hyperreninism/hyperaldosteronism but normal ratio, normotension and urinary study showed elevated sodium, chloride, potassium and calcium fluctuating in different determinations. Surreptitious diuretic intake was suspected and urine analysis revealed doses equivalent to 80-120 mg. The patient was advised to discontinue all diuretic treatment; she was adequately supplemented with potassium and she was followed-up in outpatient clinics. During the follow-up, clinical and analytical improvement was noted, which led to the discontinuation of supplementation.</p><p><strong>Conclusion: </strong>Surreptitious diuretic intake is a clinical condition to rule out in patients with chronic hypokalemia, metabolic alkalosis with elevated urinary sodium and chloride. The relation between surreptitious diuretic intake and nephrocalcinosis has not been fully elucidated in adults.</p>","PeriodicalId":9646,"journal":{"name":"Caspian Journal of Internal Medicine","volume":"15 1","pages":"184-187"},"PeriodicalIF":1.0000,"publicationDate":"2024-01-01","publicationTypes":"Journal Article","fieldsOfStudy":null,"isOpenAccess":false,"openAccessPdf":"https://www.ncbi.nlm.nih.gov/pmc/articles/PMC10921103/pdf/","citationCount":"0","resultStr":null,"platform":"Semanticscholar","paperid":null,"PeriodicalName":"Caspian Journal of Internal Medicine","FirstCategoryId":"1085","ListUrlMain":"https://doi.org/10.22088/cjim.15.1.22","RegionNum":0,"RegionCategory":null,"ArticlePicture":[],"TitleCN":null,"AbstractTextCN":null,"PMCID":null,"EPubDate":"","PubModel":"","JCR":"Q3","JCRName":"MEDICINE, GENERAL & INTERNAL","Score":null,"Total":0}
引用次数: 0

Abstract

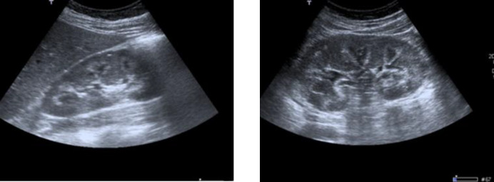
Background: Furosemide is a drug widely used for several medical conditions and could be used without medical prescription. Furosemide-related nephrocalcinosis can occur regardless of age, although the risk is higher in premature infants. The defining characteristic of nephrocalcinosis is generalized calcium deposition in the kidney. The most useful imaging studies for evaluation are ultrasonography and computed tomography (more effective in detecting calcification).

Case presentation: A 32-year-old woman with a history of depressive syndrome was admitted for evaluation of fortuitously discovered nephrocalcinosis and hypokalemia. The studies performed revealed the presence of a metabolic alkalosis with discrete hyperreninism/hyperaldosteronism but normal ratio, normotension and urinary study showed elevated sodium, chloride, potassium and calcium fluctuating in different determinations. Surreptitious diuretic intake was suspected and urine analysis revealed doses equivalent to 80-120 mg. The patient was advised to discontinue all diuretic treatment; she was adequately supplemented with potassium and she was followed-up in outpatient clinics. During the follow-up, clinical and analytical improvement was noted, which led to the discontinuation of supplementation.

Conclusion: Surreptitious diuretic intake is a clinical condition to rule out in patients with chronic hypokalemia, metabolic alkalosis with elevated urinary sodium and chloride. The relation between surreptitious diuretic intake and nephrocalcinosis has not been fully elucidated in adults.

Abstract Image

Abstract Image

Abstract Image

偶然发现的肾钙化症:偷偷自行服用利尿剂的作用。
背景:呋塞米是一种广泛用于治疗多种疾病的药物,无需医生处方即可使用。与呋塞米相关的肾钙中毒症不分年龄均可发生,但早产儿的风险更高。肾钙化症的主要特征是肾脏中普遍的钙沉积。最有用的影像学检查是超声波和计算机断层扫描(更有效地检测钙化):一名 32 岁的女性患者有抑郁综合征病史,因偶然发现肾钙化和低钾血症而入院进行评估。尿液检查显示钠、氯、钾和钙在不同测定值之间波动。怀疑患者偷偷服用了利尿剂,尿液分析显示剂量相当于 80-120 毫克。医生建议患者停止所有利尿剂治疗,为她补充足够的钾,并在门诊对她进行随访。在随访期间,临床和分析结果均有所改善,因此停止了补钾治疗:结论:对于患有慢性低钾血症、代谢性碱中毒并伴有尿钠和尿氯升高的患者,临床上应排除偷偷摄入利尿剂的可能性。在成人中,偷偷摄入利尿剂与肾钙中毒之间的关系尚未完全阐明。
本文章由计算机程序翻译,如有差异,请以英文原文为准。
求助全文
约1分钟内获得全文 求助全文
来源期刊
Caspian Journal of Internal Medicine
Caspian Journal of Internal Medicine MEDICINE, GENERAL & INTERNAL-
CiteScore
1.90
自引率
7.10%
发文量
90
审稿时长
20 weeks
×
引用
GB/T 7714-2015
复制
MLA
复制
APA
复制
导出至
BibTeX EndNote RefMan NoteFirst NoteExpress
×
提示
您的信息不完整,为了账户安全,请先补充。
现在去补充
×
提示
您因"违规操作"
具体请查看互助需知
我知道了
×
提示
确定
请完成安全验证×
copy
已复制链接
快去分享给好友吧!
我知道了
右上角分享
点击右上角分享
0
联系我们:info@booksci.cn Book学术提供免费学术资源搜索服务,方便国内外学者检索中英文文献。致力于提供最便捷和优质的服务体验。 Copyright © 2023 布克学术 All rights reserved.
京ICP备2023020795号-1
ghs 京公网安备 11010802042870号
Book学术文献互助
Book学术文献互助群
群 号:604180095
Book学术官方微信