[Catamenial pneumothorax with persistent air leak].

IF 0.6
Pablo Andrés Ordóñez Lozano
{"title":"[Catamenial pneumothorax with persistent air leak].","authors":"Pablo Andrés Ordóñez Lozano","doi":"10.23938/ASSN.1069","DOIUrl":null,"url":null,"abstract":"<p><p>Catamenial pneumothorax is a spontaneous recurrent pneumothorax that occurs in women of reproductive age and in temporal relationship with the menses. It usually occurs within 24 hours before or 72 hours after the start of the menstrual cycle; however, multiple variations have been described in terms of the temporal relationship. To date, it is considered a rare condition; this may be justified by the limited available knowledge on this disease leading to misdiagnosis. Often, making a diagnosis of catamenial pneumothorax is complicated; it mainly depends on the medical history; also, it may be a surgical or histopathological diagnosis. Management strategies for catamenial pneumothorax may include combinations of hormonal therapy, pleurodesis, lung parenchyma resection, and diaphragm resection/repair. The aim of reporting this atypical case of catamenial pneumothorax is to highlight the relevance of having the adequate knowledge on this entity so it does not go unnoticed despite its apparent low incidence.</p>","PeriodicalId":500996,"journal":{"name":"Anales del sistema sanitario de Navarra","volume":"47 1","pages":""},"PeriodicalIF":0.6000,"publicationDate":"2024-03-07","publicationTypes":"Journal Article","fieldsOfStudy":null,"isOpenAccess":false,"openAccessPdf":"https://www.ncbi.nlm.nih.gov/pmc/articles/PMC10938963/pdf/","citationCount":"0","resultStr":null,"platform":"Semanticscholar","paperid":null,"PeriodicalName":"Anales del sistema sanitario de Navarra","FirstCategoryId":"1085","ListUrlMain":"https://doi.org/10.23938/ASSN.1069","RegionNum":0,"RegionCategory":null,"ArticlePicture":[],"TitleCN":null,"AbstractTextCN":null,"PMCID":null,"EPubDate":"","PubModel":"","JCR":"","JCRName":"","Score":null,"Total":0}
引用次数: 0

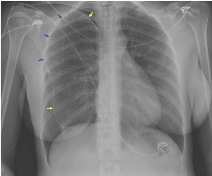
Abstract

Catamenial pneumothorax is a spontaneous recurrent pneumothorax that occurs in women of reproductive age and in temporal relationship with the menses. It usually occurs within 24 hours before or 72 hours after the start of the menstrual cycle; however, multiple variations have been described in terms of the temporal relationship. To date, it is considered a rare condition; this may be justified by the limited available knowledge on this disease leading to misdiagnosis. Often, making a diagnosis of catamenial pneumothorax is complicated; it mainly depends on the medical history; also, it may be a surgical or histopathological diagnosis. Management strategies for catamenial pneumothorax may include combinations of hormonal therapy, pleurodesis, lung parenchyma resection, and diaphragm resection/repair. The aim of reporting this atypical case of catamenial pneumothorax is to highlight the relevance of having the adequate knowledge on this entity so it does not go unnoticed despite its apparent low incidence.

Abstract Image

Abstract Image

Abstract Image

[持续漏气的卡他气胸]。
卡他性气胸是一种自发性复发性气胸,多发生在育龄妇女身上,与月经有时间上的关系。它通常发生在月经周期开始前 24 小时或开始后 72 小时内,但在时间关系上有多种不同的描述。迄今为止,这种疾病仍被认为是一种罕见病;这可能是因为人们对这种疾病的了解有限,从而导致误诊。导管气胸的诊断通常比较复杂,主要取决于病史、手术或组织病理学诊断。导管气胸的治疗策略可能包括激素治疗、胸膜腔穿刺术、肺实质切除术和膈肌切除术/修复术。报告这例非典型门静脉气胸病例的目的在于强调对这种疾病有足够了解的重要性,这样尽管其发病率很低,也不会被忽视。
本文章由计算机程序翻译,如有差异,请以英文原文为准。
求助全文
约1分钟内获得全文 求助全文
来源期刊
自引率
0.00%
发文量
0
×
引用
GB/T 7714-2015
复制
MLA
复制
APA
复制
导出至
BibTeX EndNote RefMan NoteFirst NoteExpress
×
提示
您的信息不完整,为了账户安全,请先补充。
现在去补充
×
提示
您因"违规操作"
具体请查看互助需知
我知道了
×
提示
确定
请完成安全验证×
copy
已复制链接
快去分享给好友吧!
我知道了
右上角分享
点击右上角分享
0
联系我们:info@booksci.cn Book学术提供免费学术资源搜索服务,方便国内外学者检索中英文文献。致力于提供最便捷和优质的服务体验。 Copyright © 2023 布克学术 All rights reserved.
京ICP备2023020795号-1
ghs 京公网安备 11010802042870号
Book学术文献互助
Book学术文献互助群
群 号:604180095
Book学术官方微信