Successful Robot-Assisted Surgery for Advanced Metachronous Cancer in a Gastric Conduit after Esophagectomy: A Case Report.

IF 1.3
Kentoku Fujisawa, Masaki Ueno, Kazuya Okamoto, Hayato Shimoyama, Yu Ohkura, Shusuke Haruta, Harushi Udagawa
{"title":"Successful Robot-Assisted Surgery for Advanced Metachronous Cancer in a Gastric Conduit after Esophagectomy: A Case Report.","authors":"Kentoku Fujisawa, Masaki Ueno, Kazuya Okamoto, Hayato Shimoyama, Yu Ohkura, Shusuke Haruta, Harushi Udagawa","doi":"10.5761/atcs.cr.23-00202","DOIUrl":null,"url":null,"abstract":"<p><p>The incidence of gastric tube cancers has increased due to improved survival rates in patients after esophagectomy. However, the optimal surgical approach for gastric tube cancer remains controversial. Here, we report the case of a 70-year-old man with advanced gastric cancer arising from a retrosternally placed gastric conduit, 12 years after thoracic esophagectomy for esophageal cancer. Total resection of the gastric conduit was performed with robotic assistance. Although the working space was limited, secure resection was possible. Continuous en bloc mobilization was achieved with neck dissection, and reconstruction was performed via the same retrosternal route using the ileocolon. The patient was discharged on the 14th postoperative day without any adverse events. Robot-assisted surgery can overcome the technical limitations of laparoscopic mediastinal surgery and has advantages such as improved ergonomics, comfort, and elimination of hand tremors, and therefore may be an option for future minimally invasive surgeries.</p>","PeriodicalId":93877,"journal":{"name":"Annals of thoracic and cardiovascular surgery : official journal of the Association of Thoracic and Cardiovascular Surgeons of Asia","volume":"30 1","pages":""},"PeriodicalIF":1.3000,"publicationDate":"2024-01-01","publicationTypes":"Journal Article","fieldsOfStudy":null,"isOpenAccess":false,"openAccessPdf":"https://www.ncbi.nlm.nih.gov/pmc/articles/PMC11060837/pdf/","citationCount":"0","resultStr":null,"platform":"Semanticscholar","paperid":null,"PeriodicalName":"Annals of thoracic and cardiovascular surgery : official journal of the Association of Thoracic and Cardiovascular Surgeons of Asia","FirstCategoryId":"1085","ListUrlMain":"https://doi.org/10.5761/atcs.cr.23-00202","RegionNum":0,"RegionCategory":null,"ArticlePicture":[],"TitleCN":null,"AbstractTextCN":null,"PMCID":null,"EPubDate":"","PubModel":"","JCR":"","JCRName":"","Score":null,"Total":0}
引用次数: 0

Abstract

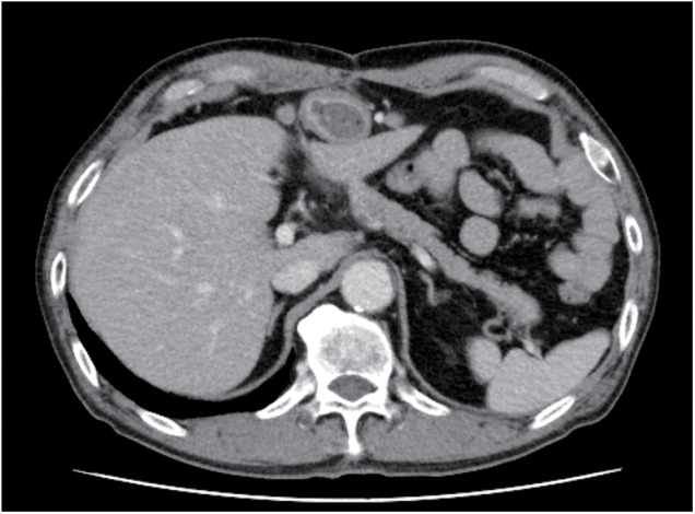
The incidence of gastric tube cancers has increased due to improved survival rates in patients after esophagectomy. However, the optimal surgical approach for gastric tube cancer remains controversial. Here, we report the case of a 70-year-old man with advanced gastric cancer arising from a retrosternally placed gastric conduit, 12 years after thoracic esophagectomy for esophageal cancer. Total resection of the gastric conduit was performed with robotic assistance. Although the working space was limited, secure resection was possible. Continuous en bloc mobilization was achieved with neck dissection, and reconstruction was performed via the same retrosternal route using the ileocolon. The patient was discharged on the 14th postoperative day without any adverse events. Robot-assisted surgery can overcome the technical limitations of laparoscopic mediastinal surgery and has advantages such as improved ergonomics, comfort, and elimination of hand tremors, and therefore may be an option for future minimally invasive surgeries.

Abstract Image

Abstract Image

Abstract Image

机器人辅助手术成功治疗食管切除术后胃导管中的晚期转移癌:病例报告。
由于食管切除术后患者的生存率提高,胃管癌的发病率也随之增加。然而,胃管癌的最佳手术方式仍存在争议。在此,我们报告了一例因食管癌行胸腔食管切除术 12 年后的 70 岁男性病例,该患者的晚期胃癌源于后胸腔置入的胃导管。在机器人辅助下进行了胃导管全切除术。虽然工作空间有限,但还是进行了安全的切除。通过颈部解剖实现了连续的整体移动,并通过相同的胸骨后路径使用回肠结肠进行了重建。患者于术后第14天出院,未发生任何不良反应。机器人辅助手术可以克服腹腔镜纵隔手术的技术限制,并具有改善人体工程学、舒适度和消除手颤等优点,因此可能是未来微创手术的一种选择。
本文章由计算机程序翻译,如有差异,请以英文原文为准。
求助全文
约1分钟内获得全文 求助全文
来源期刊
自引率
0.00%
发文量
0
×
引用
GB/T 7714-2015
复制
MLA
复制
APA
复制
导出至
BibTeX EndNote RefMan NoteFirst NoteExpress
×
提示
您的信息不完整,为了账户安全,请先补充。
现在去补充
×
提示
您因"违规操作"
具体请查看互助需知
我知道了
×
提示
确定
请完成安全验证×
copy
已复制链接
快去分享给好友吧!
我知道了
右上角分享
点击右上角分享
0
联系我们:info@booksci.cn Book学术提供免费学术资源搜索服务,方便国内外学者检索中英文文献。致力于提供最便捷和优质的服务体验。 Copyright © 2023 布克学术 All rights reserved.
京ICP备2023020795号-1
ghs 京公网安备 11010802042870号
Book学术文献互助
Book学术文献互助群
群 号:604180095
Book学术官方微信